慢性胆囊炎
慢性胆囊炎病理概述编辑本段
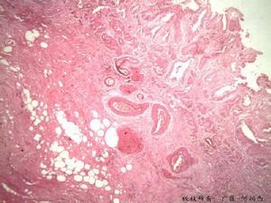
慢性胆囊炎--病理切片慢性胆囊炎是临床上胆囊疾病中最常见的一种。临床表现为上腹不适或钝痛,常于进食油腻食物后加剧,还可有恶心、腹胀及嗳气。若胆囊管或总胆管被结石或浓稠胆汁所阻塞,或欧蒂氏括约肌痉挛时,常于饱餐后发作胆绞痛。体征有右上腹压痛,墨菲氏征阳性。有胆囊积水时,可扪及大的胆囊。一般不发热或仅有低热。 医学百科网 | YxBaike.Com
现代医学认为本病多发生于胆石症的基础上,且常为急性胆囊炎的后遗症。其病因主要是细菌感染和胆固醇代谢失常。 医学百科网 | YxBaike.Com
慢性胆囊炎的诊断依据为胆石症病史和胆绞痛及消化不良的症状。十二指肠引流及胆囊造影对诊断有帮助。 医学百科网 | YxBaike.Com
现代医学对本病主要采用低脂饮食,口服利胆药物等方法治疗;急性发作时,应用抗菌药物,对反复发作的胆绞痛,一般行胆囊切除术,疗效较好。慢性胆囊炎在中医临床中多属“胁痛”范畴。认为肝气郁结,失于疏泄,胆失通降,不通则痛,肝胃不和,则嗳气、纳呆,脘腹胀闷。若湿热蕴结脾胃,熏蒸肝脾,以致肝脾疏泄功能失常,而呈中脘或右胁隐痛、纳呆、口苦等。 医学百科网 | YxBaike.Com
病理病因编辑本段
慢性胆囊炎现代医学认为本病多发生于胆石症的基础上,且常为急性胆囊炎的后遗症。其病因主要是细菌感染和胆固醇代谢失常。多因结石长期刺激胆囊粘膜发生炎症所致,部分病例系急性胆囊炎后遗而来。胆囊结石可反复阻塞胆囊管或反复刺激胆囊壁而造成急性胆囊炎反复发作,久而久之转变为慢性胆囊炎。当然,胆囊结石的存在并不表示一定有胆囊炎存在。
医学百科网 | YxBaike.Com
慢性胆囊炎在我国多见,女性发病率高,女:男为2-3:1。其病因繁多复杂,包括年龄、性别、种族、饮食习惯、肥胖、遗传、胆道感染、胆汁滞留、等诸多因素,多为综合性因素作用的结果。随着我国人民生活水平的提高和卫生状况的改善,国民平均寿命延长近十年来,胆囊结石的发病率逐日增高,尤其大城市增高更明显,据统计占全部胆石病的70%左右。 医学百科网 | YxBaike.Com
1.感染性胆囊炎。是最常见的一种。胆囊病变较轻者,仅有胆囊壁增厚,重者可以显著肥厚,萎缩,囊腔缩小以至功能丧失。
2.梗阻性胆囊炎。当胆囊管阻塞(结石等)时,胆汁潴留,胆色素被吸收,引起胆汁成份改变,刺激胆囊发生炎症。 医学百科网 | YxBaike.Com
3.代谢性胆囊炎。由于胆固醇的代谢发生紊乱,而致胆固醇沉积于胆囊的内壁上,引起慢性炎症。
医学百科网 | YxBaike.Com
病理症状编辑本段
B型超声肝胆扫描 慢性胆囊炎是最常见的一种胆囊疾病,病人一般同时有胆结石,但无结石的慢性胆囊炎病人在我国也不少见。慢性胆囊炎有时可为急性胆囊炎的后遗症,但大多数病人过去并没有患过急性胆囊炎,由于胆囊长期发炎,胆囊壁会发生纤维增厚,疤痕收缩,造成胆囊萎缩,囊腔可完全闭合,导致胆囊功能减退,甚至完全丧失功能。 医学百科网 | YxBaike.Com
患了慢性胆囊炎后,病人主要会有以下两组症状: 医学百科网 | YxBaike.Com
① 结石一时性阻塞胆囊管,引起胆绞痛的发作,疼痛多位于上腹部或右上腹,持续数分钟至数小时不等,疼痛可牵涉到背部或右肩胛骨处,可伴恶心和呕吐。 医学百科网 | YxBaike.Com
