易误诊的肺结核1例CT影像讨论

医学百科网 | YxBaike.Com
医学百科网 | YxBaike.Com
医学百科网 | YxBaike.Com
医学百科网 | YxBaike.Com
医学百科网 | YxBaike.Com
医学百科网 | YxBaike.Com
医学百科网 | YxBaike.Com
医学百科网 | YxBaike.Com
医学百科网 | YxBaike.Com
医学百科网 | YxBaike.Com
医学百科网 | YxBaike.Com
医学百科网 | YxBaike.Com
医学百科网 | YxBaike.Com
医学百科网 | YxBaike.Com

医学百科网 | YxBaike.Com
医学百科网 | YxBaike.Com
医学百科网 | YxBaike.Com
微信群讨论
医学百科网 | YxBaike.Com
明日の路过: 医学百科网 | YxBaike.Com
中年男性,左肺肺门区占位伴肺不张,上叶尖段气管外压性狭窄,增强病灶未见明显坏死。首先定性还是恶性,病灶未见明显坏死,周围毛刺分叶都有,首先考虑腺癌可能性大。 医学百科网 | YxBaike.Com
青衫赋雪??: 医学百科网 | YxBaike.Com
老年男性,细胞角质蛋白19片段指标偏高,左肺门软组织密度影,左肺上叶支气管开口狭窄,增强可见肺动脉受压,纵隔内见肿大淋巴结影,考虑鳞癌 医学百科网 | YxBaike.Com
支气管内壁不是很规则 医学百科网 | YxBaike.Com
王海瑛: 医学百科网 | YxBaike.Com
左肺上叶体积缩小,透光度减低,局部肺不张,左肺门肿块,左肺上叶支气管被包绕呈鼠尾状狭窄,左肺主动脉被包绕受侵犯,纵隔内多发肿大淋巴结,左肩胛骨周围软组织内多发针状钙化,首先定恶性,考虑1小细胞肺癌2腺癌 医学百科网 | YxBaike.Com
joyzhy:
中年男性 左肺门软组织肿块,包绕支气管呈鼠尾状狭窄,远端少许阻塞性改变,增强扫描肺门血管受压变性,肿块均匀强化,未见明显强化,肿块向肺门纵隔延伸,肺门纵隔脂肪分界不清。诊断,恶性占位,男性肺门肿块鳞癌需要考虑,但是没有湖泊坏死,没有明显阻塞性改变;小细胞,纵隔淋巴结没有明显融合,但是肺门侧有融合冰冻表现,不能排除。另外病灶边缘分叶、毛刺形成,强化均匀,猜一个腺鳞癌不除外。最后诊断 小细胞或腺鳞癌
医学百科网 | YxBaike.Com
晕晕菜:
医学百科网 | YxBaike.Com
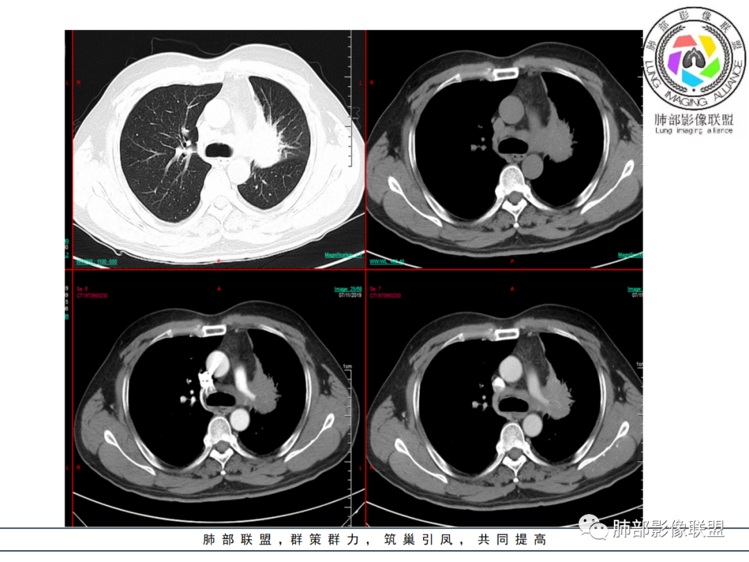
患者中年男性,咳嗽、咳痰1月余,同时伴有胸闷不适。胸CT:左肺上叶占位并膨胀不全,左肺上叶支气管支气管不规则狭窄,左肺固有上叶开口呈鼠尾状闭塞。纵隔窗:4L 4R 6 7 左肺门淋巴结肿大,增强静脉期较动脉期强化,血管包埋,左肺下叶肺动脉纤细。
医学百科网 | YxBaike.Com
考虑: 医学百科网 | YxBaike.Com
1:恶性病变—–小细胞肺癌
医学百科网 | YxBaike.Com
2:良性病变—–结核
医学百科网 | YxBaike.Com
建议支气管镜检查。
医学百科网 | YxBaike.Com
小锁: 医学百科网 | YxBaike.Com
左肺门肿块,支气管壁增厚狭窄,增强均匀强化,叶间胸膜受压,纵膈多发结节,隆突下多发结节,考虑淋巴瘤。鉴别小细胞肺癌、腺癌、鳞癌。 医学百科网 | YxBaike.Com
红日东升: 医学百科网 | YxBaike.Com
中年男性,咳嗽咳痰1月余。左肺门肿块,包绕肺门血管支气管,血管、支气管受压、变细、阻塞,破坏不明显。强化较均匀,未见明显坏死区。左肺体积减小,前段不张,中央间质增厚。纵隔、左肺门多发肿大淋巴结、部分融合。考虑恶性病变,淋巴瘤?小细胞癌?
