股骨远端动脉瘤样骨囊肿ABC VS 软骨母细胞瘤

发布时间:2022-10-20

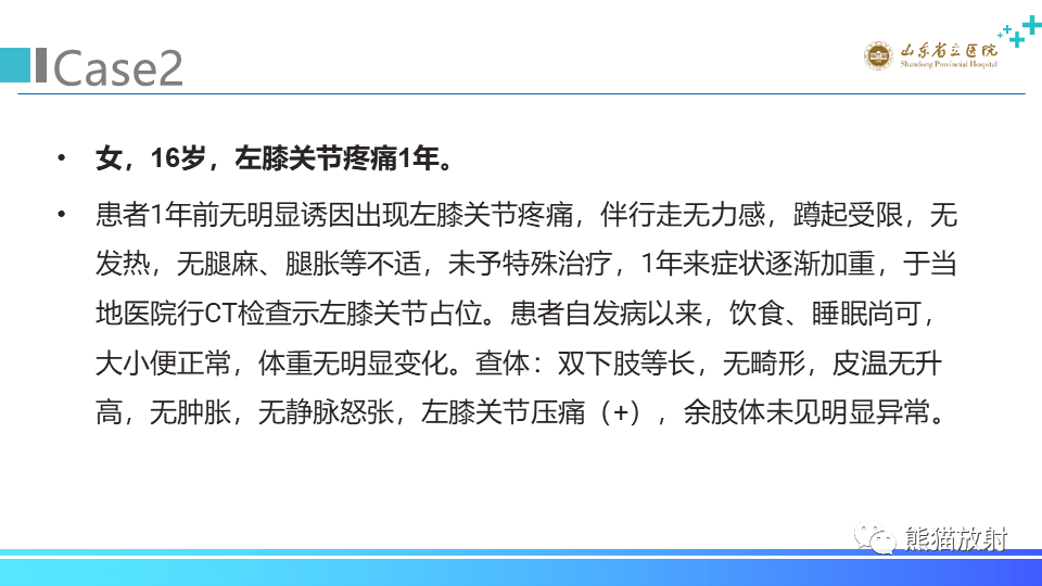
【病例】股骨远端动脉瘤样骨囊肿ABC VS 软骨母细胞瘤-1

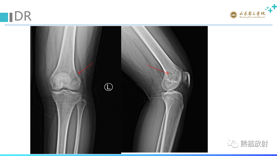
【病例】股骨远端动脉瘤样骨囊肿ABC VS 软骨母细胞瘤-2

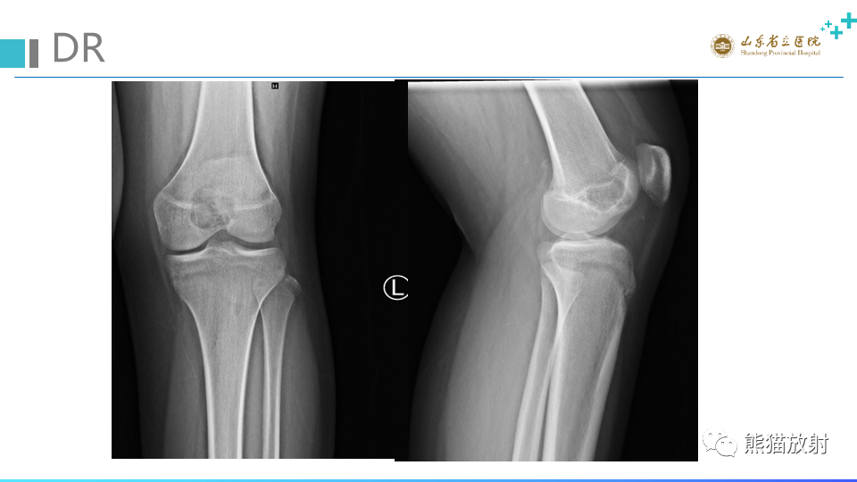
【病例】股骨远端动脉瘤样骨囊肿ABC VS 软骨母细胞瘤-3

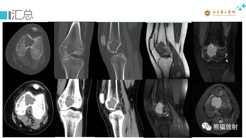
【病例】股骨远端动脉瘤样骨囊肿ABC VS 软骨母细胞瘤-4

【病例】股骨远端动脉瘤样骨囊肿ABC VS 软骨母细胞瘤-5

【病例】股骨远端动脉瘤样骨囊肿ABC VS 软骨母细胞瘤-6

【病例】股骨远端动脉瘤样骨囊肿ABC VS 软骨母细胞瘤-7

【病例】股骨远端动脉瘤样骨囊肿ABC VS 软骨母细胞瘤-8

【病例】股骨远端动脉瘤样骨囊肿ABC VS 软骨母细胞瘤-5

【病例】股骨远端动脉瘤样骨囊肿ABC VS 软骨母细胞瘤-9

【病例】股骨远端动脉瘤样骨囊肿ABC VS 软骨母细胞瘤-10

【病例】股骨远端动脉瘤样骨囊肿ABC VS 软骨母细胞瘤-11

【病例】股骨远端动脉瘤样骨囊肿ABC VS 软骨母细胞瘤-12

【病例】股骨远端动脉瘤样骨囊肿ABC VS 软骨母细胞瘤-13

【病例】股骨远端动脉瘤样骨囊肿ABC VS 软骨母细胞瘤-14

【病例】股骨远端动脉瘤样骨囊肿ABC VS 软骨母细胞瘤-15

【病例】股骨远端动脉瘤样骨囊肿ABC VS 软骨母细胞瘤-16

【病例】股骨远端动脉瘤样骨囊肿ABC VS 软骨母细胞瘤-17

【病例】股骨远端动脉瘤样骨囊肿ABC VS 软骨母细胞瘤-18

【病例】股骨远端动脉瘤样骨囊肿ABC VS 软骨母细胞瘤-19

精彩图片

热门精选