【病例】肝性脑病1例MR影像表现
发布时间:2022-10-20
发布时间:2022-10-20
病例展示
患者男,53 岁,四肢乏力、反应迟钝 5 天
现病史:5 天前患者无明显诱因开始出现四肢乏力,家属发现患者反应稍迟钝,记忆力较前下降,无畏寒发热、抽搐、肢体活动障碍、口齿不清、意识障碍、大小便功能障碍、感觉障碍等。患者症状呈进行性加重,遂来院就诊。患者有肝硬化病史 4 年,已于外院行门体分流术。
既往史:有乙肝病史 10+年。无高血压、糖尿病、结核病史,无心脏病史。
个人史:偶饮酒,量少,吸烟 10+年,约 10+支/天。
神经系统查体:神清,高级认知功能下降,伸舌居中,口齿清晰,四肢肌力 IV 级,肌张力不高,四肢腱反射对称存在,病理征均未引出。
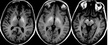
影像资料:

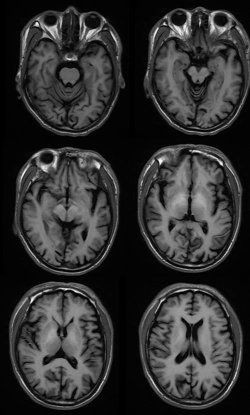
T1

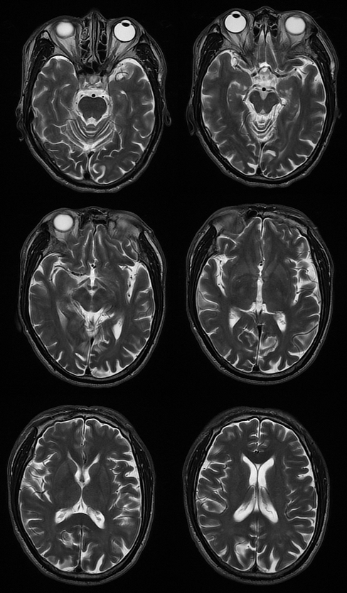
T2

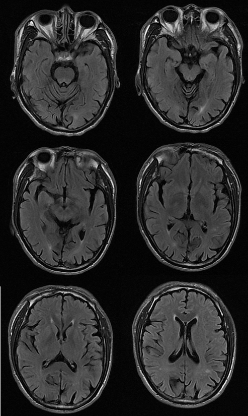
T2FLAIR

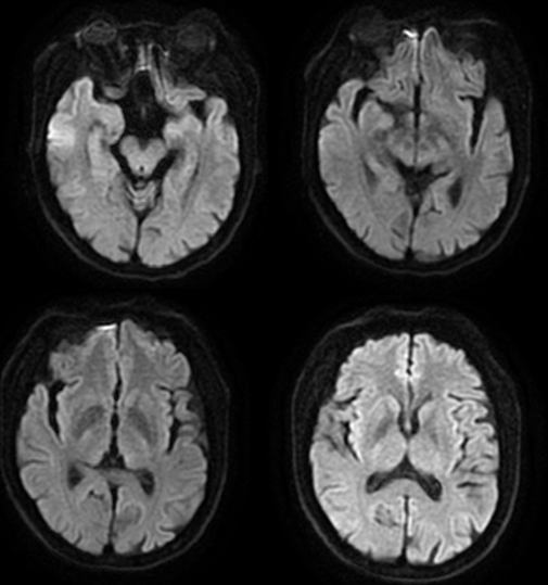
DWI
MRI 影像描述:T1W1 可见双侧苍白球对称高信号,T2、T2FLAIR、DWI 相应部位均未见确切异常信号。
血生化:
总胆红素 40.1umol/L(参考值范围 5.1-28)
直接胆红素 15.7umol/L(参考值范围 0-9)
间接总胆红素 24.4umol/L(参考值范围 0-19)
谷丙转氨酶 65.0U/L(参考值范围 9-50)
天门冬氨酸氨基转移酶 62.0 U/L(参考值范围 15-40)
血氨 45.7umol/L(参考值范围 9.0-33)
结合患者症状、血生化结果、影像学特点,诊断考虑肝性脑病(hepaticencephalopathy,HE),治疗上予以护肝、降血氨等处理,一周后患者症状明显好转出院。
肝性脑病
一般认为,产生 HE 的病理生理基础是肝细胞功能衰竭和门腔静脉之间有手术造成或自然形成的侧支分流。主要是来自肠道的许多毒性代谢产物,经侧支循环进入体循环,透过血脑屏障而至脑部,引起大脑功能紊乱。HE 的发病机制至今尚未完全阐明,目前仍以氨中毒学说为核心,同时炎症介质学说及其他毒性物质的作用也日益受到重视,如因患者肝功能障碍或门体分流,对锰的代谢下降,血锰升高并颅内沉积。而锰易沉积在基底节区的原因目前尚不明确,锰离子在颅内沉积引起 HE 的发生机制也需进一步研究。
临床表现
HE 临床表现具有多样性,发病初期仅表现为轻微的认知功能障碍、注意力及记忆力下降或 脑电生理异常,也可表现为行为异常、扑翼样震颤,随着疾病进展可出现嗜睡、谵妄,甚至昏迷等神经精神功能紊乱症状。
影像学表现
