牢记急性肺动脉栓塞的三大征象!
患者,男,61岁,左侧股骨颈骨折术后,胸部CT检查: 医学百科网 | YxBaike.Com
医学百科网 | YxBaike.Com
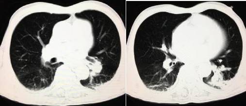
肺窗:
医学百科网 | YxBaike.Com
医学百科网 | YxBaike.Com
纵隔窗: 医学百科网 | YxBaike.Com
医学百科网 | YxBaike.Com
医学百科网 | YxBaike.Com
医学百科网 | YxBaike.Com
平扫 CT 示右肺动脉干及下肺动脉分支内高密度影(红箭示) 医学百科网 | YxBaike.Com
重建: 医学百科网 | YxBaike.Com
医学百科网 | YxBaike.Com
医学百科网 | YxBaike.Com
医学百科网 | YxBaike.Com
医学百科网 | YxBaike.Com
医学百科网 | YxBaike.Com
冠状位及矢状位重建示右肺动脉干及上下肺动脉分支内均见高密度影(红箭示)
医学百科网 | YxBaike.Com
医学百科网 | YxBaike.Com
诊断:急性肺动脉栓塞
医学百科网 | YxBaike.Com
肺动脉栓塞(PE)是指内源性或外源性栓子堵塞肺动脉或其分支引起肺循环障碍的临床和病理生理综合征。最常见的栓子是来自静脉系统中的血栓。当栓塞后产生严重血供障碍时,肺组织可发生坏死。发生肺出血或坏死者称肺梗死(pulmonary infarction)。起源于肺动脉原位者(in situ)称肺动脉血栓形成(pulmonary thrombosis)。堵塞两个肺叶动脉以上或伴有血压下降者称大块肺动脉栓塞(massive pulmonary embolism)。
医学百科网 | YxBaike.Com
临床上,肺动脉栓塞与肺梗死或肺动脉栓塞与肺血栓形成有时难以区别。
医学百科网 | YxBaike.Com
1、平扫管腔内高密度征:急性肺栓塞的特征性表现,特别是栓塞累及中心肺动脉时该征象更加明显,诊断肺栓塞的总敏感度为 36%,特异度为 99%,在诊断中心肺动脉栓塞时,其敏感度为 66.7%,特异度为 99.1%。
2、Palla征:即胸片右下肺动脉扩张,是肺栓塞中罕见但很重要的表现。Palla 等人在 1983 发现了肺栓塞时右下肺动脉扩张这一征像,即肺栓塞患者右下肺动脉的远端直径明显扩大。最有意义的测量点位于上腔静脉角以及其远端1 cm 处,肺栓塞患者测量结果分别为17 cm 和15 cm。
医学百科网 | YxBaike.Com
3、Westermark征:即胸片上周围不对称透亮区,也是肺栓塞罕见但重要的表现。肺栓塞患者急诊胸片示右肺周围不对称透亮区。这种征像缺乏前瞻性,并且也不常见,但一旦出现,其特异性非常高,达到92%。
医学百科网 | YxBaike.Com
附件列表
词条内容仅供参考,如果您需要解决具体问题,请遵医嘱或咨询医师。
本站词条内容如果涉嫌侵权,请与客服联系,我们将及时进行处理。如需转载,请注明来源于www.yxbaike.com
如果您认为本词条还有待完善,请 编辑
上一篇 左下肺鳞癌1例CT 下一篇 “铺路石征” 的影像表现与临床意义
