环枢椎关节半脱位
发布时间:2022-10-20
发布时间:2022-10-20
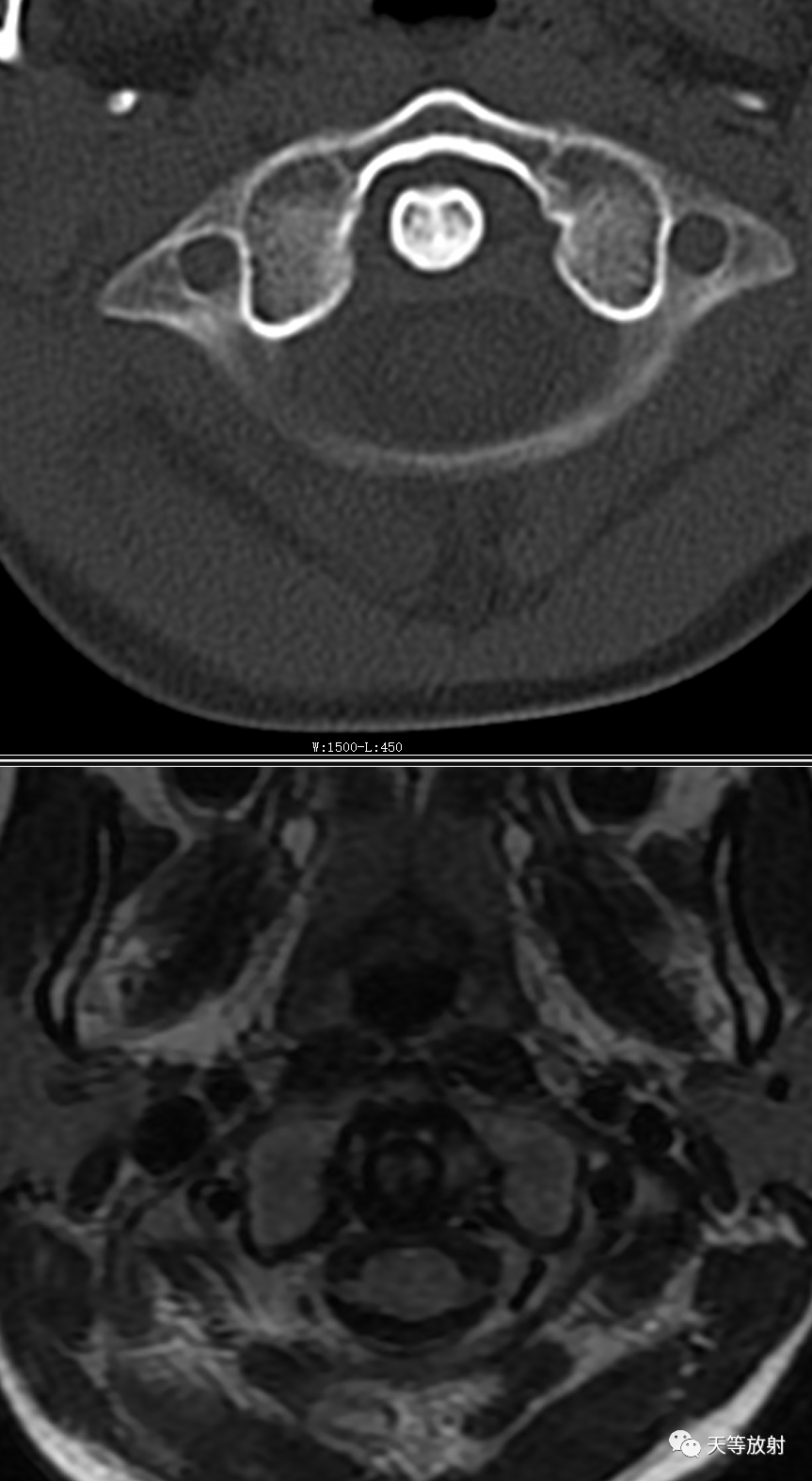
儿童,影像学上显示枢椎与环椎侧块间隙不等宽,呈左宽右窄。MRI环枢关节周围软组织无异常信号影。诊断:单纯性环枢关节半脱位。

环枢关节稳定性主要靠C1-2副韧带、翼状韧带和关节囊。
病变机制:
郝定均、David T等均认为: 系统性病变( 类风湿性关节炎,强直性脊柱炎)或局限性炎性病变( 结核) 减弱了横韧带并侵蚀齿突,引起轻微损伤后的脱位。
诊断标准:
侧位环齿前间距不超过 3mm( 儿童为 4mm) ,超过即为脱位。关节呈明显“V”形变者可考虑横韧带上部撕裂; 若环齿前间距在 5-10mm,则提示其他韧带亦有损伤; 10-12mm 说明累及局部韧带。
侧位环齿间距的测量是诊断环枢椎前 -后脱位最有效和最简便的方法。
程度显著者可见环椎后结节前缘与其下诸椎棘突前缘的弧线不连续; 后韧带受累使环椎后弓与枢椎棘突距离加大张开及下颈椎代偿性前突畸形。正位可见环枢关节间隙消失,重叠。
环枢椎侧脱位:
环椎侧移超过 1.5mm( 旋转时为 2. 5mm) 。

图 1 环枕和环枢关节脱位,3. 5 岁儿童侧位 X 线片,显示颅基底相对 C1 向头侧脱位,且 C1 相对 C2 前脱位。环枕关节间隙增宽。枕髁( 白 c) 从枕窝横移位。C1相对 C2 前移动致环齿前间隙( AADI) 增宽 > 4mm。
图 2 CT 横断面图像示: 环椎前弓向前错位,造成环枢椎脱位。
病例2:男性,7岁。外伤。

上图:侧位环齿前间距 4mm。

上图:冠状位显示寰枢关节间隙不等宽,左宽右窄。

上图:斜颈。

参考文献:单纯性环枢关节半脱位的影像学诊断《现代医用影像学》2013 年 6 月第 22 卷第 3 期。