② 常有腹胀、上腹或右上腹不适、胃灼热、嗳气、吞酸等一系列消化不良的症状,进食油煎或多脂的食物往往会使这些症状加剧。因此,有的病人可以并无胆绞痛的发作,只是感到上腹不适、嗳气、吞酸等一些消化不良的症状,往往误认为自己是患了“胃病”。这些病人“症”虽在“胃”,但病“根”却在“胆”,虽长期按“胃病”进行“对症治疗”,但因未消除病“根”,故病情经久不愈。 医学百科网 | YxBaike.Com
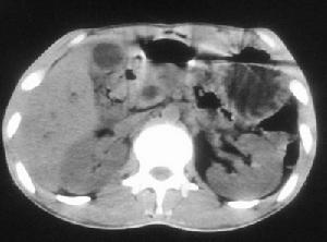
胆囊造影和B型超声肝胆扫描是诊断慢性胆囊炎很有价值的检查方法。胆囊造影可以发现胆结石、胆囊缩小变形,以及浓缩和收缩不良等情况,有时胆囊不显影。B超检查除了可探查出胆结石和胆囊外型改变以外,还能看到胆囊壁有变毛糙、增厚等征象。有上述症状的病人,应及时就医,通过以上检查,一般可以明确慢性胆囊炎的诊断。
医学百科网 | YxBaike.Com
少见的并发症
胆囊积脓,一种胆囊内充满脓液的炎症,严重者甚至可以穿孔及溢漏。如果结石嵌顿在胆囊管,造成胆囊因粘液积聚而扩张,则形成粘液囊肿。有时在胆囊与肠管间可形成一条异常通道,即痿管。胆囊炎反复发作可使整个胆囊皱缩或形成瘢痕。
医学百科网 | YxBaike.Com
诊断鉴别编辑本段
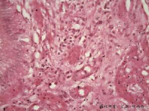
病理切片一、病史提问 医学百科网 | YxBaike.Com
反复发作性上腹部疼痛,多发生在右上腹或中上腹部,并向右肩胛下区放射。腹痛常发生于餐后,但亦可于饮食无关,疼痛常呈持续性。可伴有反射性恶心,少有呕吐及发热、黄疸等症状。可伴有反酸、嗳气等消化不良症状,并于进油腻食物后加重。在急性发作或结石嵌顿在胆管时可有急性胆囊炎或胆绞痛的典型症状。问诊时应寻问既往有无反复发作胆绞痛的病史、起病急缓、疼痛的部位、性质特点、放射方向、时间及伴随症状。
二、体检发现
右上腹部压痛,急性发作时同急性胆囊炎的表现。部分病人可无阳性体征。
医学百科网 | YxBaike.Com
三、实验室检查
急性发作时与急性胆囊炎的实验室检查相同,无急性发作时可无异常改变。B超检查可探知胆囊的大小、壁厚薄、有无结石等。口服胆囊造影检查可观察胆囊收缩功能是否存在、胆囊内有无结石等。
医学百科网 | YxBaike.Com
四、应于消化性溃疡、慢性胃炎、慢性肝炎、泌尿系感染等疾病相鉴别。
医学百科网 | YxBaike.Com
治疗总则编辑本段
1、如慢性胆囊炎伴有胆石者,症状反复不缓解,无其它严重疾病,可开住院证收住院行外科手术治疗。
2、如病人不同意手术或症状较轻无反复发作者,可内科保守治疗。嘱病人平时低脂饮食、可口服消炎利胆片6片每日3次或33-50%硫酸镁10ml每日3次,另外可口服一些溶石或排石的中药治疗。
3、如病人有急性发作,按急性胆囊炎处理。
医学百科网 | YxBaike.Com
治疗方法编辑本段
内科治疗
采用内科治疗慢性胆囊炎的方法:内科治疗主要是消炎利胆的方法,如消炎利胆片、利胆醇、舒胆通、胆通、去氢胆酸以及熊脱氧胆酸等,有些病人有效,但难根治。 医学百科网 | YxBaike.Com
外科治疗
外科治疗慢性胆囊炎的方法:反复发作胆绞痛、胆囊无功能、有急性发作,尤其是伴有结石者,应手术治疗。80%的胆囊癌并有慢性胆囊炎胆石症,手术可起到预防胆囊癌的作用。 医学百科网 | YxBaike.Com
