膝关节出现“FBI征”,要小心合并骨折
发布时间:2022-10-20
发布时间:2022-10-20
FBI征——关节积脂血症
FBI征
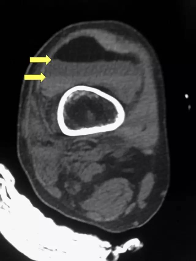
脂—液平面征(FBI;fat/blood/interface)见于关节积脂血症。

关节积脂血症
关节积脂血症又称关节积脂血病、脂肪血性关节炎等,多见于严重的骨关节外伤,尤其是关节内骨折,以四肢大关节多见,最常见于膝关节和肩关节,其次是髋关节和踝关节。

病理基础
发生关节囊内骨折后,从骨髓腔或撕裂的骨膜处溢出的脂肪组织和血液同时进入关节腔内。由于血液密度相对较大,沉于关节液之下,而脂肪密度相对小,漂浮于关节液之上,从而形成分层现象,即影像上所说的脂肪-血液界面征(fat-blood interface sign,FBI sign)。血液中的气体也可以释放出来,在关节囊内形成低密度气泡,此即关节积气脂血病(pneumolipohemarthrosis)。
影像表现
脂肪-血液界面征是关节积脂血症的基本影像征象,X线、CT、MRI均可见到。
X线片表现X线片上脂肪-血液界面征的发现率较低,因为这与投照体位有着密切的联系。膝关节只有采取水平投照时、肩关节只有在立位前后位或后前位才容易发现脂肪-血液界面征。此外,X线上经常可以见到靠近关节处的骨折或骨折并脱位、周围软组织肿胀等伴发征象。

CT表现:CT可以清楚地显示关节腔内的脂肪和血液及两者形成的液-液平面,有时还可以出现3层,即上层为脂肪,中层为关节液,下层为血液。关节囊内的脂肪CT值约为-130~-100 HU,而关节囊内的血液CT值约为10~30 HU。有时出血和关节腔积液分辨不清,常被笼统地认为关节腔积液。

MRI表现:MRI是显示关节积脂血症的最佳影像方法。在MRI上,脂肪呈短T1、稍长T2(高T1、稍高T2)信号,血液为较稍长T1、稍长T2(稍低T1、稍高T2信号)信号,两者之间常可见到明显的液液界面。有时中间还可以显示长T1长T2(低T1高T2)信号的关节液层。在不同时期血液中的成分不同,MRI可以呈现为不同的信号。随着患者体位的改变,关节腔内的液一液平面亦会发生相应的改变,但高信号的脂肪层始终位于最上方。
参考文献:骨关节影像学(第2版).王云钊等.科学出版社,2010.7
下一篇:跟骨前突骨折