右盆骨软骨母细胞瘤1例CT影像表现
发布时间:2022-10-26
发布时间:2022-10-26
【临床资料】
女性,13岁。下楼梯扭伤右髋伴疼痛半小时就诊。
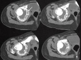
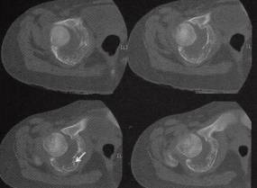
图1右盆骨软骨母细胞瘤

A

B

C

D
【影像学检查】
A.CT平扫见髋臼骨质弥漫性小片状低密度病灶,残存骨小梁,多处骨嵴,外缘关节面侧骨皮质连续性断裂、缺失,内缘骨皮质连续性断裂并伴少许骨膜反应,病灶向关节腔内侵犯较明显,关节腔明显积液;
B〜D.CT骨窗见髋曰弥漫性溶骨性骨质破坏、骨皮质缺失及骨嵴,轻度骨膨胀,病灶边缘未见明显硬化
【最后诊断】
右盆骨软骨母细胞瘤(术后病理)。
【诊断要点】
软骨母细胞瘤(chondroblastoma,CB)亦称成软骨细胞瘤、Codman瘤,为一种起源于软骨细胞或软骨性结缔组织的肿瘤,较为少见。大多数认为属良性肿瘤,少数认为可为良性或恶性。占原发性骨肿瘤的1.9%,占良性骨肿瘤的3.5 %。多发生于青少年,5〜25岁占90%,发病高峰为10〜25岁。男女比例约2:1。凡有骺软骨的部位都可发生本病,一般位于长管状骨骨骺,常见的发病部位是股骨远端与近端、肱骨近端、胫骨近端等。
1.临床表现:因患处疼痛、肿胀及邻近关节活动受限而就诊,疼痛为最常见的症状,常因创伤或受压而发现肿瘤,部位表浅者可扪及肿块与压痛。病程往往较长,可持续1年至数年。
2.X线平片:
1)典型表现为在骨骺或邻近的干骺端呈圆形或椭圆形的溶骨性病灶,倾向于越过软骨向干骺端蔓延。
2)病灶周围常有薄硬化缘,或有片絮状、沙粒状钙化伴轻度骨皮质膨胀变薄,病灶常被索条状骨嵴分隔,呈多囊样改变,病灶大小多为3〜6 cm,发生在骨盆和股骨下端者常较大。病灶侵犯干骺端时,可伴骨膜反应。
3)病灶向关节腔内侵犯为其特点,骨皮质膨胀变薄、缺损,并可向关节腔凸起,可伴关节腔积液。
3.CT表现:
1)病灶多表现为圆形或类圆形低密度,亦可为高密度,多有1〜2 mm的硬化边,呈侵袭性生长少。
2)病灶多呈骨皮质轻至中度膨胀,且病灶内可有细小斑点状或絮状钙化。
3)病变可穿过骨皮质向关节腔内或向外生长形成软组织肿块,可伴有关节囊肿胀、积液。
4)可有骨膜反应,多为平行或层状。
4.MRI表现:
1)病灶在上呈不均匀中等或低信号,T2WI上信号则比较复杂,常呈高、低混杂信号,骨皮质低信号带状结构消失、断续。
2) 病灶周边有T1WI和T2WI均为低信号硬化环,病灶周围骨髓经常可见水肿带,抑脂T2WI上呈明显高信号。
3)可多方位显示向骨外生长的软组织肿块及其关节软骨侵犯。
4)增强扫描病灶可见部分实质强化和分房的间隔及相应增厚的关节滑膜强化。
【分析思路】
诊断依据:
1.患者为女性,13岁,本病发病髙峰年龄为10〜25岁。
2.病灶位于骨盆髋臼区。
3.病灶呈弥漫浸润性溶骨性改变。
4.病灶骨皮质变薄、轻度膨胀、断续。
5.其内见多处骨嵴,并见少许骨膜反应。
6.病灶向关节腔内侵犯、凸起伴关节腔明显积液。
鉴别诊断:
1.关节结核:①虽呈溶骨性骨破坏,但病灶内常可见死骨,而本例病灶内仅见残留骨嵴。②骨破坏以非承重区明显,而本例则以承重区骨破坏为主。③一般无骨膨胀改变,而本例出现轻度骨膨胀。④常出现骨破坏区周边寒性脓肿,而本例无此征象。
2.骨转移瘤:①发病年龄较大,而本例年龄小。②出现溶骨性骨破坏范围相对较局限,而本例为弥漫性浸润性虫蚀样溶骨性骨破坏。③常有较明显原发肿瘤病史,而本例无特殊相关病史,仅以外伤为诱因就诊。
3.骨髓瘤:①发病年龄较大,而本例年龄小。②常表现为多发性多骨性病灶,而本例为单发性。③常在广泛性骨质疏松的基础上出现局部性骨破坏,一般无邻近关节腔内侵犯倾向,而本例无骨质疏松,却出现向关节腔内侵犯倾向。④常出现明显临床疼痛症状,而本例病灶发现之前尚无明显临床症状。
下一篇:软骨肉瘤1例X线及MR