【病例】系统性硬化1例
发布时间:2022-10-24
发布时间:2022-10-24
一个74岁的老年男子因全身严重钙化入院就诊。既往有长达16年的系统性硬化病史。



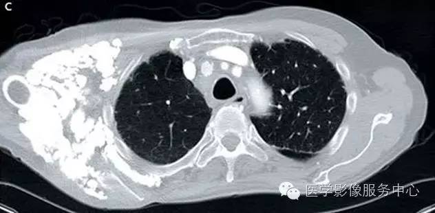
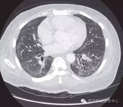
采取的治疗包括高剂量泼尼松、 静脉注射免疫球蛋白和青霉胺。尽管如此患者钙化依然在进展,逐渐导致手指、 手、 脚趾、 右胸和右大腿的功能障碍。外科松解手术虽可暂时缓解疼痛,但是不能控制钙化的进展。查体可见累及手掌以及所有手指未愈合溃疡的广泛软组织钙化,并伴有屈曲畸形。同样的广泛钙化也在X线片和胸部CT检查中被发现。
这种钙化来自于钙羟基磷灰石晶体和其他钙盐的沉积。
病人将继续接受物理治疗、镇痛、系统性硬化症的药物。
补充说明:
系统性硬化是一种以独特的病理三联征为主要表现的自身免疫性疾病,即微血管损害、固有免疫和适应性免疫功能失调以及多种器官纤维化。尽管皮肤纤维化是其最特征性的表现,但肺部、胃肠道、肾脏以及心脏的病理改变是临床预后的决定性因素。系统性硬化患者具有很明显的异质性,包括临床表现、自身抗体、疾病进展、治疗反应以及生存率等

系统性硬化相关性间质性肺疾病的早期表现