“铺路石征” 的影像表现与临床意义
医学百科网 | YxBaike.Com
英文:crazy paving appearance。 医学百科网 | YxBaike.Com
又名:碎石路征。
医学百科网 | YxBaike.Com
医学百科网 | YxBaike.Com
 
 医学百科网 | YxBaike.Com 
 医学百科网 | YxBaike.Com 
 
 
医学百科网 | YxBaike.Com
医学百科网 | YxBaike.Com
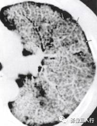
多数CT与组织学的比较可见到:细线影多为肺泡实变,其次为间质纤维化,或为两者 都有,总之,60%病例都未见到小叶间隔增厚,因此,CT上的铺路石征在诊断上并无特异 性,它可以是单纯由于气腔实变而致,此时肺泡内的物质呈线状沉着,正好位于肺的基本单 位如腺泡、小叶等的边缘而出现网状结构。因此,当在CT上见到铺路石征时要密切结合临床资料加以鉴别诊断。 医学百科网 | YxBaike.Com
医学百科网 | YxBaike.Com
其病因未明,推测与几方面的因素有关,如大量粉尘吸入(铝、二氧化硅等),机体免 疫功能下降(尤其是婴幼儿),遗传因素,酗酒,微生物感染等。而对于感染,有时很难确 认是原发致病因素还是继发于肺泡蛋白沉着症。例如巨细胞病毒、肺孢子菌、组织胞浆菌感 染等均发现有肺泡内高蛋白沉着。发病过程认为可能与肺泡表面物质代谢异常和肺泡巨噬细 胞对它们的清除失常有关。
PAP可分为获得性(特发性)、继发性和先天性(或新生儿)三种,其中获得性者占 90%,约在百万人中见到3. 7例。本病可发生于任何年龄,多数在20〜50岁,男女之比为 (2〜3): 1,起病隐匿,主要症状为进行性气促,约1/3病例有低热,大部分有咳嗽,痰呈 乳白色泡沫状,有时见块状、胶冻状或管型咳出。体检可有呼吸运动减弱,叩诊轻度浊音, 肺内明显的病理性支气管呼吸音,偶有湿啰音。重症有杵状指、发绀及肺动脉高压的表现。
医学百科网 | YxBaike.Com
虽然无特异性,但胸片仍是最常用的影像检查,典型的X线表现为肺门周围弥漫性肺 泡浸润,呈蝶状,双侧不一定十分对称,极似肺水肿。CT有较高的诊断性和特异性,在常 规CT上表现为斑片状分布的气腔实变,周围绕以正常肺,而呈“地图状”。HRCT则进一 步显示有或无空气支气管征的肺泡实变或磨玻璃影,典型的有小叶内间质和小叶间隔的增 厚,使病变呈多角形,即铺路石征。在Johkon报道的病例中,100%的肺泡蛋白沉积症在 CT上都可以见到铺路石征,CT表现多为较广泛的实变和磨玻璃影,分布部位和范围不一, 但较其他疾病者范围要大,平均累及13个肺段。病变边缘较清晰,呈地图样,在磨玻璃影 上重叠有细线样影,使之呈网状,大网眼的大小平均为5. 7mm,小网眼为2. Omm,这是本 病的特征性表现。 医学百科网 | YxBaike.Com
胸部X线表现为向心性肺泡浸润但无心衰表现当疑及本病。支气管肺泡灌洗发现为混 浊,乳白或黄色液体,其沉淀中有大量无结构的嗜伊红体,则诊断可明确。尚未发现有效的 药物,目前有效而广泛采用的为支气管肺泡灌洗。儿童患者预后差,数年内死亡,成年人中 有自愈病例,也有愈后复发患者,约半数患者为逐步发展,或并发感染、呼吸衰竭而于5〜 10年死亡。 医学百科网 | YxBaike.Com
医学百科网 | YxBaike.Com
常见铺路石征疾病鉴别诊断见表1。 医学百科网 | YxBaike.Com
表1常见铺路石征疾病鉴别诊断
| 病名 | 主要表现 | 
| AIP ,ARDS | 急性,实变常见,斑片或弥漫 | 
| 肺水肿 | 急性,常见 | 
| 肺出血 | 急性,斑片或弥漫 | 
| 肺炎(卡氏肺孢子菌、病毒、衣原体、细菌) | 急性,常见,斑片或弥漫,小叶中心结节,实变 | 
| 急性嗜酸粒细胞性肺炎 | 急性,少见 | 
| 放射性肺炎 | 急性,范围常和放射野相符 | 
| 肺泡蛋白沉积症 | 亚急性,慢性,常见,斑片或弥漫,地图样 | 
| NSIP | 亚急性,慢性,斑片,胸膜下 | 
| UIPJPF | 亚急性,慢性,少见,胸膜下 | 
| 过敏性肺炎 | 亚急性,慢性,很常见,斑片或结节可为小叶中心,也可同时存在实变、空气潴留 | 
| BOOP | 亚急性,慢性,常见,也可有实变,常多见于肺周围部,可为结节 | 
| 慢性嗜酸性肺炎 | 亚急性,慢性,实变常见,斑片,周围部多见 | 
| 类脂质肺炎 | 亚急性,慢性,斑片或结节,可见低密度实变 | 
| 支气管肺泡癌(弥漫) | 亚急性,慢性,弥漫,斑片或小叶中心,实变结节常见 | 
虽然铺路石征是一种非特异性的影像学表现,多种疾病均可有此改变,但掌握其在各种 疾病中出现的部位、特点和其他影像学表现,在结合患者的病史、临床表现等,对于缩小肺 部弥漫性疾病的鉴别诊断范围有重要的价值。
附件列表
词条内容仅供参考,如果您需要解决具体问题,请遵医嘱或咨询医师。
本站词条内容如果涉嫌侵权,请与客服联系,我们将及时进行处理。如需转载,请注明来源于www.yxbaike.com
如果您认为本词条还有待完善,请 编辑
上一篇 牢记急性肺动脉栓塞的三大征象! 下一篇 没有CTA?这三招也能识别主动脉夹层!