经常保持愉快的心情,注意劳逸结合,寒温适宜。劳累、气候突变、悲观忧虑均可诱发此病急性发作。常服用利胆药物及食物,保持大便通畅。 医学百科网 | YxBaike.Com
偏方治疗
松花粉
1、消除部分致病的诱发因素
松花粉能消炎杀菌,防止急性感染;促进血液循环,促使胆汁排出,防止结石形成;能改善患者睡眠状况,防止因失眠而复发。 医学百科网 | YxBaike.Com
2、对疮面消炎杀菌,减轻局部炎症反应,并加速局部康复。
3、治愈便秘、促进消化、增强食欲,补充营养并促进营养吸收,有利于改善患者体质,增强免疫力,利于痊愈。 医学百科网 | YxBaike.Com
松花粉的正确使用方法:
1、松花粉是保健食品不是药,有病的人食用时,不要轻易停药,松花粉可以作为非药物治疗的选择。 医学百科网 | YxBaike.Com
2、食用量:每日2—3次,每次3—6粒,饭前半小时,温水(40℃以下)送服。可根据自己的身体状况增减食用量。
3、过敏体质的人慎用。松花粉一般情况下,不会引起过敏反应,建议过敏体质的人服用松花粉时,从每日1粒开始,若过过敏症状,再继续食用,逐渐增加食用量。注意多喝水。 医学百科网 | YxBaike.Com
专家医嘱:平日多喝水,忌用金属器皿。 医学百科网 | YxBaike.Com
家庭养护编辑本段
若曾被医院确诊为“慢性主治胆囊炎”的因此病人而又经长时期的药物重点治疗效果不好反复发作应考虑护送不同病人早日进行住院基础手术治疗多种以彻底根治。 医学百科网 | YxBaike.Com
家庭用药
(1) 复方柠檬酸胶囊每次-粒每日次口服可以帮助利胆消食缓解症状。
(2) 利胆药:硫酸镁毫升每日次或去氢胆酸.克或胆酸钠.克每日次或利胆素克每日次口服。
(3) 利胆消炎的中成药消炎利胆片-片日次口服。 医学百科网 | YxBaike.Com
(4) 慢性培养胆囊炎急性发作时用药同急性胆囊炎的西药治疗知识。
营养和饮食
(1) 慢性胆囊炎,急性发作时,参照急性胆囊炎的膳食要求。
(2) 慢性内科胆囊炎的膳食,应根据病情给予低脂肪,低胆固醇的半流质食物,或低脂肪低胆固醇的软食低脂肪:指脂肪总量以-克/日为宜,并把这些脂肪总量分在各餐中低胆固醇:指忌食用含胆固醇较高的食物如蛋黄脑肝肾及鱼子等因鱼油中含大量多烯酸能降低血中胆固醇水平所以平日可多食用些鱼类。 医学百科网 | YxBaike.Com
食物
医学百科网 | YxBaike.Com
(1) 蛋白质:蛋白质食用要适量每日-克足量的蛋白质有利于损伤组织基础的修复但过量的蛋白质会增加胆汁的分泌不利于胆囊炎性内科组织的修复。
医学百科网 | YxBaike.Com
(2) 碳水化合物:慢性辽宁胆囊炎的病人引录的热量最后主要来源于碳水化合物:碳水化合物易消化利用率亦高但过于肥胖的人患胆囊炎同时上海合并有冠心病或高脂血症时则需要适当限制碳水化合物的摄入包括主食及含糖糕点糖块的摄入以利于减轻体重。 医学百科网 | YxBaike.Com
(3) 大量饮水保持每日-毫升水量的摄入以利于胆汁的稀释减少胆汁滞积。
(4) 忌食用刺激性食物或浓烈的调味品。
(5) 少量多餐。
(6) 避免便秘发生因其能影响胆汁的排出所以适当用些含粗纤维的蔬菜和水果。
医学百科网 | YxBaike.Com
(家庭护理)
(1) 慢性胆囊炎。急性发作时病人科室应绝对卧床休息。
