股骨近端占位性病变4例影像讨论
发布时间:2022-10-26
发布时间:2022-10-26
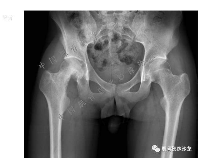
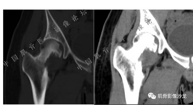
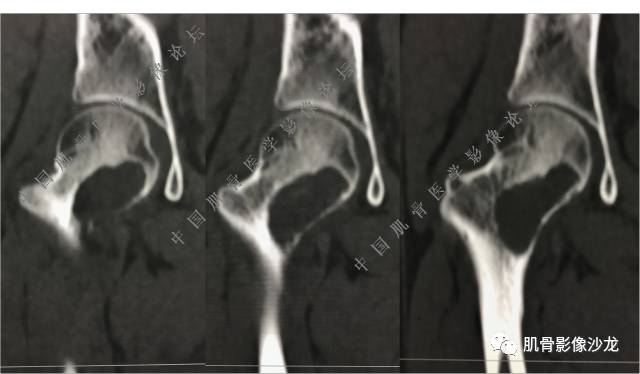
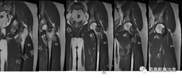
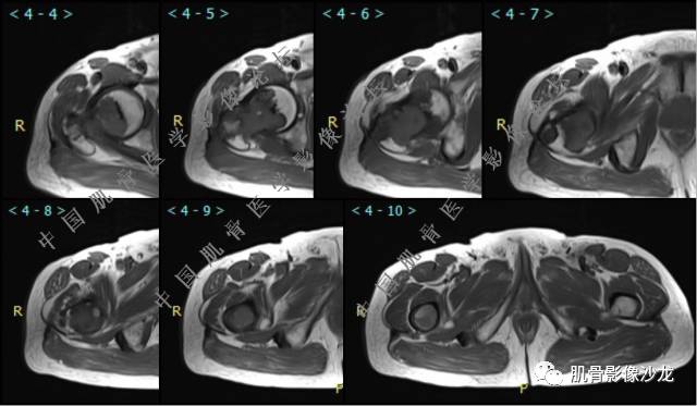
主诉:右髋及右膝部疼痛3月余
现病史:3月前打球时自觉右大腿肌肉拉伤后右髋及右膝部疼痛,自服“活血化瘀”类药物(具体不详)后自觉疼痛缓解,2月前打球时再次扭伤,右髋及右膝部疼痛明显,行走时疼痛加重,自服药物治疗,效果不佳,遂来诊。












骨肌影像-GY 20:07符合纤维类肿瘤
Echo 20:08 哪些特点符合纤维类肿瘤? 纤维类是指哪些呢?
晴朗 20:17 一般含纤维恶性肿瘤,纤维肉瘤,恶性纤维组织细胞瘤,SFT或侵袭性纤维瘤
张小林 20:08 感染类病变不支持
夏威夷的风 20:09 考虑恶性肿瘤性病变 MFH 骨肉瘤
Echo 20:09 哪些征象考虑恶性呢?
葛英霖 20:10 判断恶性程度需要看骨髓内浸润的是肿瘤还是水肿 ,从目前看,骨肉瘤是要考虑的
张小林 20:13 磁共振有双低信号,结合CT确实要考虑有纤维成份。
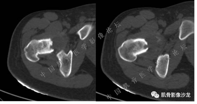
医影在线 20:13 干骺端溶骨性破坏,边缘模糊,低密度肿块,似有钙化
Echo 20:13 有骨质破坏,边界不清,有软组织肿块,我觉得恶性是要考虑的
葛英霖 20:14 中间型到恶性, 需要判断是水肿还是浸润
致远 20:23 浸袭和水肿如何看,葛老师
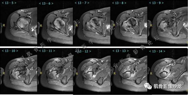
葛英霖 20:23 @张时秒 晋江市安海医院 影像科 t1上看异常信号的边界
Echo 20:15 那葛老师这个水肿和浸润在哪个图像上判断比较好呢?
夏威夷的风 20:15 T1WI
Echo 20:16 软组织肿块突破了骨皮质

葛英霖 20:19 @关舒元-河南省人民医院影像科 有可能,也不确定,增强不如t1
张小林 20:19 @关舒元-河南省人民医院影像科 我感觉有
晴朗 20:18 纤维肉瘤侵蚀多见,侵袭性强,一般不引起骨质硬化 , SFT侵袭性弱,但可以明显强化也可以弱强化,实在不好鉴别