医学百科网 | YxBaike.Com
宇宙: 医学百科网 | YxBaike.Com
左肺门软组织肿块,包绕左主、左上叶支气管及分支,变窄,前段支气管闭塞,局限肺不张,左肺动脉受压,轻度强化,纵隔淋巴结增大,考虑肺癌,小细胞癌可能。 医学百科网 | YxBaike.Com
孔儿: 医学百科网 | YxBaike.Com
补充一个病史这个病人做了骨扫描未见明确骨转移征象 医学百科网 | YxBaike.Com
尘缘: 医学百科网 | YxBaike.Com
我考虑慢性炎性恢复期表现,普通炎症排前面,结核肉芽肿待排。
强化不符合低分化腺癌,也不符合小细胞,强化太明显了。
因为支气管内壁相对光滑了,所以我不把结核排前面,把普通炎性慢性恢复期改变排前面。
明日の路过: 医学百科网 | YxBaike.Com
结核不是坏死很明显吗? 医学百科网 | YxBaike.Com
气管结核的话,应该塌了 而不是外压 医学百科网 | YxBaike.Com
气管结核 软骨很容易受侵犯
医学百科网 | YxBaike.Com
气管结核分型狭窄一般是这三型(瘢痕 软骨塌陷 淋巴瘘)
小鱼:
肉芽肿期可以明显强化 医学百科网 | YxBaike.Com
大雄: 医学百科网 | YxBaike.Com
支气管内膜结核与恶性肿瘤临床表现会不会有差异,如果是结核,那么应该是内膜结核吧?
医学百科网 | YxBaike.Com
毛勤香: 医学百科网 | YxBaike.Com
我还是考虑恶性,不是鳞就考虑小,有点疑惑的是支气管有改变,但阻塞性改变不明显
医学百科网 | YxBaike.Com
如果是肉芽肿也没办法了,工作中恶性肯定放前面,建议纤支镜 医学百科网 | YxBaike.Com
^_^:
我觉得有点儿奇怪的是,一般恶性病变引起的肺不张,强化应该能看出肿块来,这个好像是一体的 医学百科网 | YxBaike.Com
小鱼:
医学百科网 | YxBaike.Com
目前没有内膜结核概念了,全部归入支气管结核 医学百科网 | YxBaike.Com
南边: 医学百科网 | YxBaike.Com
结核还是鳞癌? 医学百科网 | YxBaike.Com
大雄:
不是鳞癌吧 医学百科网 | YxBaike.Com
小细胞比鳞癌概率高 医学百科网 | YxBaike.Com
结核呼吸道症状更重吧 医学百科网 | YxBaike.Com
丁啸: 医学百科网 | YxBaike.Com
你们感觉结核和肺癌侵犯支气管时候哪个对气道刺激大 医学百科网 | YxBaike.Com
尘缘:
医学百科网 | YxBaike.Com
再就是淋巴结肿大的形态,而且坏死不明显,大多是保持了椭圆形,符合炎性增生改变,不符合肿瘤淋巴结转移的改变。还有临床症状,咳嗽,咳痰一个月。也支持慢性炎症。
医学百科网 | YxBaike.Com
星语无言: 医学百科网 | YxBaike.Com
没有环形强化
任广国:
强化这么均匀,考虑结核的话,考虑哪个类型啊?