普遍接受的 HE 颅脑 MR 常规成像特点为 T1WI 上基底节区尤其是苍白球双侧对称性高信号,其他部位如黑质、中脑被盖以及垂体等也可出现异常高信号;T2WI 上多无明显改变,组织学证实苍白球密度增高是猛沉积的结果。健康人在摄入锰之后可迅速被肝脏清除,并排出人胆道系统。肝硬化病人锰经胆道排泄减慢,导致血锰水平升高及脑中锰聚集增加。因锰离子在第 3 轨道有 5 个不配对电子而具有较大磁矩,能明显缩短 T1 弛豫时间,导致 T1WI 高信号。
我们再来看下面几个病例:
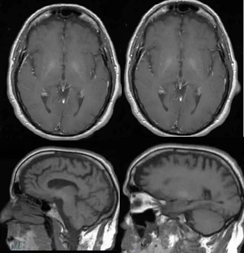
CASE 1

图 1 一例慢性 HE 患者,T1W1 可见双侧苍白球、中脑前部对称性的 T1W1 高信号。
CASE 2

图 2 是另一例以震颤和精神异常为主要表现的慢性 HE,有肝硬化病史,MRI 可见轴位及矢状位 T1W1 双侧苍白球对称性高信号,增强后未见明显强化。
鉴别诊断
1、长期胃肠外营养患者:因长期静脉补充含猛元素的营养液,可引起基底节区 T1W1 高信号,认为与猛的毒性相关。
2、焊工职业病患者:与患者长期吸入过多的猛元素相关,可出现 T1W1 双侧苍白球区高信号,诊断尚需结合病史。
3、Fahr 病:因基底节区钙化有时可在 T1W1 上出现高信号,可能与铁钙、粘多糖等沉积相关,但该病多为家族遗传性,且小脑齿状核亦是常受累部位。
影像诊断价值
根据临床追踪,轻型 HE 如不进行有效治疗,半年后大约有 40% 的患者智力进一步减退,发展为临床型 HE,一旦发生临床型 HE,病死率高达 50%。目前临床对于 HE 的诊断,依据患者出现神经精神方面的异常,再结合肝功能障碍或门体分流病史、血氨升高等检验结果,排除其他疾病后建立诊断,但这一方面忽略了轻微型 HE 患者,那么通过特异性的影像表现可以给轻型 HE 的诊断提供依据。故早期诊断 HE 并给予积极有效的干预措施对改善患者智能和工作生活能力、降低住院甚至死亡风险有非常重要的意义。
作者 | 秋雨
参考文献
[1] 罗松. 肝性脑病神经影像学研究新进展 [J]. 放射学实践,2014,29(1):36-39.
[2]McPhailMJ,LeechR,GroverVP,etal.Modulationofneuralacti vationfollowingtreatmentofhepaticencephalopathy[J].Neurology,2013,80(11):1041-1047.
[3] RiordanSM,WilliamsR.Gutfloraandhepaticencephalopathyin patientswithcirrhosis[J].N EnglJ Med,2010,362(12):1140-1142.
[4] 陈杨, 刘家成, 杨崇图, 等. 经颈静脉肝内门体分流术后肝性脑病预后因素研究进展 [J]. 介入放射学杂志,2022,31(3):301-306.
上一篇:成人小脑髓母细胞瘤1例MR影像