葛英霖 20:20 局部骨质有硬化,不能完全排除干扰
晴朗 20:21 恶性纤维组织细胞瘤年长多见,但良性纤维组织细胞瘤基础上恶变也可见于小儿和年轻人, MFH一般可见骨质硬化
张小林 20:23 富含巨细胞骨肉瘤?
Echo 20:23 我个人觉得,17岁男性,病灶发生在原干骺端区域,溶骨性骨质破坏,似有肿瘤骨,有软组织肿块形成,从常见病发生率来说,骨肉瘤还是要考虑的
葛英霖 20:24 这个部位有一个需要鉴别的就是软骨母
致远 20:24 浸袭和水肿两个都有异常信号
Echo 20:25 葛老师~软骨母是考虑小转子区域骨骺发生么?
葛英霖 20:26 可以发生在干骺端
致远 20:28 葛老师刚才讲的,软骨母 ,只差一点钙化

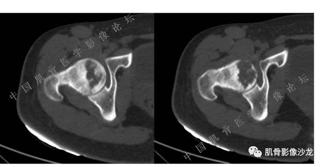
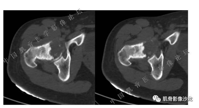
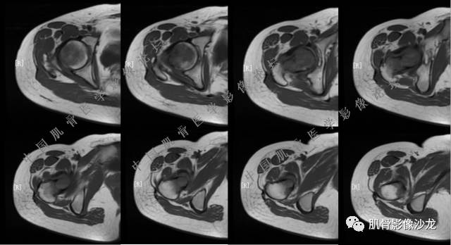
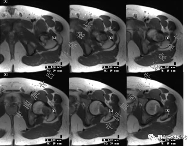
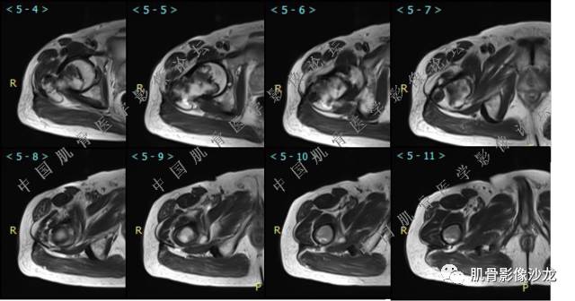
主诉:右大腿疼痛、活动受限20天
现病史:患者于20天前无明显诱因出现右下肢疼痛,活动受限,疼痛呈阵发性,活动后加重。自行口服止痛药芬必得,效果不佳,至当地医院治疗,检查发现右侧股骨近端病变。遂来诊







葛英霖 20:30 原发或继发动脉瘤样骨囊肿,继发于巨细胞瘤,软骨母,纤维组织细胞瘤,骨母等等
向以四 20:30 软骨母合并ABC,
Echo 20:30 我感觉本例硬化边不明显
医影在线 20:30 软骨母,/继发ABC
飞鹰行动 20:31 T2信号高,有软骨成分
Echo 20:32 T2确实有一块区域很亮 ,并有野液平
飞鹰行动 20:33 有侵袭性
Echo 20:34 王飞老师觉得有侵袭性是哪些征象?
飞鹰行动 20:35 骨皮质破坏,周围骨质异常信号
夏威夷的风 20:33 这个就是引起周围水肿 干骺端病变的鉴别
葛英霖 20:36 这不是良性病变
Echo 20:36 周围骨质异常信号怎么区别水肿和浸润呢?
葛英霖 20:36 中间型可能性极大
Echo 20:37 葛老师考虑中间型是因为?
骨肌影像-GY 20:37 @肌骨群义工 葛英霖 葛老师是指周围软组织改变?
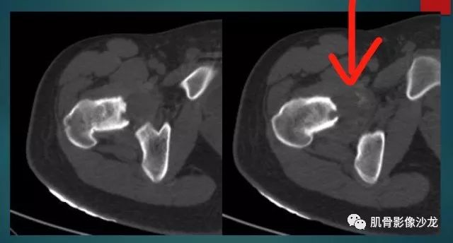
葛英霖 20:37 明显侵蚀骨内膜啊,硬化边也不完整 (细箭头所示)
Echo 20:39 葛老师是指这些地方么?


