子宫内膜癌双肺转移1例CT
【临床病史】:患者,女 58 岁。 医学百科网 | YxBaike.Com
病理学检查:子宫内膜中分化乳头状腺癌 肿物侵达浅肌层伴累及一侧卵巢一侧卵巢:成熟性囊性畸胎瘤,一侧输卵管组织(-) 医学百科网 | YxBaike.Com
【影像图片】CT图像
医学百科网 | YxBaike.Com
医学百科网 | YxBaike.Com
医学百科网 | YxBaike.Com
医学百科网 | YxBaike.Com
医学百科网 | YxBaike.Com
医学百科网 | YxBaike.Com
医学百科网 | YxBaike.Com
医学百科网 | YxBaike.Com
医学百科网 | YxBaike.Com
医学百科网 | YxBaike.Com
医学百科网 | YxBaike.Com
医学百科网 | YxBaike.Com
医学百科网 | YxBaike.Com
医学百科网 | YxBaike.Com
医学百科网 | YxBaike.Com
医学百科网 | YxBaike.Com
医学百科网 | YxBaike.Com
医学百科网 | YxBaike.Com
医学百科网 | YxBaike.Com
医学百科网 | YxBaike.Com
医学百科网 | YxBaike.Com
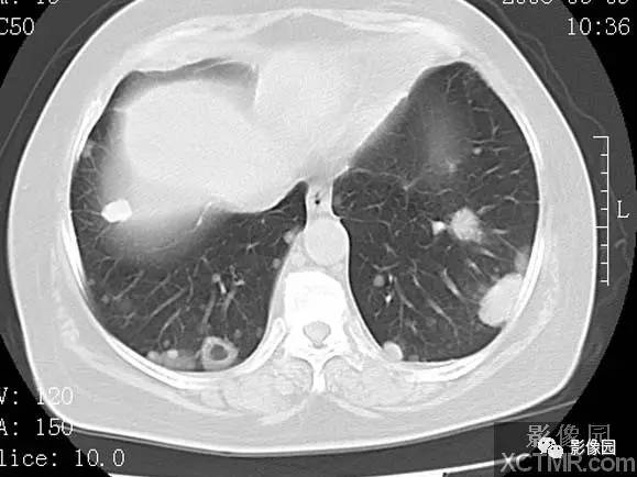
【影像表现】:双肺内多发大小不一转移瘤,瘤体可见空洞及钙化。 医学百科网 | YxBaike.Com
【影像诊断】:子宫内膜癌双肺转移。
医学百科网 | YxBaike.Com
【诊断要点】:肺内转移瘤出现空洞及钙化改变的多见于鳞癌及粘液性腺癌。 医学百科网 | YxBaike.Com
附件列表
词条内容仅供参考,如果您需要解决具体问题,请遵医嘱或咨询医师。
本站词条内容如果涉嫌侵权,请与客服联系,我们将及时进行处理。如需转载,请注明来源于www.yxbaike.com
如果您认为本词条还有待完善,请 编辑