医学百科网 | YxBaike.Com
崇军: 医学百科网 | YxBaike.Com
结核主肺动脉窗内淋巴结增大少见
joyzhy: 医学百科网 | YxBaike.Com
慢性炎症能进入到纵隔内吗? 医学百科网 | YxBaike.Com
滕翔: 医学百科网 | YxBaike.Com
为啥强化完,感觉看不出来肿瘤的边界啊,为啥强化的这么均匀啊为啥管腔管壁这么清楚啊,为啥淋巴结还都肿大融合了 医学百科网 | YxBaike.Com
小鱼: 医学百科网 | YxBaike.Com
强化均匀,延迟强化,还有支气管多支受累似乎,部分狭窄后又通了,远端多支气管壁厚
医学百科网 | YxBaike.Com
南边: 医学百科网 | YxBaike.Com
问个问题尖后段支气管堵了? 医学百科网 | YxBaike.Com
小鱼: 医学百科网 | YxBaike.Com
应该是堵了
春秋: 医学百科网 | YxBaike.Com
尖后段都闭塞了吧 医学百科网 | YxBaike.Com
冥冥之中:
不一定堵了吧,只是受压
医学百科网 | YxBaike.Com
没有明确肿块,强化大致都是均匀的,所以不太考虑肿瘤,除非淋巴瘤,淋巴瘤对我来说掌握的太少,放一放,所以炎性病变可能 医学百科网 | YxBaike.Com
这个血管是均匀受压,光滑,也不太支持肿瘤;好像淋巴瘤还真有可能
医学百科网 | YxBaike.Com
尘缘: 医学百科网 | YxBaike.Com
面积太大了,周围还有一些模糊晕样表现,强化太明显太均匀了。而且临床有胸闷,一过性。说明支气管偶尔有通而不畅表现。
医学百科网 | YxBaike.Com
南边: 医学百科网 | YxBaike.Com
鼠尾状狭窄,远端堵塞,多考虑癌,但是狭窄后扩张,自然结核要考虑
丽:
强化太均匀了,没看到肿块
大雄:
医学百科网 | YxBaike.Com
目测强化CT值不超过30,强化很弱啊
李斌:
医学百科网 | YxBaike.Com
纵膈淋巴结还比较多 医学百科网 | YxBaike.Com
南边: 医学百科网 | YxBaike.Com
看这些,一般要考虑结核
尘缘:
结核肯定是要鉴别的。
医学百科网 | YxBaike.Com
丁啸: 医学百科网 | YxBaike.Com
赖老师指出多支支气管壁增厚像结核。大家怎么看。 医学百科网 | YxBaike.Com
孔儿: 医学百科网 | YxBaike.Com
多支支气管管壁增厚,更像炎症
医学百科网 | YxBaike.Com
joyzhy: 医学百科网 | YxBaike.Com
我觉得是回流障碍,导致的支气管血管束增粗 医学百科网 | YxBaike.Com
南边:
这个不一定是回流受阻 医学百科网 | YxBaike.Com
崇军: 医学百科网 | YxBaike.Com
仔细看延迟期淋巴结内有坏死,结核还真要考虑了 医学百科网 | YxBaike.Com
达克.上官: 医学百科网 | YxBaike.Com
从这个淋巴结入手,结核淋巴结容易干酪坏死,环形强化,20到40岁的患者才容易出现纵隔淋巴结结核 ,这个年龄偏大 ,而且可以看到不张肺和纵隔淋巴结分不清的地方
医学百科网 | YxBaike.Com
尘缘: 医学百科网 | YxBaike.Com
反正不考虑肿瘤,只考虑炎性肉芽肿,只不过我更反常了一点,把普通炎症排在结核前面。
不一定啊,一个月了呢
小鱼:
普通炎性不可能这样,只有结核可以
鳞癌破坏力强,结核肉芽肿期是可以 医学百科网 | YxBaike.Com
崇军: 医学百科网 | YxBaike.Com
这些淋巴结融合,中心低密度坏死,为结核的特点
医学百科网 | YxBaike.Com
医学百科网 | YxBaike.Com
HP:
医学百科网 | YxBaike.Com
鳞癌、结核破坏力都很强,这点不是很支持啊
南边: 医学百科网 | YxBaike.Com
