跟腱黄色瘤 Achilles tendon xanthoma
发布时间:2022-10-24
发布时间:2022-10-24

跟腱黄色瘤(Achilles tendon xanthoma)是一种脂质代谢障碍累及双侧跟腱的病灶,发病原因主要是与原发性(家族性)或继发性高脂血症有关,血浆中过度增高的胆固醇、三酰甘油和磷脂等易在体表皮肤真皮及肌腱内集聚沉积后巨噬细胞吞噬所致。
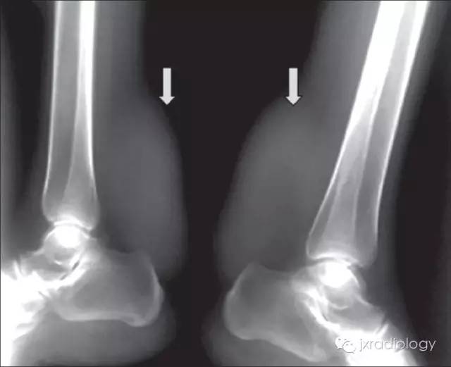
临床表现: 肌腱黄色瘤好发于跟腱、肘关节及指间关节等关节的伸肌腱部位,以跟腱最为常见。大多数情况下,其与高脂血症有关,偶可在血脂正常情况下发生。跟腱病变常为双侧性和对称性,多累及跟骨的附着处,很少引起跟腱的撕裂。
原发性黄色瘤具有家族性,又称类脂质沉积病,是一种少见的常染色体隐性遗传病。此病常常由于胆固醇代谢障碍造成脂肪在肌腱沉积的同时,亦沉积于神经组织及其他组织形成黄色瘤病,常见于儿童或青少年。肌腱黄色瘤形成的同时可能出现进行性智力减退、痴呆、共济失调、痉挛性截瘫或四肢瘫痪及白内障,脑部 MRI 检查可发现脑内多发性硬化,小脑萎缩。
继发性高脂血症发生于一些伴有血脂蛋白异常性疾病,如胆汁性肝硬化、肾病、糖尿病和胰腺炎等。近来国外研究表明跟腱的中部前后径与血浆胆固醇脂水平和年龄呈正相关。
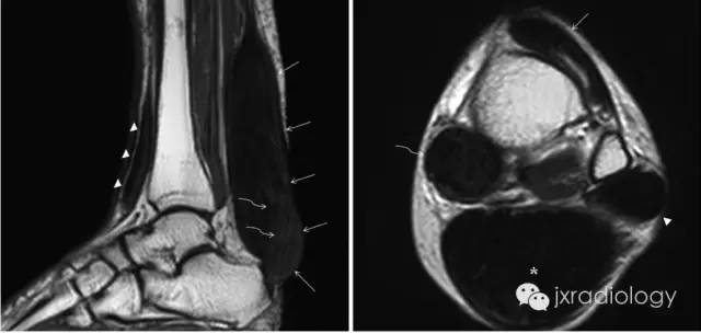
影像学表现:MRI典型病变的信号为跟腱明显梭形增粗 T1WI 像上呈顺跟腱长轴的类似肌肉的信号,表现为毛刷样改变,在 T2WI 像上也呈较低信号影,其内有斑点状短 T1 长 T2 较高信号影,T2WI 压脂像高信号区为低信号。CT:双侧跟腱部对称或单侧类梭形软组织肿块,向外膨隆,类似于肌肉密度,CT 值约 60~80Hu,与正常肌腱无法区分。




下一篇:【病例】系统性硬化1例