椎小关节滑膜囊肿
一、概述编辑本段
滑膜囊肿主要见于腕、膝、踝、足等关节,椎管内滑膜囊肿临床上少见,易被忽视。脊椎滑膜囊肿最多发生于腰椎,偶见于胸椎和颈椎。腰椎关节突关节滑膜囊肿多见于男性(70%),最好发于腰4、5节段(61%~90%),腰3、4和腰5~骶1节段(5%~17%)次之,通常与临近的关节突关节相交通,提示其发生可能与上述节段的活动量大有关。关节突关节的退行性改变和创伤可能使关节囊变得薄弱或出现缺损,关节内容物疝出,导致囊肿形成。 医学百科网 | YxBaike.Com
医学百科网 | YxBaike.Com
二、临床表现编辑本段
本病好发于腰椎,以腰4、5最多(70%),腰5~骶1次之(20%)。椎小关节突关节滑膜囊肿(Facet Joint Synovial Cysts)患者的症状和体征与囊肿大小及发生部位有关,临床表现没有特征性。因本病发生在椎小关节外后方较多,可无明显临床症状,如突入椎管,可压迫神经根、硬膜囊,并产生腰背痛、下肢疼痛、麻木等症状,极少数合并马尾综合征,与椎间盘突出引起的症状无法区分。
医学百科网 | YxBaike.Com
S.C. Cambron, J.J. McIntyre, S.J. Guerin, Z. Li and D.A. Pastel. American Journal of Neuroradiology August 2013, 34 (8) 1661-1664. 医学百科网 | YxBaike.Com
三、影像学表现及病理基础编辑本段
椎小关节滑膜囊肿病因尚不明确,目前多数学者认为由于退行性变、微小创伤导致椎小关节囊薄弱、缺损,致使松弛的滑膜囊自薄弱处疝出形成囊肿,易与椎间盘脱出等混淆,影像学检查可很好地显示病灶及其他伴随病变。 医学百科网 | YxBaike.Com
与其他滑膜关节的滑膜囊肿类似,椎小关节滑膜囊肿为滑膜包裹的囊性灶,为浆液性或胶冻样液体,胶冻样液体为黏液样变性、含铁血黄素沉积及钙化等成分,囊壁由结缔组织、胶原纤维及弹力纤维构成,常见炎性细胞及多核巨细胞。 医学百科网 | YxBaike.Com
1.X线平片表现平片不能显示椎小关节囊肿,但可见不同程度的椎体骨质增生,椎小关节面骨质增生,关节间隙狭窄、模糊,以及椎体前、后移位不稳等退行性变表现。 医学百科网 | YxBaike.Com
2.CT表现平扫及三维重建可观察到腰椎椎小关节旁的囊状低密度影,边界较清楚,囊壁密度稍高,可钙化,囊内容物密度均匀;常伴椎小关节骨质增生、关节面凹凸不平;如病灶位于椎管内,可使邻近的硬膜囊受压,但对神经根的压迫显示不如MRI。 医学百科网 | YxBaike.Com
3.MRI表现MRI能够很好地显示椎小关节突旁囊肿;在小关节外后方可表现为边界清楚的囊性病灶,大小不一,囊壁在T1W低信号、T2W高信号,囊内容物可接近脑脊液信号。增强扫描见囊壁可有强化,囊内容物不强化。囊肿如突向椎管,可显示硬膜囊和(或)神经根受压的表现;另外,还常见椎小关节退行性变的表现,横断面见椎小关节骨质增生,关节面凹凸不平,关节间隙不均匀狭窄,并可见椎小关节面下骨质的水肿、炎症、积液等。
52岁,男性 医学百科网 | YxBaike.Com
医学百科网 | YxBaike.Com
82岁,女性 医学百科网 | YxBaike.Com
来源:Insights into Imaging volume 7, pages179–186(2016) 医学百科网 | YxBaike.Com
医学百科网 | YxBaike.Com
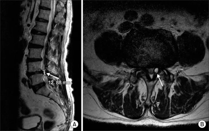
左侧腰4/5椎小关节,大小约5 × 6 × 13 mm
医学百科网 | YxBaike.Com
来源:The Korean Journal of Pain 2015; 28(4): 275-279.
医学百科网 | YxBaike.Com
四、诊断编辑本段
由于MRI广泛用于临床,椎小关节滑膜囊肿的确诊概率越来越高,本病常发生于椎小关节退行性变的基础上,囊肿发生在椎小关节后外侧关节旁滑膜,有时可见一小管状高信号影与关节间隙的积液相连,如向脊膜囊突出,即见脊膜囊弧形受压,并与脊膜囊有一低信号影分隔。 医学百科网 | YxBaike.Com
五、鉴别诊断编辑本段
附件列表
词条内容仅供参考,如果您需要解决具体问题,请遵医嘱或咨询医师。
本站词条内容如果涉嫌侵权,请与客服联系,我们将及时进行处理。如需转载,请注明来源于www.yxbaike.com
如果您认为本词条还有待完善,请 编辑
上一篇 胎儿小脑发育及常见疾病的MRI评估 下一篇 肾上腺脑白质营养不良的影像诊断
