【病例】骶骨神经纤维瘤一例CT影像表现
发布时间:2022-10-24
发布时间:2022-10-24







徐传辉 20:56
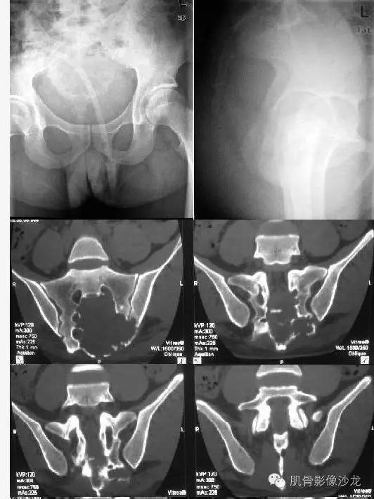
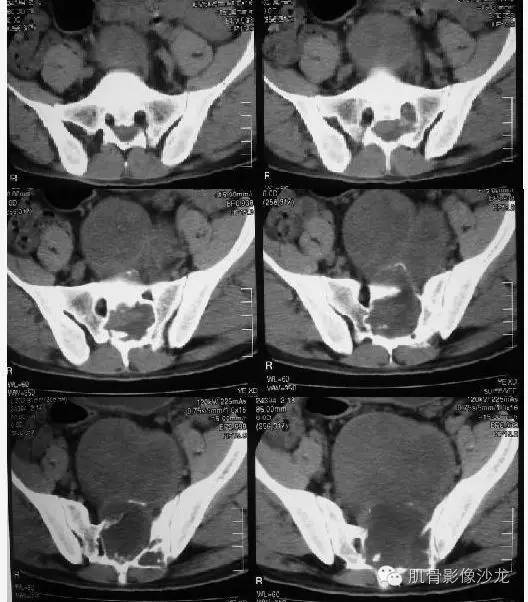
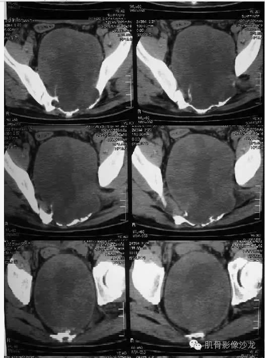
首先定位,骶尾部骨质破坏,局部巨大软组织肿块,来源于骨?还是软组织病变?
石头 20:56
膨胀明显
海燕 20:57
骨巨?
徐传辉 20:57
定位?
夏威夷的风 20:57
这个定位骨来源 软组织来源?
🐠sunnie🐠 20:57
神经源性?
徐传辉 20:57
考虑什么?
小亮 20:58
骶骨膨胀性破坏,感觉骶恐扩大
小亮 20:58
考虑神经源性
胡定海 20:58
之前一例腰椎的gct和这个挺像
葛英霖 20:58
从轴位像上看,病变起源于骶管内可能性大
风雨 20:58
软组织来源神经鞘瘤
石头 20:58
倾向软组织来源,
葛英霖 20:58
明显膨胀,偏心,累及骶管骶孔
葛英霖 20:58
密度不均,有大范围低密度区
小亮 20:59
从骶管向外膨胀
桂国华 20:59
支持神经鞘
独角鲸 20:59
支持神经源性肿瘤
孙培祥 漯河三院 20:59
骶管出来的,N源可能
源 20:59
神经鞘瘤
海燕 20:59
神经鞘瘤?
邓启付 20:59
淋巴瘤
师子 21:00
支持神经源性
张小林 21:00
骶管出来的,N源可能
徐传辉 21:00
各位老师说您的诊断的时候,顺便说一下您的依据?
