发布时间:2022-10-20
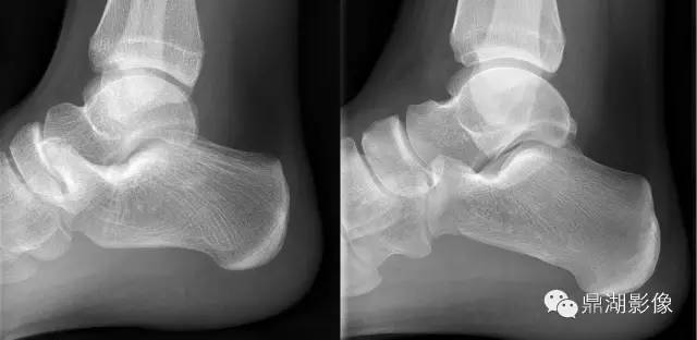
“食蚁兽鼻征”即在足侧位片跟骨前突过长,超过跟骰关节面水平,此征象对诊断跟舟骨桥有很大的帮助,于1987年首先由Oestreich等人提出来。有报道称“反食蚁兽鼻征”,即舟骨向后外侧伸长突出,诊断跟舟骨桥的特异性达 100%
跟舟骨桥多数为非骨性骨桥,仅10%患者为骨性骨桥。
左图为食蚁兽鼻征,右图为正常
上一篇:评估围手术期脊柱:除了退行性椎间盘疾病和金属植入物的并发症外
下一篇:膝关节腱鞘巨细胞瘤
猜你喜欢
【病例】锁骨结核一例CT及MR影像表现
【病例】腰椎结核1例CT影像表现
【病例】左大腿血管外皮肉瘤1例MR影像表现
骨髓的转化与逆转化
神经源性肿瘤(神经鞘膜来源)影像表现
膝关节MRI扫描中的一系列问题