(2) 伴有发烧时。除可以用西药降温外。还可采用物理降温加速散热。
(3) 腹痛时。除用止痛的西药外。家人还可以用热水袋。在病处作热敷。重点具有止痛作用。
注意事项编辑本段
慢性胆囊炎慢性胆囊炎是胆囊的慢性炎症性病变,多发生于中老年人,约有70%病人合并有胆囊结石。该病症状常不典型,绝大部分患者有胆绞痛病史,尔后有厌油腻食、腹胀、嗳气等消化道症状。
也有时有右上腹和腰背部隐痛或不适,但很少有畏寒,高烧和黄疽。慢性胆囊炎的治疗要依据起病的因素及合并症等因人而异,针对具体病情,采用适当灵活的治疗原则。
医学百科网 | YxBaike.Com
慢性胆囊炎如能积极治疗,大部分患者的病情能够得到控制。部分患者因治疗不彻底或机体抵抗力降低,可引起反复发作。少数长期慢性胆囊炎及合并胆道结石阻塞的患者,可引起急性胰腺炎或胆汁性肝硬化的发生。 医学百科网 | YxBaike.Com
慢性胆囊炎的膳食,应根据病情给予低脂肪、低胆固醇的半流质食物或低脂肪,低胆固醇的软食。低脂肪:指脂肪总量以20-30克/日为宜,并把这些脂肪总量分在各餐中。低胆固醇:指忌食用含胆固醇较高的食物。如蛋黄,脑,肝、肾及鱼子等,因鱼油中含大量多烯酸,能降低血中胆固醇水平,所以平日可多食用些鱼类食物; 医学百科网 | YxBaike.Com
少量多餐
避免便秘发生,因其能影响胆汁的排出,所以适当用些含粗纤维的蔬菜和水果。
此外还可采用如下饮食疗法: 医学百科网 | YxBaike.Com
金钱败酱茵陈茶:金钱草、败酱草、茵陈各30克,煎汁1000毫升,加白糖适量温服代茶饮。鸡蛋汁黄瓜藤饮:黄瓜藤100克,洗净煎水100毫升,新鲜鸡蛋1个,取汁冲服。萝卜汤:取新鲜萝卜1个,切成小块,适量水,放少许食盐,共煮之,取汁饮用,每周3次服。 医学百科网 | YxBaike.Com
预防常识编辑本段
1、注意饮食卫生防止感染发生;当炎症出现时及时应用有效的抗菌素;
2、合理调配食谱不宜过多食用含动物脂肪类食物。如肥肉和动物油等;
当有肠虫(主要医药为蛔虫)时及时重点应用驱虫药物用量,要足以防用药不足,虫活跃易钻入胆道造成阻塞,引起胆道蛔虫症(参考资料[1][2][3][4][5] )。
处理方法编辑本段
如果慢性胆囊炎病情严重同时又伴有胆囊结石,最好进行手术切除胆囊。对于慢性胆囊炎,一般在疼痛发作完全缓解2-3月后,再进行手术,因为此时胆囊的炎症才能完全消失,手术相对安全一些。 医学百科网 | YxBaike.Com
目前手术切除胆囊有开腹手术和腹腔镜手术两种。开腹手术有100年历史,是经典手术方法。 腹腔镜手术是近10年来发展起来的新方法,通过腹部上开的3-4个小孔放入特殊器械,将胆 囊切除,它的优点是创伤较小,术后恢复快,但对手术医师的技能有特殊要求,手术费用较高, 需要特殊设备,同时对病人也有更多的选择,比如急性胆囊炎、伴有心肺疾病、伴有疝、腹膜 炎、严重的慢性胆囊炎等等均不宜行腹腔镜手术。
另外,患者应合理饮食,多吃清淡之品,忌食肥甘醇厚之品,应进大量饮料(1500~2000ml),以稀释胆汁。忌郁怒及过度劳累,并积极防治肠道寄生虫病。 医学百科网 | YxBaike.Com
附件列表
词条内容仅供参考,如果您需要解决具体问题,请遵医嘱或咨询医师。
本站词条内容如果涉嫌侵权,请与客服联系,我们将及时进行处理。如需转载,请注明来源于www.yxbaike.com
