平滑肌肉瘤、软骨肉瘤5例影像讨论
发布时间:2022-10-26
发布时间:2022-10-26















雪舞 : 第一例资料有限 , 就这么多了
晴朗 不好说,首先考虑含纤维成分
张太娟 估计ct也看不到什么
西门吹雪 :股骨下段,偏侧破坏,长T1混杂T2,移行带较窄,但局部边缘欠规则。周围骨髓水肿不明显,软组织结构清晰,T2病变上部片状低信号 , 膨胀不明显。
医影在线 : 股骨下端前侧,边界清,皮质完整,内有纤维、粘液,T2高,软粘纤考虑
晴朗 年纪大,考虑MFH,鉴别软粘纤,非骨化性纤维瘤
张太娟 里面有黏液
阳光明媚 :股骨远端前部可见片状长T1、长T2不均信号影,压脂序列呈不均高信号影,平片无明显钙化,边界清。内有纤维、粘液,
晴朗: 没有CT,软骨基质不确定, 纠结MFH和软粘纤
张小林: 应该是纤维类病变
葛英霖 :不像好东西 ,平片破坏不明显
向以四 : 还是有分叶 软骨源性 内生软骨瘤还是最多见的 张太娟: 位置和年龄及形态不符合软粘纤
阳光明媚 :透明软骨T2WI压脂呈高信号吧
张小林 :NOF不靠谱 , 可能是偏恶性病变
雪舞 : 股骨下端,皮质下偏心性溶骨性破坏,分叶状,T2混杂高信号。无明显软组织肿块。X片未见异常。
西门吹雪:纤维组织细胞瘤,骨巨,软骨肉瘤…
张太娟 :就怕是黏液某肉瘤
夏威夷的风 :骨肉瘤也要考虑
葛英霖 :是的
列兵 : 恶纤组可能大
飞鹰行动: 恶性纤维组织细胞瘤可能性大
葛英霖 : 定性准确,其他问题不大
阳光明媚:骨皮质还是比较完整的
张小林 : @肌骨群义工 葛英霖 给个疾病谱。
葛英霖:常规就是恶纤组、骨肉瘤,软骨肉瘤,总之级别不低
雪舞 第一例位置典型,但是限于资料原因,未能明确是否有钙化,周围也未见软组织肿块,骨膜反应
雪舞 :不过T2高信号,分叶状还是要想到软骨肉瘤,毕竟典型位置,骨肿瘤排名第3的软骨肉瘤
雪舞 : 软骨肉瘤是Keiller和Phemister最早从骨肉瘤中区分出来的恶性骨肿瘤。特点是由肿瘤细胞形成软骨。

患者于2月前无明显诱因下出现腰骶部疼痛,夜间为重,逐渐加重伴左下肢麻木、疼痛,并有行走活动受限,在我院就诊,摄腰椎及骶髂部CT提示:腰椎骨质退变,腰3-4、4-5椎间盘膨出,骶髂关节炎。自用非甾体抗炎药无好转,再次来院就诊,门诊拟“骶髂关节炎”收住我科。病程无间歇性跛行,大小便正常。
专科检查:神清,脊柱无侧弯后凸畸形,椎体各节段无压、叩痛,双侧棘突旁无压痛,双侧骶髂关节压痛明显,左下肢放射痛,浅感觉较健侧减退,腰椎前屈后伸活动受限,膝、跟腱反射正常。
辅助检查:腰椎及骶髂部CT提示:腰椎骨质退变,腰3-4、4-5椎间盘膨出,骶髂关节炎。







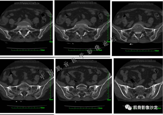
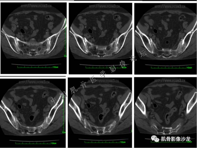
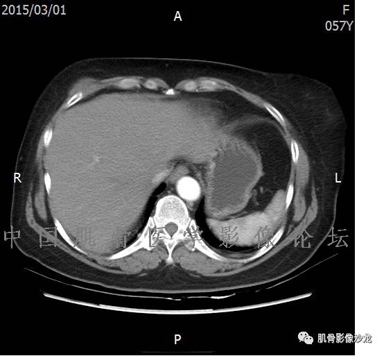
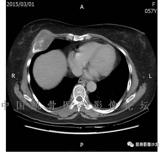
雪舞 :第二例,位于骶骨,有骨质破坏并有软组织肿块,软组织肿块边界清
向以四 : 病例2 感染性骶髂关节炎 TB可能大,左侧梨状肌受累、肿胀增粗,并见低密度脓肿?
西门吹雪:考虑恶性肿瘤 的确有些难
晴朗 :倾向肉瘤
医影在线 : 转移瘤要除外
致远 : 或者软骨肉瘤
张小林:炎性病变和肿瘤的鉴别
飞鹰行动 :有一定的骨质硬化,骨肉瘤及软骨肉瘤可能性大 晴朗: 有骨膜反应,有软组织肿块
雪舞: 第二例我们能够看到破坏与软组织肿块不成比例,软组织肿块大,破坏小
医影在线: 病变无明显钙化
雪舞 :第二例挺难的,骨质破坏是溶骨性的,局部皮质中断,软组织肿块外缘光滑
医影在线 :无软骨钙化
飞鹰行动 :有的软骨肉瘤可以没有钙化
晴朗 :软骨基质不一定都是钙化的
























