【病例】骶骨高分化浆细胞瘤一例CT病例讨论
发布时间:2022-10-24
发布时间:2022-10-24




夏威夷的风 21:18
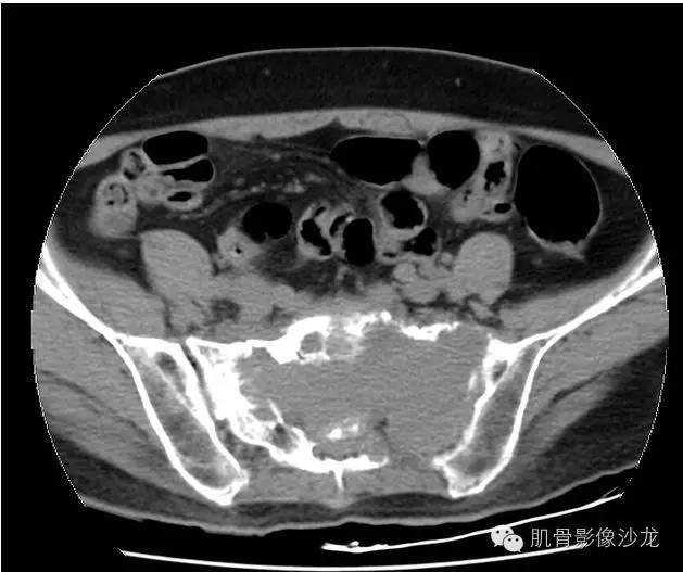
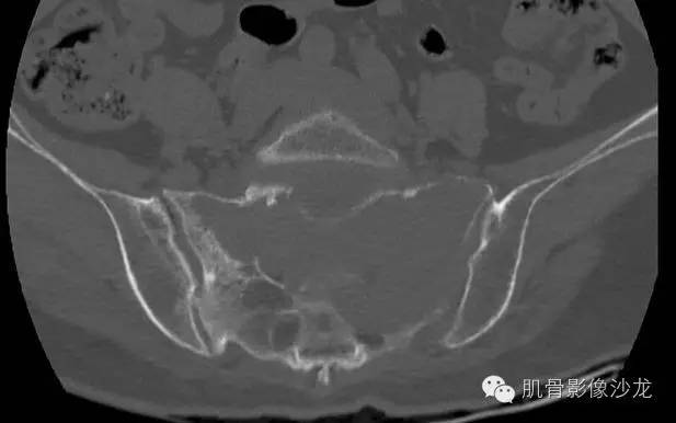
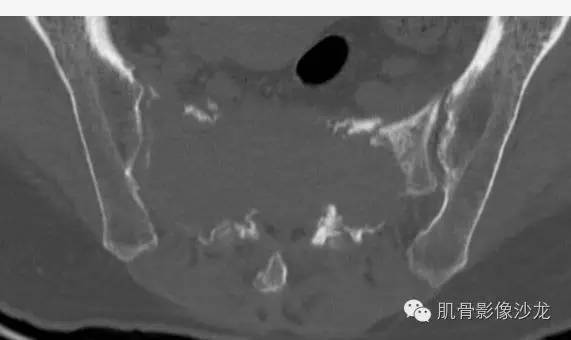
女,50岁,腰痛伴左下肢放射痛4个月
夏威夷的风 21:19
这个图形有点少
刘阳 21:19
转移
师子 21:19
首先考虑转移瘤,年龄大
桂国华 21:19
骨巨
葛英霖 21:19
这个考虑来自于骨的
张小林 21:20
@肌骨群义工 葛英霖 支持
🐠sunnie🐠 21:20
像转移瘤,溶骨性
桂国华 21:20
浆细胞瘤
杨先春 21:20
浆细胞瘤?
刘阳 21:20
鉴别浆细胞瘤
杨先春 21:21
淋巴瘤?
张小林 21:21
浆细胞瘤?
老猫 21:21
骨巨细胞瘤可能性大
邓启付 21:21
恶性
张小林 21:21
恶性肿瘤
杨先春 21:21
骨巨感觉膨胀不够
葛英霖 21:21
巨细胞瘤或者浆细胞瘤吧,不是太好分
张太娟 21:21
考虑骨巨,位置,影像符合
刘阳 21:22
有侵袭性
🐠sunnie🐠 21:22
转移瘤或者浆细胞瘤,浆细胞瘤年龄差点,转移瘤就不太好说了
弱弱的强光 21:23
恶性的吧,交界面不清楚
夏威夷的风 21:23
骶骨巨大骨质破坏区,破坏区软组织肿块密度较均匀,边缘不规则残留少许骨皮质,膨胀性改变不明显,肿块基本局限于骨破坏区内。
石头 21:23
应该骨源性的
桂国华 21:23
感觉转移不会拿出来,当然转移永远都是鉴别诊断一个
向以四 21:23
侵袭性 小细胞肿瘤或是转移瘤都可以 Mri意义更大
张小林 21:23
@北京大学人民医院 刘晓怡 膨胀的,转移靠后吧?
夏威夷的风 21:24
最后病理:高分化浆细胞瘤
葛英霖 21:24
磁共振可能好分辨一点
夏威夷的风 21:25
这个溶骨性骨质破坏征象,骶骨的形态还是保留的 所以影像也像浆细胞瘤 但是 转移瘤必须鉴别 转移瘤万能的模仿者
桂国华 21:25
MR也不好分,相对浆细胞信号会均匀些
葛英霖 21:25
那东西又不是特异性的征象
夏威夷的风 21:25
@刘阳 迷你脑也不是浆细胞特有的
刘阳 21:26
这里二者蛮像,不太好鉴别
夏威夷的风 21:26
下一个?
弱弱的强光 21:26
讨论个问题:转移,浆细胞瘤,淋巴瘤好像可以出现骨质硬化?为什么
张太娟 21:26
恩,真不好鉴别,感觉这个软组织没冒出去
弱弱的强光 21:27
@肌骨沙龙义工胡俊华 稍等
弱弱的强光 21:27
这个病人也有,是硬化还是成骨?葛老师
桂国华 21:28
@王斌常德二院 不一定是硬化,有些是残存皮质,这例边缘髓样破坏很明显
葛英霖 21:28
多数都是硬化啊
刘阳 21:29
有残留骨皮质
弱弱的强光 21:29
见过以上三个都有硬化的
桂国华 21:30
没看到到,高密度区都位于皮质或小关节区
夏威夷的风 21:30
@王斌常德二院 你说说边界硬化还是病变里面的高密度?
桂国华 21:32
@王斌常德二院 如果是硬化,应该是出现在病变边缘交界处
夏威夷的风 21:32
淋巴瘤有多种类型,有些表现密度增高 好像硬化改变吧,一般渗透性骨质破坏征象;浆细胞瘤有硬化成骨改变的类型 但是很少见,基底讲不出 转移瘤的硬化很少见吧 都是溶骨性改变
弱弱的强光 21:32
是的