发生在腕关节的“稀疏牙缝征”
发布时间:2022-10-20
发布时间:2022-10-20
Terry thomas大叔是《飞行器中的好小伙》里的坏蛋,《虎口脱险)中唱鸳鸯茶的机长,不变的是那夸张的大胡子和豁牙。今天我们讲到的稀疏牙缝征,就是取自大叔的豁牙,往下看。

看看标志的大牙缝,对应什么影像征象?



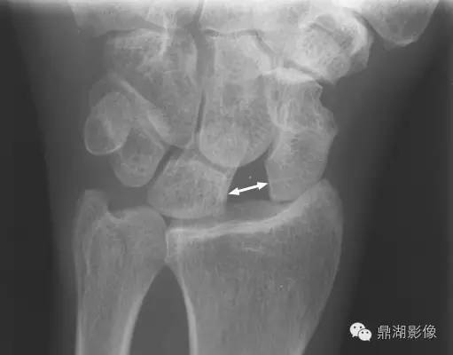
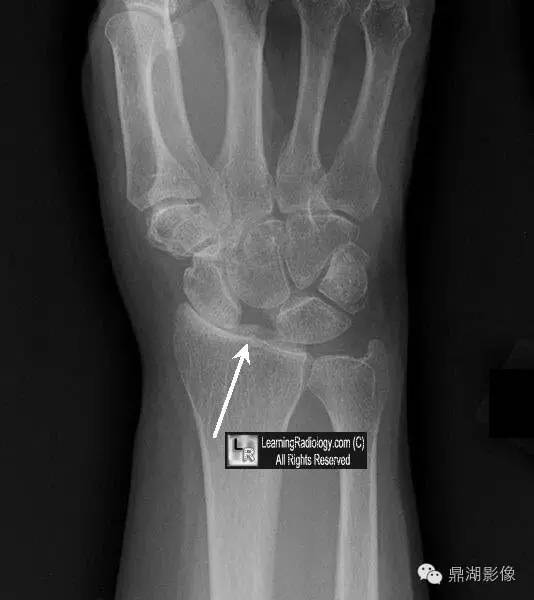
影像表现:当舟月骨分离、舟月骨间韧带撕裂所致腕关节正位片或CT冠状位示舟月骨间隙增宽,形似稀疏的牙缝。
征象解析:舟月骨分离是腕关节不稳定最常见的类型,又称为腕舟骨旋转半脱位,多由作用于腕关节尺掌侧的背伸、尺偏和旋后暴力引起稳定舟骨近极的韧带断裂,导致舟月骨间分离。同时桡侧副韧带和桡舟头韧带也可断裂。
反复重复性活动、握物旋转伤、先天性韧带松弛、尺骨负向变异等也与舟月骨分离有关。
影像学检查:X线片(进行双侧比较):
(1)舟月骨间间隙>2mm为可疑分离,如>4mm即可诊断。
(2)皮质环征,环下界与舟骨近极关节面的间距<7mm。
(3)舟骨缩短。
(4)舟月角>70º;桡月角>20º,即DISI。