海燕 21:00
内部有AB区
桂国华 21:00
如果来源骨当属恶性,为何没有一点成骨或钙化什么,倒像破坏残留骨
夏威夷的风 21:01
老师们都很厉害
刘阳 21:01
神经鞘瘤
邓启付 21:01
软组织肿块巨大
石头 21:01
软组织范围大于骨质破坏,向盆腔方向生长远远大于向背侧,所以考虑软织来源
夏威夷的风 21:01
骶孔扩大,哑铃样生长,密度不均匀,强化不均匀强化
夏威夷的风 21:02
骶骨成受压改变
徐传辉 21:02
骶骨处病变似有膨胀的感觉,我倾向于来源于骨,
桂国华 21:02
破坏连续有骨质硬化边,提示破坏修复同时进行,倾向良性生物学行为
老猫 21:02
来源于骶骨,脊索瘤可能性大
小亮 21:02
软组织肿块边界这么清楚,内部虽然密度不均
long 21:02
@肌骨群义工曲军 同意
邓启付 21:03
有增强吗@肌骨沙龙义工胡俊华
桂国华 21:03
脊索看不到多黏液囊,不支持
专业点赞 21:03
虽然没有 钙化 ,常规 还是考虑为 脊索瘤啊
小亮 21:03
患者比较年轻。脊索和淋巴瘤暂不考虑
石头 21:03
不考虑脊索
小亮 21:03
没看到钙化。膨胀性破坏
桂国华 21:04
猜多个PNET
夏威夷的风 21:04
我把总结的说上去了
夏威夷的风 21:04
@邓启付安徽六安二院CT
张太娟 21:04
我倾向于神经源,脊索瘤侵袭性要厉害的多
邓启付 21:04
侵袭性骨巨细胞瘤考虑吗
张小林 21:04
神经鞘瘤
张小林 21:04
@肌骨群义工张太娟 支持
桂国华 21:04
骨巨相对硬化边少见
夏威夷的风 21:04
病史:32岁,男性,大小便困难2年,加重伴左侧腰骶部疼痛2个月。
病理:骶骨神经纤维瘤,细胞生长活跃伴局部细胞异型性。
夏威夷的风 21:05
这个不是神经鞘瘤 是神经纤维瘤
邓启付 21:05
恶性
刘阳 21:05
倒是神经纤维瘤
桂国华 21:06
应该想到呀,神经鞘坏死应该更多些
刘阳 21:07
脊索瘤,淋巴瘤不支持
葛英霖 21:07
@肌骨沙龙义工胡俊华 神经鞘瘤和神经纤维瘤怎么鉴别?
张小林 21:07
做免疫组化了吗?
夏威夷的风 21:07
我觉这个病变不好鉴别 感觉神经纤维瘤囊变坏死少点,密度平时偏高
邓启付 21:07
纤维瘤密度均匀些吧
夏威夷的风 21:08
神经鞘瘤AB区,密度不均匀,强化也不均匀
张小林 21:08
没有免疫组化不好区别
夏威夷的风 21:08
神经纤维瘤可能渐近强化,说错了老师们要指出来 我也是临时找病例看的 没有准备
桂国华 21:09
神经鞘长这么大,早囊变一塌糊涂了
夏威夷的风 21:09
哪位老师对神经鞘瘤和神经纤维瘤的影像鉴别经验 不妨分享一下吧
🐠sunnie🐠 21:10
核磁上容易鉴别一些,鞘t2信号更高,信号更不均匀,纤维瘤信号略偏低吧
刘阳 21:10
病理有时也难分
邓启付 21:10
是不是太大了,所以囊变明显
桂国华 21:11
超过5公分就多考虑恶性神经鞘了,此例影像表现良性
夏威夷的风 21:12
这个病理提示生长活跃,病变也很大 是不是更容易坏死囊变呢?
桂国华 21:13
@北京大学人民医院 刘晓怡 我记得神经鞘A区T2也仅是稍高信号[尴尬]
刘阳 21:13
方向对了就好,二者常难以区分
🐠sunnie🐠 21:14
嗯@桂国华~东莞市人民医院 ,应该是的,细胞致密区,但是总的来说信号不均
下一篇:【病例】平山病1例MR影像表现