阳性支气管征
胸部CT扫描时直接通向肺部肿块或为包含在肿块内的含气支气管影,称为阳性支气管征。
医学百科网 | YxBaike.Com
医学百科网 | YxBaike.Com
CT表现
医学百科网 | YxBaike.Com
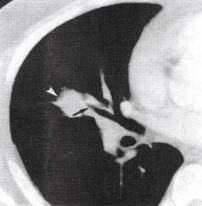
阳性支气管征(图1)的出现说明有正常或轻度扩张的支气管和细支气管与肿块相 通。有研究表明,肺内孤立结节与支气管的关系有5种:支气管伸达肿瘤边缘时被肿瘤切 断;支气管伸入肿瘤体内;肿瘤沿支气管壁浸润,支气管受肿瘤推挤;支气管壁增厚,管腔光滑狭窄;支气管壁增厚,管腔不规则狭窄。
图1 阳性支气管征。右肺中叶3cmX2.5cm肿 块,支气管与肿块相通,经支气管镜活检诊断为大细胞癌
阳性支气管征形成的病理基础为正常或轻度扩张的支气管或细支气管。支气管癌常引起 支气管形态改变,所以阳性支气管征多见于肺内恶性结节,以支气管腺癌多见,文献报道支气管腺癌时此征出现率可达92%,有时可见支气管、血管伴行,称为血管支气管平行征, 病理切片见支气管软骨被破坏,癌细胞向支气管腔内浸润。
医学百科网 | YxBaike.Com
医学百科网 | YxBaike.Com
阳性支气管征说明有较大的支气管与肿块相通,在直径<3cm的肿块中,90%仅有一支支气管与肿块相通,而直径>3cm者,约60%有3支或3支以上支气管与肿块相通。出现阳性支气管征者支气管镜检查的阳性率更高。Naidich等报道51例周围型肺癌于支气管镜检查前先行薄层CT,20例阳性支气管征患者,支气管镜检查的阳性率为55%,而31例支气管征阴性者, 支气管镜检查阳性率为32%。未出现该征象的病灶以经皮肺内病灶穿刺活检为宜。
张超等研究资料显示,阳性支气管征在良恶性结节周围出现率分别是11.36%和 14. 14%。两者差异不显著(P>0. 05),表明肺内良恶性病变均可导致阳性支气管征,因 此认为,阳性支气管征对孤立性肺结节的诊断价值不大。 医学百科网 | YxBaike.Com
医学百科网 | YxBaike.Com
肺内良恶性病变均可出现阳性支气管征。肺内良性病变因多发于肺实质与间质,对支气 管影响较小,阳性支气管征出现率较低,文献报道为27%。主要见于肺结核、肺炎性假瘤、肺梗死等。
医学百科网 | YxBaike.Com
附件列表
词条内容仅供参考,如果您需要解决具体问题,请遵医嘱或咨询医师。
本站词条内容如果涉嫌侵权,请与客服联系,我们将及时进行处理。如需转载,请注明来源于www.yxbaike.com