雪舞 : 软骨肉瘤的发病率居原发性恶性骨肿瘤的第三位,其特点是肿瘤内具有软骨基质

















雪舞:弓形钙化,钙化比例少于面积的1/3,钙化边缘模糊
雪舞 : 都是软骨肉瘤鉴别于内生软骨瘤有意义的区别点
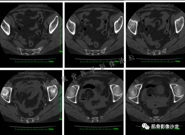
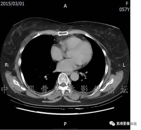
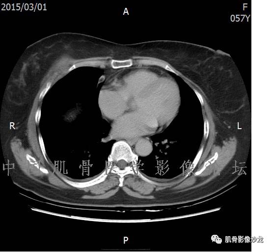
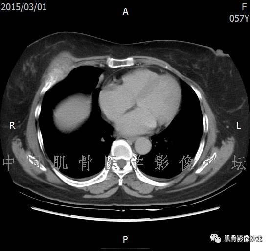
患者2月前无明显诱因下感右腿疼痛、麻木,疼痛呈持续性,发作时无法行走,休息后可缓解。当时无明显肿块,患者遂至当地医院就诊,查X片见右髂骨骨质破坏。6周前患者自觉右髋部渐大肿块,初肿块较小,后肿块逐渐增大,现肿块约12*10cm大小,有压痛。患者遂至我院就诊,查MRI:右髂骨异常信号,伴软组织肿块。ECT、肺CT未见转移。现患者为求进一步治疗,门诊拟“右髂骨肿块 ”收治入院。 患者发病来,神清,精神可,胃纳夜眠可,二便无殊,体重无明显变化。





























信号 飞鹰行动:的确应该考虑软骨类肿瘤
飞鹰行动 : 软骨肉瘤内也有纤维组织的
雪舞 : 软骨小叶不是很理解,请王老师们给讲解下
飞鹰行动 : 第一列可以看见T2小结节样高信号,周围有纤维组织环绕
高回青 : 另外还可以见到扇贝状分叶

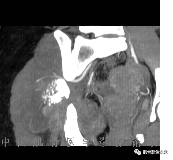
1、软骨肉瘤可以有膨胀性骨质破坏(病例3,4),可以有溶骨性骨质破坏(病例2),局部皮质因为破坏变薄,中断 ;
2、软骨基质T2WI高信号,软骨小叶分叶状,也就会出现高老师提到的骨内膜扇贝形压迹。一般认为骨内膜扇贝形压迹超过骨皮质厚度的2/3是软骨肉瘤在长管状骨的特征性表现。如上图。3、软组织肿块或肿胀;
4、 钙化,环形,弓形,边缘模糊 ;
5、增强后进行性延迟,不均匀分割状强化, 会强化的纤维间隔,软骨小叶不会强化,关于老师们说到的钙化,软骨肉瘤不一定会有钙化 。
老师们提出的问题:
1、骨恶性肿瘤的发病率排名。
2、软骨肉瘤的发病部位排名。
3、软骨小叶的详细解释。
4、软骨
小叶是否强化
悦水仙 :教科书上讲,软骨肉瘤10s内强化,而骨软骨瘤是延迟强化,二者不同, 增强后进行性延迟,不均匀分割状强化,怎么理解?
葛英霖:我理解就是分化越好的软骨,延迟时间越长才能看到强化,个人感觉
雪舞 :1、骨恶性肿瘤的发病率排名:多发骨髓瘤、骨肉瘤和软骨肉瘤
2、软骨肉瘤的发病部位排名:最好发部位为髂骨,其次股骨、肱骨和脊柱。
3、软骨小叶的详细解释:

郝大鹏: 软骨小叶常规时间不强化,延迟几个小时会强化。常规时间内强化的是小叶间隔

下一篇:股骨近端占位性病变4例影像讨论