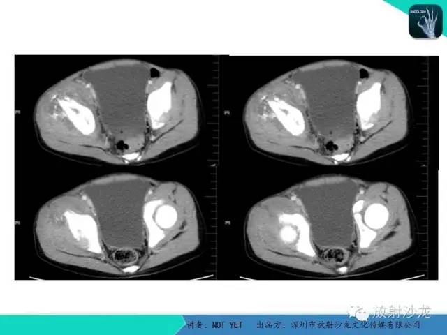
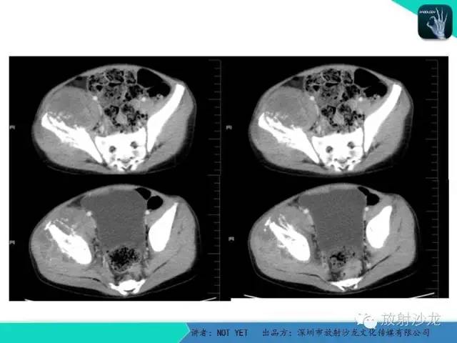
【病例】右侧髂骨Ewing肉瘤1例CT影像表现

发布时间:2022-10-24

【病例】右侧髂骨Ewing肉瘤1例CT影像表现

【病例】右侧髂骨Ewing肉瘤1例CT影像表现

【病例】右侧髂骨Ewing肉瘤1例CT影像表现

【病例】右侧髂骨Ewing肉瘤1例CT影像表现

【病例】右侧髂骨Ewing肉瘤1例CT影像表现

【病例】右侧髂骨Ewing肉瘤1例CT影像表现

【病例】右侧髂骨Ewing肉瘤1例CT影像表现

【病例】右侧髂骨Ewing肉瘤1例CT影像表现

【病例】右侧髂骨Ewing肉瘤1例CT影像表现

【病例】右侧髂骨Ewing肉瘤1例CT影像表现

【病例】右侧髂骨Ewing肉瘤1例CT影像表现

【病例】右侧髂骨Ewing肉瘤1例CT影像表现

【病例】右侧髂骨Ewing肉瘤1例CT影像表现

【病例】右侧髂骨Ewing肉瘤1例CT影像表现

【病例】右侧髂骨Ewing肉瘤1例CT影像表现

【病例】右侧髂骨Ewing肉瘤1例CT影像表现

【病例】右侧髂骨Ewing肉瘤1例CT影像表现

【病例】右侧髂骨Ewing肉瘤1例CT影像表现

【病例】右侧髂骨Ewing肉瘤1例CT影像表现

【病例】右侧髂骨Ewing肉瘤1例CT影像表现

精彩图片

热门精选