我就想看支气管壁的破坏情况,但是不是很清楚,尖后段支气管远端似乎堵了,但好像又有穿出来,如果有穿出来就是狭窄后扩张,那肯定是结核的特点;肺门区前段和舌段的支气管就符合结核的特点:狭窄后扩张。
医学百科网 | YxBaike.Com
结果:
医学百科网 | YxBaike.Com
医学百科网 | YxBaike.Com
小鱼: 医学百科网 | YxBaike.Com
果然是结核 医学百科网 | YxBaike.Com
琦遇: 医学百科网 | YxBaike.Com
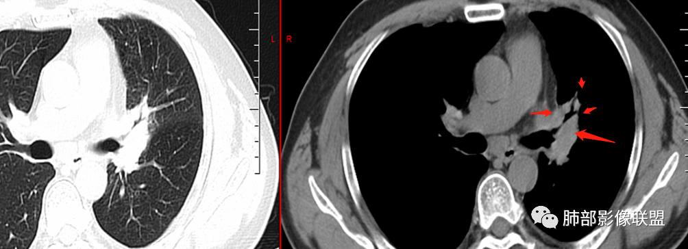
血管包埋征怎么解释? 医学百科网 | YxBaike.Com
丁啸:
医学百科网 | YxBaike.Com
受压
这个病例还需要做抗酸染色等特异性的检查。不过临床诊断结核应该可以的。 医学百科网 | YxBaike.Com
病例小结
医学百科网 | YxBaike.Com
临床及影像所见:
1.中年男性,咳嗽咳痰一月余,无咯血。 医学百科网 | YxBaike.Com
2.左肺上叶肺门区见不规则块影,前方边界不可分。主动脉窗结节影边界稍模糊且与肺门块影融为一体。密度均匀,未见钙化及液化。相邻肺血管影轻度受压。
3.左肺上叶前段支气管及其分支狭窄闭塞。 医学百科网 | YxBaike.Com
左肺上叶舌段重度狭窄并见腔内软组织影突入。 医学百科网 | YxBaike.Com
注意,支气管的狭窄或闭塞是多处多段的! 医学百科网 | YxBaike.Com
4.左肺上叶体积缩小,其中前段不张并萎陷纵隔旁。
5.肺门块影及不张肺组织均轻到中度强化,未衬托出低密度块影。
医学百科网 | YxBaike.Com
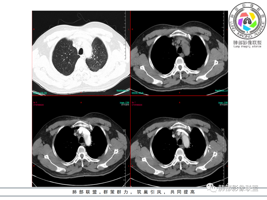
6.隆突下见增大淋巴结,环形强化为主。 医学百科网 | YxBaike.Com
7.纵隔左移(而非纵隔冻结)。提示病程漫长或存在相关基础疾病。
医学百科网 | YxBaike.Com
8.左肩胛骨旁动脉期血管影显示,疑逆流或回流受阻。扫描范围内肩胛骨及肋骨等未见明显骨质吸收破坏。
医学百科网 | YxBaike.Com
综合分析: 医学百科网 | YxBaike.Com
1.肺鳞癌:较大支气管阻塞伴肺不张,病灶强化不显著等,总会首先想到肺鳞癌。 医学百科网 | YxBaike.Com
但多处支气管狭窄或闭塞(前段和舌段两处相距还有点远),用肺鳞癌解释有点牵强。
医学百科网 | YxBaike.Com
增强扫描肺门区并未能勾画出一个低密度的块影。
医学百科网 | YxBaike.Com
此外,52岁的年龄对于肺鳞癌还是稍显年轻。
医学百科网 | YxBaike.Com
2. 小细胞癌:异常肿大淋巴结可以形成肺门区多处支气管管腔狭窄。
医学百科网 | YxBaike.Com
但小细胞癌增大的纵隔淋巴结往往十分凸显,肺野常常较干净。
支气管隆突下增大淋巴结通常不符合左肺上叶癌肿的迁徙途经。 医学百科网 | YxBaike.Com
纵隔的移位也非一朝一夕。 医学百科网 | YxBaike.Com
3.慢性感染:累及较大支气管且形成块影,常见的有支气管侵袭性曲霉病等真菌感染及结核等。 医学百科网 | YxBaike.Com
患者非易感人群,病灶较为局限,曲霉病等真菌感染缺乏支持点。
医学百科网 | YxBaike.Com
结核病常见,正如有老师分析,应当纳入考虑范围。支气管多处狭窄,或断断续续,符合结核的特点。 医学百科网 | YxBaike.Com
附件列表
词条内容仅供参考,如果您需要解决具体问题,请遵医嘱或咨询医师。
本站词条内容如果涉嫌侵权,请与客服联系,我们将及时进行处理。如需转载,请注明来源于www.yxbaike.com
如果您认为本词条还有待完善,请 编辑
上一篇 急腹症影像诊断与鉴别诊断 下一篇 永存原始玻璃体增生症一例MR
