【病例】右肺上叶不典型腺瘤样增生1例CT影像表现

发布时间:2022-10-21

[病程描述]

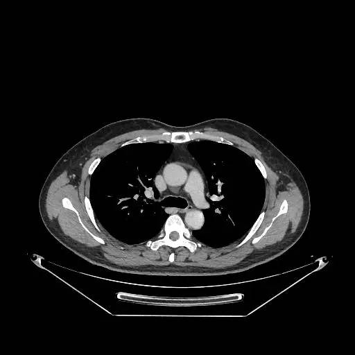
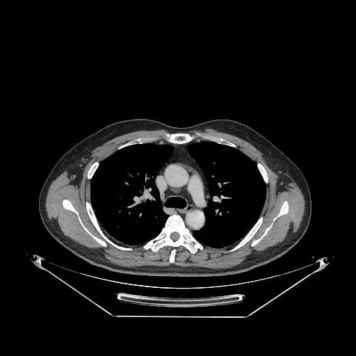
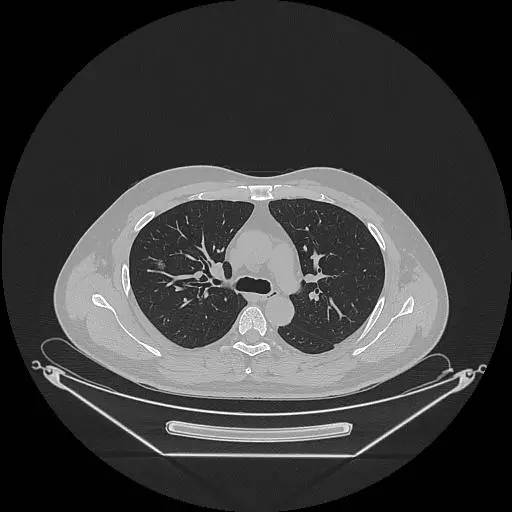
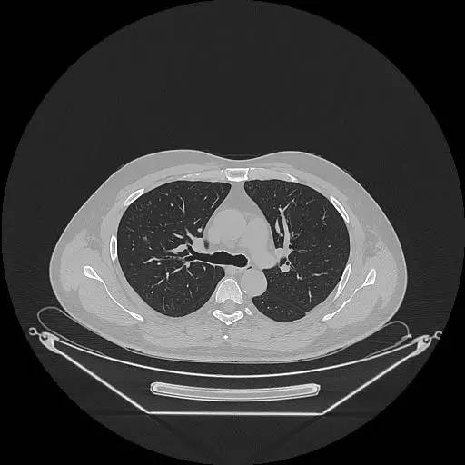
男,47岁,查体发现右肺小结节8月余。

