肝脏神经内分泌癌1例CT影像
医学百科网 | YxBaike.Com
医学百科网 | YxBaike.Com
医学百科网 | YxBaike.Com
医学百科网 | YxBaike.Com
医学百科网 | YxBaike.Com
医学百科网 | YxBaike.Com
医学百科网 | YxBaike.Com
讨论 医学百科网 | YxBaike.Com
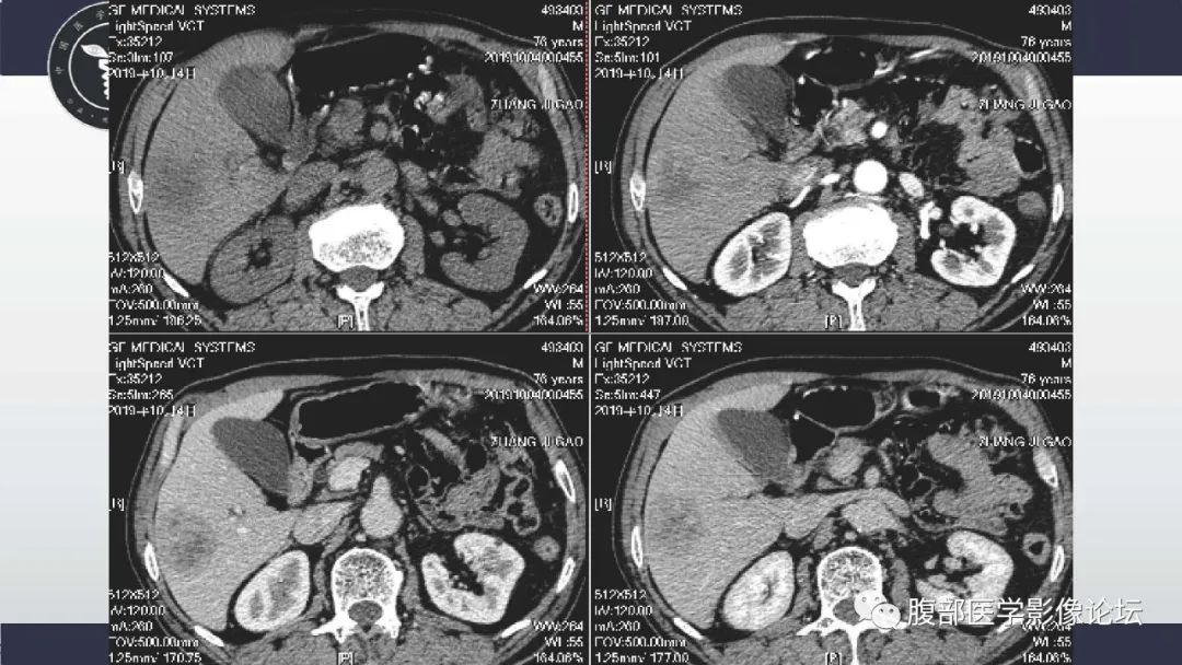
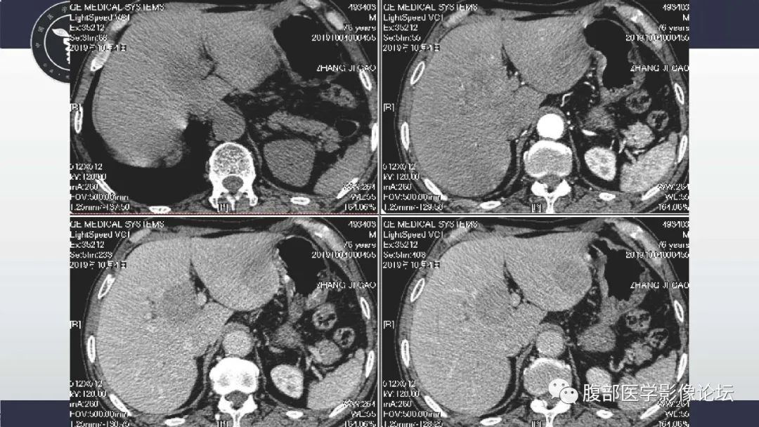
李广明:病例1肝脏多发占位,部分病灶快进快出,部分渐进强化,延迟似乎可见包膜,左叶病灶可以一血管影 。疾病谱神经内分泌癌,淋巴瘤,胆管细胞癌,转移瘤。病灶延迟部分有环状强化 不太支持胆管细胞癌,强化方式也不符合一般转移瘤。有血管穿行需要考虑淋巴瘤,但动脉期这种强化方式不常见,神经内分泌影像表现符合。综合考虑神经内分泌癌>淋巴瘤,建议核磁检查。 医学百科网 | YxBaike.Com
向前相后:1.病灶多发,肝左叶病灶内可见血管影,强化中度,包膜不明显,老年人,先排除转移,在排除淋巴瘤,最后排除神经内分泌肿瘤。 医学百科网 | YxBaike.Com
陈应东:肝脏多发占位,边界不清,增强渐进强化,延迟期稍低于肝,内部血管穿行,密度较均匀,考虑淋巴瘤,鉴别nets,囊变坏死多见;icc不符合点无邻近包膜凹陷,无中央简质延迟强化。转移瘤:需要原发肿瘤病史。IMT:周围多有一过性灌注,容易囊变坏死,强化程度不一。 医学百科网 | YxBaike.Com
赵绍武:肝内多发肿块,部分血管穿行,强化不一,考虑神经内分泌肿瘤,鉴别淋巴瘤,转移瘤 医学百科网 | YxBaike.Com
:肝脏多发占位,部分病灶快进快出,部分渐进强化,延迟似乎可见包膜,左叶病灶可以一血管影 。疾病谱神经内分泌癌,淋巴瘤,胆管细胞癌,转移瘤。病灶延迟部分有环状强化 不太支持胆管细胞癌,强化方式也不符合一般转移瘤。有血管穿行需要考虑淋巴瘤,但动脉期这种强化方式不常见,神经内分泌影像表现符合。综合考虑神经内分泌癌>淋巴瘤,建议核磁检查。 医学百科网 | YxBaike.Com
Self:肝脏多发肿块,增强轻度强化,内见血管穿行,考虑淋巴瘤。
医学百科网 | YxBaike.Com
罗晓红:老年男性,肝右叶下段病灶为多发小囊样改变,猜个ICC。IMT、神经内分泌待排!! 医学百科网 | YxBaike.Com
影子:老年男性,肝内多发病灶,低至中度强化,动脉期有血管穿行征,静脉期与延迟期有晕征,优先考虑EHE,需要同转移瘤(缺乏靶征与其他部位原发恶性肿瘤病史,实验室检查无特殊,不太支持)与淋巴瘤(强化不均匀,脾脏不大,未见到淋巴结增大等不支持)。
医学百科网 | YxBaike.Com
附件列表
词条内容仅供参考,如果您需要解决具体问题,请遵医嘱或咨询医师。
本站词条内容如果涉嫌侵权,请与客服联系,我们将及时进行处理。如需转载,请注明来源于www.yxbaike.com
如果您认为本词条还有待完善,请 编辑
