罕见的帕罗综合征的中枢神经系统表现
概述编辑本段
帕罗综合征(Parry Romberg Syndrome,PRS),又称为进行性面偏侧萎缩症,是一种以半侧颜面皮肤、皮下组织、肌肉、软骨和骨萎缩为特征的疾病。病因仍未明确,可能的因素包括创伤、病毒感染、基因、自身免疫、内分泌紊乱、外周三叉神经炎、颈交感神经过度活跃导致面部萎缩和大脑功能障碍及脂肪紊乱。 医学百科网 | YxBaike.Com
临床编辑本段
帕罗综合征常于 20 岁以内发病,女性较男性常见,缓慢进展,最后停止于某阶段而不能自发缓解。PRS 的诊断主要依靠临床病史、检查和排除其他可能性,并辅以组织病理学和影像学研究。典型表现为患侧皮肤和皮下脂肪的萎缩,并可能发展为肌肉、软骨、骨和腺体结构的萎缩。受累部位多见于上颌骨或眶周区域,可扩展至前额、口周、下颌和颈部等。15%-20% 的病人可出现患侧头痛、面部疼痛、癫痫发作等。 医学百科网 | YxBaike.Com
医学百科网 | YxBaike.Com
影像学检查可确定临床隐匿性的颅内病灶,有助于排除其他鉴别诊断因素,并且监测疾病进展。 医学百科网 | YxBaike.Com
常见影像学表现 医学百科网 | YxBaike.Com
1、单侧颌面部皮肤及皮下脂肪变薄、萎缩、颌面骨萎缩、咀嚼肌萎缩、眼球凹陷、球后脂肪萎缩;
2、脑实质可无异常; 医学百科网 | YxBaike.Com
3、脑实质异常可出现:患者额叶出现皮层下钙化,患侧脑白质出现异常高信号,患侧脑沟萎缩、侧脑室扩大等。
病例展示 医学百科网 | YxBaike.Com
case 1: 医学百科网 | YxBaike.Com
医学百科网 | YxBaike.Com
44 岁,女性,诊断为 PRS,CT 显示:右侧颌面部皮肤及皮下脂肪萎缩,咬肌明显萎缩,腮腺明显萎缩,下颌骨和颧骨明显萎缩,眼球凹陷,眶内脂肪减小。
case 2: 医学百科网 | YxBaike.Com
14 岁,男性,PRS,左颌面进行性萎缩,T1WI 左颌面皮下脂肪变薄,3D-CT 重建显示左侧上颌骨明显萎缩,左侧眼球凹陷并眶内脂肪减少。 医学百科网 | YxBaike.Com
case 3: 医学百科网 | YxBaike.Com
医学百科网 | YxBaike.Com
24 岁,男性,PRS,左颌面进行性萎缩,T1WI 和 T2WI 左颌面皮肤及皮下脂肪变薄。 医学百科网 | YxBaike.Com
case 4:
11 岁,女性,PRS,左颌面进行性萎缩,3D-CT 显示左侧上颌骨明显萎缩,CT 显示皮下脂肪变薄,鼻尖向患侧移位,筛窦气房不对称萎缩 医学百科网 | YxBaike.Com
case 5:
医学百科网 | YxBaike.Com
68 岁,女性,PRS,CT 显示左侧额部皮肤及皮下脂肪明显萎缩,FLAIR 显示左侧侧脑室周围白质患侧高信号,脑沟及侧脑室增宽 医学百科网 | YxBaike.Com
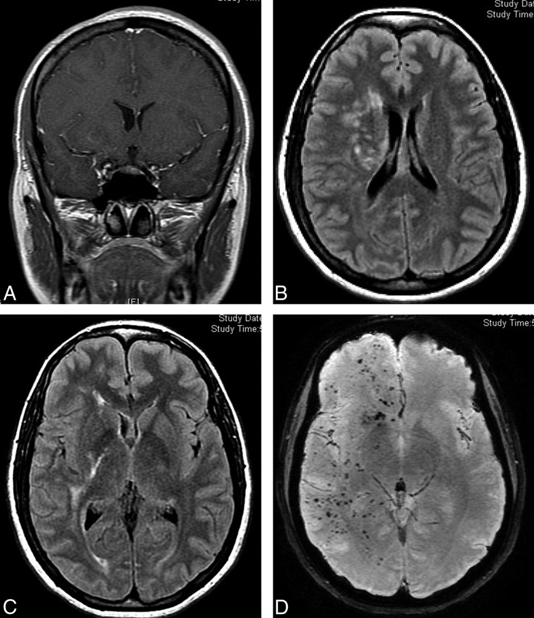
case 6: 医学百科网 | YxBaike.Com
30 岁,女性,PRS,肢体无力伴反复头痛,冠状位 T1WI C 增强右侧额顶部皮肤萎缩,FLAIR 和 SWI 显示患侧侧脑室旁白质多发高信号及点状出血或矿物质
医学百科网 | YxBaike.Com
线样硬皮病,2 种病在临床表现、影像检查存在部分重叠,有人认为 PRS 是线样硬皮病的一个亚型。
医学百科网 | YxBaike.Com
鉴别诊断 医学百科网 | YxBaike.Com
半侧颜面发育不全综合征(第一、二鳃弓综合征):也会导致面部不对称,但通常为先天性,无进展性,与 PRS 存在差别,通常由于一侧组织过度增生而导致颌面部不对称,而非萎缩。 医学百科网 | YxBaike.Com
医学百科网 | YxBaike.Com
左侧颌面部皮下脂肪增生 医学百科网 | YxBaike.Com
脂肪营养不良综合征,通常为双侧 医学百科网 | YxBaike.Com
医学百科网 | YxBaike.Com
拉姆森脑炎:常见儿童,癫痫起病,一侧半球萎缩伴脑室扩张、白质异常信号 医学百科网 | YxBaike.Com
医学百科网 | YxBaike.Com
附件列表
词条内容仅供参考,如果您需要解决具体问题,请遵医嘱或咨询医师。
本站词条内容如果涉嫌侵权,请与客服联系,我们将及时进行处理。如需转载,请注明来源于www.yxbaike.com
