涨知识!20种骨折平片你见过几种?
发布时间:2022-10-24
发布时间:2022-10-24
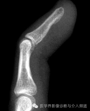
1、Mallet 指
远节指间关节屈曲畸形。又称篮球指,远节指间关节屈曲畸形,由伸趾肌腱断裂造成,常由打篮球中直接撞击手指引发。

2、Skier’s掌骨
第1掌骨上缘慢性损伤。最早发现于苏格兰的猎场看守人。通常伴有掌指关节尺侧副韧带的损伤。急性损伤现在多称为“Skier’s tumb”,滑雪者摔倒时候由滑杆系带牵拉损伤所致。

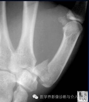
3、Bennett’s骨折
第一掌骨基底部骨折。为关节腔内骨折,非粉碎性,骨折线累及第一掌腕关节面。第1掌骨则由于拇长展肌的牵拉,导致向桡侧和背侧脱位,近端基底部骨块呈四边形。

4、Rolando 骨折
第一掌骨基底部粉碎性骨折并脱位。为关节囊内骨折,需要与Bennett’s骨折鉴别,Bennett’s骨折为非粉碎性骨折,Rolando 骨折有3个以上的骨碎块。

5、Boxer’s 骨折
第5掌骨头横形骨折。远折端向掌侧移位,向背侧成角。

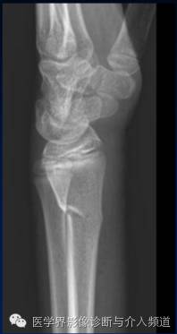
6、Colles 骨折
桡骨远端横形骨折。骨折线位于干骺端,邻近关节,远折端向背侧移位,断端向掌侧成角,通常伴尺骨茎突骨折。受伤机制为摔倒时候手撑地成过伸状。

7、Smith骨折
桡骨远端横形骨折,又称反Colles骨折。骨折线位于干骺端,邻近关节,远折端向掌侧移位,断端向背侧成角,通常伴茎突骨折。受伤机制摔倒时候手撑地呈过屈状。

8、Barton’s骨折
桡骨远端骨折。骨折线累及桡腕关节面及桡骨远端背侧缘,为关节囊内骨折。受伤机制摔倒时候手撑地呈过伸状。

9、反Barton’s骨折
桡骨远端骨折。骨折累及桡腕关节面及桡骨掌侧缘,而Barton’s骨折累及的是桡骨背侧缘,为关节囊内骨折。受伤机制摔倒时候手撑地呈过屈状。

10、Chauffer骨折
桡骨茎突斜行骨折。曾经常由手摇汽车发动机手柄时候用力过猛所致。

11、Lead Pipe骨折
桡骨远端不完全性的青枝骨折。发生在骨骺未闭合时,合并青枝骨折和嵌插骨折,一侧皮质突起,一侧皮质嵌插。

12、Nightstick 骨折
尺骨近端横形骨折。称“警棍骨折”,由直接暴力打击前臂造成。

13、Monteggia 骨折
尺骨近端骨折并桡骨小头前脱位。多有外翻性暴力造成。


14、Galeazzi 骨折
桡骨中段骨折并下桡尺关节脱位。摔倒时用手撑地或直接暴力打击腕关节背侧造成。

15、Essex Lopresti 骨折:
桡骨小头粉碎性骨折,伴下桡尺关节脱位。多有高处坠下造成。

16、Chisel 骨折
桡骨小头不完全性骨折。骨折线由关节面向下延伸,约半英尺。斜位片更容易显示细微骨折线。

17、Nuresmaid’s Elbow
桡骨小头脱位。受伤机制为过度牵拉前臂,如家长拉着小孩上台阶。X线表现为桡骨骨干中轴线不经过肱骨小头骨骺中心。

18、Bankart骨折
肩胛盂前缘骨折。多为肩关节前脱位时,肱骨头撞击关节盂前缘造成。

19、Hill-Sach’s骨折
肱骨头压缩性骨折。肱骨头向前脱位,由肱骨头撞击肩胛盂前缘造成,肱骨头后外侧压缩骨折。

20、Trough 征
肱骨头前内侧骨折。受伤机制为肩关节后脱位时肱骨头撞击肩胛盂后缘造成。
