右股骨内生软骨瘤1例X线CT影像表现
发布时间:2022-10-26
发布时间:2022-10-26
【临床资料】
男性,26岁。2个月前无明显诱因下出现右侧大腿上段疼痛,尚可忍受。近日来渐重。
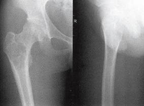
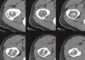
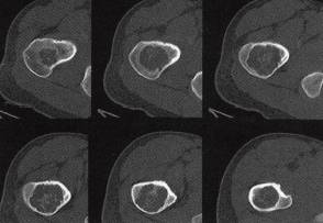
图1右股骨内生软骨瘤

A

B

C

D
【影像学检查】
A.X线股骨正侧位片示右股骨上段有一卵圆形低密度透亮区,呈中心性,边缘清晰,病灶周围见一薄层高密度硬化环;其内见斑点状高密度钙化,邻近骨皮质完整,未见骨皮质破坏和膨胀性改变;
B.CT平扫软组织窗见右股骨干骺端中心性类圆形低密度肿块,边界清晰,其中央见斑点状、斑片状高密度钙化,骨旁肌间隙清晰,未见异常软组织肿块影;
C.D.CT轴位骨窗和冠状位MPR见右股骨干骺端有一卵圆形低密度肿块影,呈中心性,肿块周围见高密度硬化边,内部见斑点状、斑片状钙化,骨皮质完整无破坏
【最后诊断】
右股骨内生软骨瘤(术后病理)。
【诊断要点】
内生软骨瘤(enchondroma)发病原因目前不明。单发性内生软骨瘤为常见的良性骨肿瘤。发病年龄高峰在10〜40岁,男性多于女性。好发部位为四肢短管状骨,尤以手部短管状骨多见,四肢长骨较少见。偶见于肋骨、胸骨、骨盆及脊椎骨。本病病程缓慢,多无自觉症状,当肿瘤增大引起神经压迫症状或发生病理性骨折才引起注意。多发性内生软骨瘤是由于骨骺发育过程中,软骨内化骨紊乱、迟缓或部分迷离骨骺板衍变而致骺软骨不能进行正常的骨化。许多软骨块聚集于干骺端,逐渐长大形成。随着肿瘤的生长,患骨的皮质变薄和膨胀。孤立性内生软骨瘤可以转变为软骨肉瘤,但这种恶性变多见于长管状骨内的软骨瘤,而短管状骨内者很少有恶性变。肿瘤一般为中心性生长,邻近的骨皮质呈梭形膨胀、变薄,肿瘤的周围有一薄层骨质增生硬化现象。肿瘤内可有多数间隔及散在的沙粒样钙化点。
1.临床表现:
1)病程较长,早期患者无症状。常在外伤后有局部疼痛和肿胀。
2)触诊时,肿胀之骨有坚实感;若有骨折,则局部剧烈压痛,并有热感。
3)长管状骨内的内生软骨瘤可以存在很长时间而无症状;若长管状骨的内生软骨瘤一开始就发生疼痛,而无明显的损伤,则应当考虑是否有恶性变的可能。
2.X线平片和CT表现:
1)在骨干可见束状骨质破坏区,很少波及骨骺。
2)病变处于骨干中央时,骨皮质膨胀不明显;若处于一侧,则可使皮质变薄而明显膨胀。
3)其间可出现间隔或点状密度增高灶。这种钙化和骨化病灶是内生软骨瘤的典型表现。
4)常并发病理性骨折。
3.MRI表现:
1)在T1WI上为低信号,在T2WI上为明显的高信号,与透明软骨的信号相似。
2)病灶可穿破骨皮质,侵犯周围软组织。
3)Gd-DTPA增强扫描病灶强化。
【分析思路】
诊断依据:
1.患者为男性,26岁。本病男性多于女性,发病高峰年龄在10〜40岁。
2.X线平片显示病变呈卵圆形中心性低密度透亮区,边缘清晰,周围薄层硬化环,其内见斑点状钙化,邻近骨皮质完整。
3.CT平扫示中心性类圆形低密度肿块,肿块周围见高密度硬化环,边界清晰,骨破坏区中央见斑点状、斑片状高密度钙化,骨旁肌间隙清晰,未见异常软组织肿块影。
鉴别诊断:
1.骨巨细胞瘤:长骨端的内生软骨瘤有时会被误认为骨的巨细胞瘤,尤其是没有钙化或骨化的病例。内生软骨瘤一般很少有极度膨胀,同时病损比较局限。在诊断困难时,须依靠组织检查才能做出鉴别。
2.骨梗死:高度钙化的内生软骨瘤有时会被误认为骨梗死,后者是由于坏死骨髓的钙化以及骨组织在分解坏死后的钙化,故钙化阴影的界限不是很清楚,而有许多弯曲的钙化条纹自中央区域伸出。MRI T1WI含有高信号的脂肪,在T2WI上缺少高信号的软骨。
3.骨结核:溶骨性破坏区内有形态不规则的小死骨,无明显膨胀改变,周围常有骨质疏松表现,周边软组织肿胀,邻近关节多有受累。