Echo 20:43 病理没有提到是否合并ABC

葛英霖 20:43 提不提也很明显继发了abc
Echo 20:43 没有写几级哎
葛英霖 20:44 现在不分级
Echo 20:44 葛老师~继发ABC是根据有液液平面判断么?
葛英霖 20:44 是
Echo 20:45 我隐约记得有些书上说骨巨外伤后出血也会出现液液平面的 , 这该怎么区分呢?
葛英霖 20:45 abc就是出血来的
Echo 20:45 只要继发出血,就要考虑ABC?
葛英霖 20:46 明显的多囊状改变,液液平面
Echo 20:46 恩恩,本例是多囊改变。那如果只有一个液液平面,也考虑继发ABC么?
葛英霖 20:47 可以,没有液液平面也不妨碍考虑
何春祥 20:47 骨巨细胞瘤出现液液平面都要考虑合并abc吗?
葛英霖 20:48 这个倒不一定,影像可以提示,但是病理未必支持,你信哪个?
Echo 20:48 现在的骨肿瘤都要三结合了
Echo 20:48 MDT,只信病理不靠谱
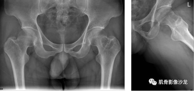
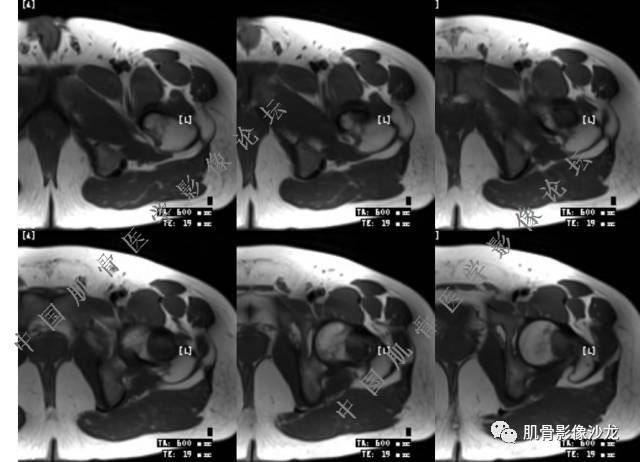
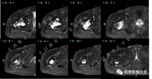
主诉:左髋疼痛1月余
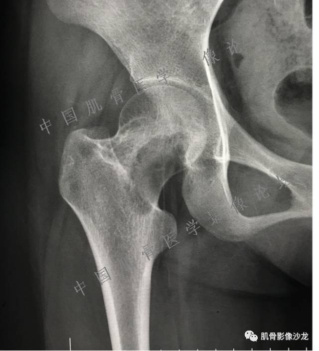
现病史:患者1月余前无明显诱因出现左髋部疼痛,无明显活动受限,当地医院行X线检查,提示左股骨颈异常密度。遂来我院就诊。
既往史:曾患乙型肝炎,未正规治疗,目前无症状。









葛英霖 20:54 @肌骨沙龙义工胡俊华 你确定里面有脂肪?
葛英霖 20:5 4 常规纤维类的多一些,冠状位没有看到明显脂肪。纤维结构不良、纤维组织细胞瘤、软粘纤之类。
夏威夷的风 20:55 大方向纤维类病变
Echo 20:55 考虑纤维类的依据是?
夏威夷的风 20:58 强化渐进性强化吧 边界清晰 里面也见线状低信号
飞鹰行动 21:01 良性纤维组织细胞瘤内部可以有少量脂肪
X(CT、MR)战警 21:01 泡沫细胞被吞噬后形成脂肪信号, bfh可以有脂肪条带样改变
Echo 21:04 总之这例就是各位老师说的硬化边明显,没有软组织肿块,没有侵犯,考虑良性病变,增强渐进性强化,所以考虑BFH

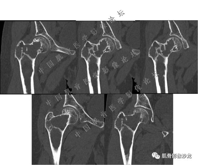
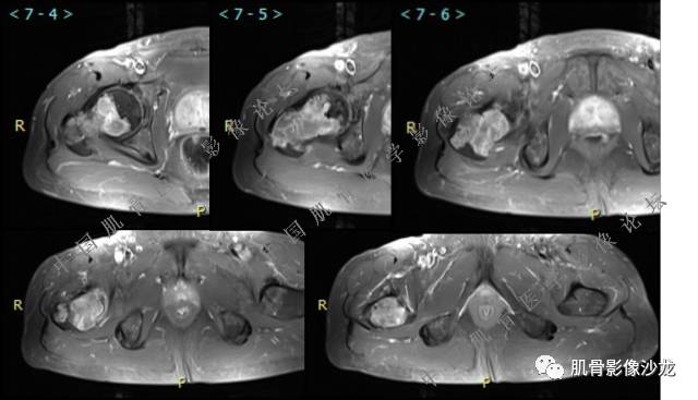
主诉:右侧股骨近端持续疼痛1月余
现病史:1个月前因天气转冷突然右侧股骨疼痛,无乏力麻木,遂就诊于当地医院X线检查发现右股骨异常密度,为进一步诊治来我院。
既往史:高血压史。余无特殊。



















上一篇:平滑肌肉瘤、软骨肉瘤5例影像讨论
下一篇:椎管内髓外硬膜下畸胎瘤1例