【病例】右肺上叶不典型腺瘤样增生1例CT影像表现

【病例】右肺上叶不典型腺瘤样增生1例CT影像表现

【病例】右肺上叶不典型腺瘤样增生1例CT影像表现

【病例】右肺上叶不典型腺瘤样增生1例CT影像表现

【病例】右肺上叶不典型腺瘤样增生1例CT影像表现

【病例】右肺上叶不典型腺瘤样增生1例CT影像表现

【病例】右肺上叶不典型腺瘤样增生1例CT影像表现

【病例】右肺上叶不典型腺瘤样增生1例CT影像表现

【病例】右肺上叶不典型腺瘤样增生1例CT影像表现

【病例】右肺上叶不典型腺瘤样增生1例CT影像表现

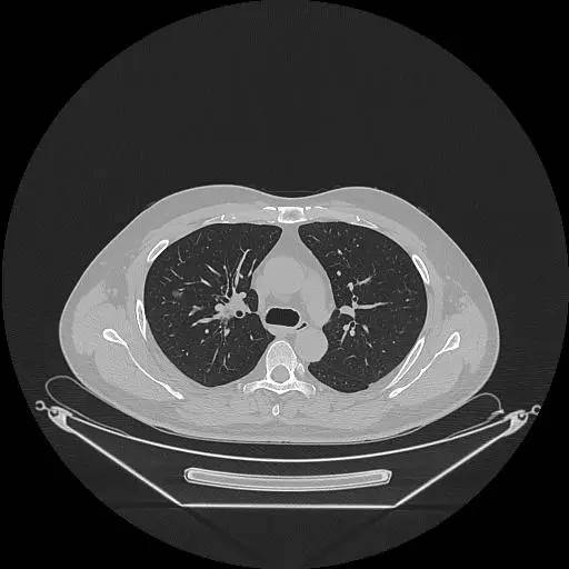
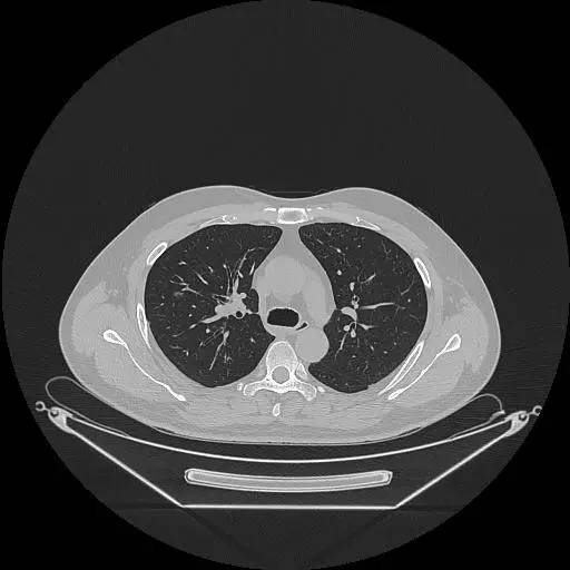
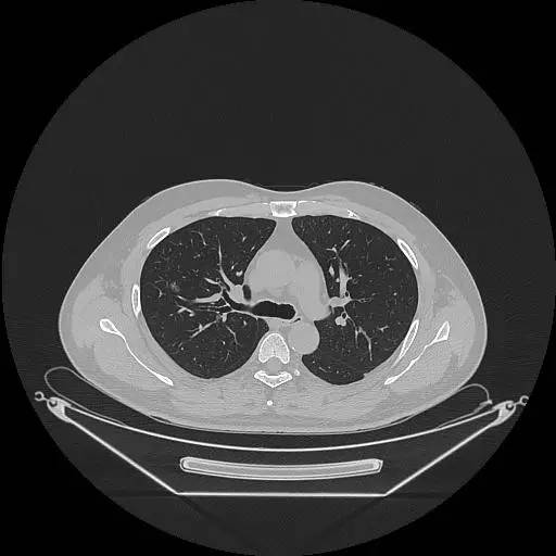
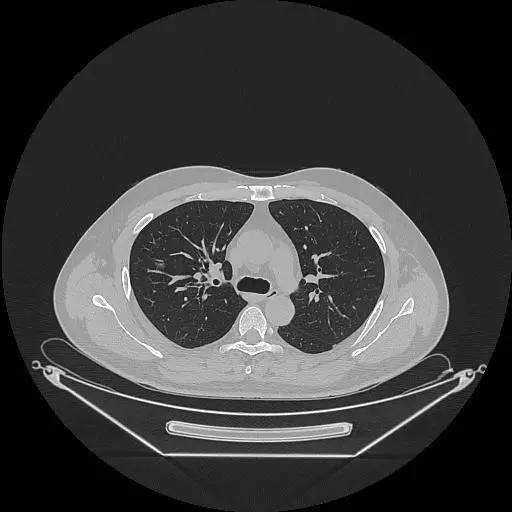
[影像描述]

右肺上叶可见直径约7mm磨玻璃样结节,其内见空泡影,有浅分叶及血管集束征象,增强扫描无强化,余肺、纵隔未见明显异常。

[检查结果]

右肺上叶不典型腺瘤样增生(AAH)

[分析讨论]

AAH的影像学特点为呈类圆形小病灶,边界清楚,淡至中等密度均匀的毛玻璃或磨砂玻璃阴影,不遮蔽其下的肺实质,多数在5 mm以下。

精彩图片

热门精选