儿童骨骺损伤/骨折分型
发布时间:2022-10-20
-
Poland于1898年最早提出儿童骨骺损伤的分型。
-
Salter-Harris于1963年将儿童骨骺损伤分为五型, 被广泛接受。
-
Mercer Rang于1994年在此分型的基础上又增加了第Ⅵ型。
-
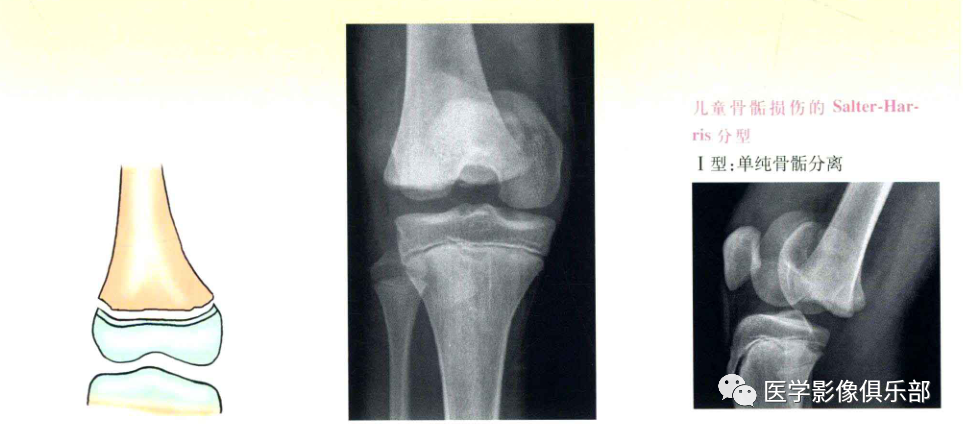
Salter-Harris分型

-
-
Ⅰ型:单纯骨骺分离;
-
Ⅱ型:骨骺分离伴干骺端骨折;
-
Ⅲ型:骨骺骨折;
-
Ⅳ型:骨骺和干骺端骨折;
-
Ⅴ型:骨骺板挤压性损伤。
-
Ⅵ型:骨膜或软骨环(骺板周围环)损伤,较少见。
-
Ⅰ、Ⅱ型损伤,骨折线不经过骨骺,通常不造成生长发育障碍,Ⅲ、Ⅳ型累及骨骺,可造成生长阻滞和进行性畸形。
-
Mercer Rang(1994年)在此分型的基础上又增加了第Ⅵ型。







-
-
Ⅰ型:单纯骨骺分离;
-
Ⅱ型:骨骺分离伴干骺端骨折;
-
Ⅲ型:骨骺骨折;
-
Ⅳ型:骨骺骨折伴干骺端骨骺分离。


-
-
Ⅰ型:骨骺分离伴干骺端骨折;
-
Ⅱ型:骨骺骨折;
-
Ⅲ型:骨骺和干骺端骨折。

-
Ogden分型
-
1981年Ogden把骨骺损伤分为9型,16种亚型,共20种分型。
-
前五型对应Salter-harris的五型。
-
Ⅵ型:骺板周围部分损伤, 特别是Ranvier区的损伤, 此型损伤主要是皮肤和皮下组织撕脱的瞬间创伤所致;
-
Ⅶ型:骨骺骨折(胫骨嵴、内外髁撕脱骨折);
-
Ⅷ型:干骺端生长和再塑形结构的损伤;
-
Ⅸ型:骨干骨折→骨膜损伤→生长塑形障碍。



-
-
Ⅰ型:干骺端横形骨折,骨折线延伸至骺板,但无沿骺板的骨折且骨骺无移位;
-
Ⅱ型:部分骨骺分离伴干骺端骨折;
-
Ⅲ型:单纯骨骺分离;
-
Ⅳ型:骨骺骨折累及骺板;
-
V型:骨骺和干骺端骨折,常累及关节软骨;
-
Ⅵ型:部分骺板缺失,仅见于开放性骨折。
-
此种分型有良好的解剖基础,连续描述骨骺损伤由轻到重,从不明显损伤→侵犯骨骺→骨骺骨折→生发层受累→骨骺部分缺失;对预后的判断提供一定帮助,从Ⅰ型到Ⅳ型手术治疗的几率逐渐加大。

-
Weber和Brunner分型
-
A型:相当于Salter-Harris分型的Ⅰ、Ⅱ型;
-
B型:相当于Salter-Harris分型的Ⅲ、Ⅳ型。
-
儿童长管状骨骨折Jones分型(1998年)

-
-
-
Ⅰ型:弯曲型骨折。弯曲应力导致骨干出现凹侧压缩性和凸侧张力性显微骨折。但张力侧骨折线局限,未扩散至皮质,去除外力后遗留骨干的弯曲变形。
-
Ⅱ型:翘棱骨折。多为干骺端与骨干交角处的压缩性骨折。
-
Ⅲ型:青枝骨折。骨质受弯曲应力作用,张力侧骨折,凹侧骨质弯曲变形。
-
Ⅳ型:完全骨折。骨皮质完全断裂。根据骨折线情况可分为螺旋骨折、斜形骨折和横形骨折。
-
Ⅴ型:骨骺骨折。骨骺骨折常同时影响骺板。
文章摘自《临床骨折分型》