颈椎脊柱软骨肉瘤1例CT及MR影像
发布时间:2022-10-20
发布时间:2022-10-20
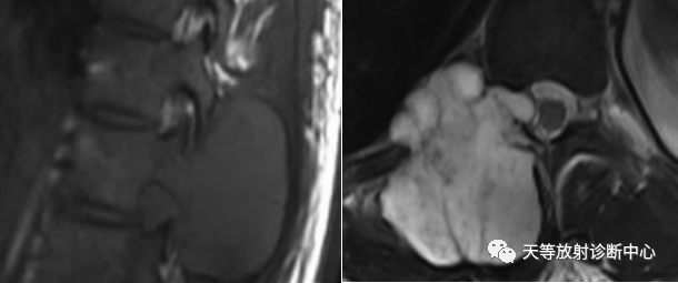
男性,54岁。男性,54岁。

椎体骨质破坏并见大量软骨基质形成




软组织窗骨质破坏呈溶骨性、外生性生长,内部见大量钙化影。



骨质破坏呈溶骨性,大量钙化,肿块向外生长,局部突入椎管内。


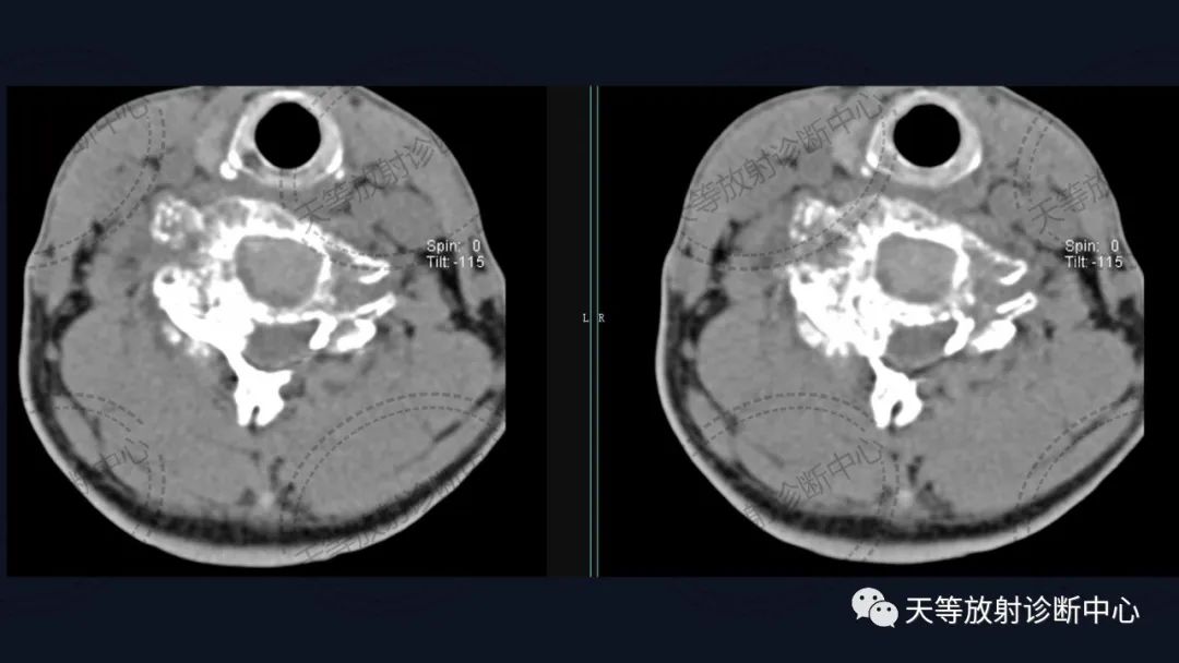
术后内固定支架



肿瘤复发,椎旁分叶状软组织肿块,内部信号不均,混杂信号,高低信号不等,内见线状小叶间隔。

DWI信号较高,内部钙化灶呈散在泥沙样低信号灶。
影像学特点:
1、骨破坏区位于椎体及附件区,溶骨性骨质破坏;
2、外生生长并形成软组织肿块
3、破坏与软组织不成比例,钙化出现多,钙化呈泥沙样,点状、块状、不规则型 ;
4、局部破入椎管内。
5、可见骨硬化。
诊断软骨肉瘤复发。
软骨肉瘤
一、概述
软骨肉瘤是一种伴软骨分化的恶性肿瘤,是继骨肉瘤、尤文肉瘤之后第三常见的原发恶性肿瘤,主要发生于四肢及扁骨,发生于脊柱的软骨肉瘤约占5%[1]。肿瘤可位于脊柱、脊柱旁或椎管内,特征性钙化对其诊断有提示作用。
二、病理分级
病理学根据细胞异型性、分化程度及侵犯状况等分为低级别和中高级别软骨肉瘤 [2] 。研究已经证实,软骨肉瘤分级在预测生物学行为和预后方面有积极作用。低级别软骨肉瘤生长缓慢,很少发生转移,5年生存率可达90%;中、高级别软骨肉瘤5年生存率为40~50%。不同部位软骨肉瘤生物学特点也存在差异,位于骨盆等中轴骨的软骨肉瘤一般侵袭性较强,复发率高[3]。

![]()
三、影像学表现
不同级别软骨肉瘤由于临床分期和病理分级不同,表现出不同的影像学特征 [4] 。位于骨盆和长骨干骺段或骨干多表现为膨胀性骨质破坏,边缘可有轻度骨质硬化,骨皮质变薄、中断,骨膜反应少见。不同病例软组织肿块大小差异大,部分病灶可见骨旁或骨外软组织密度肿块形成,其内常见钙化或骨化高密度影,钙化可位于软骨小叶内和(或)分隔上,可多可少。MR一般呈长T1、长T2信号,尤其T2WI呈明显高信号,有一定的特征性。MR显示软骨小叶及其分隔有明显优势。肿瘤与邻近正常骨界面呈扇贝或花边状压迹,其病理基础与软骨小叶膨胀性生长有关。增强后软骨肉瘤周边和分隔一般明显强化,呈弓环状强化。肿瘤性粘液较明显时,软骨肉瘤小叶区呈大片状粘液湖样无强化区,彼此可融合连通,类似与恶性肿瘤中心坏死无强化区 [5-6] 。
四、来源不同部位软骨肉瘤
1、来源脊椎的软骨肉瘤
外生性生长+椎旁软组织肿块+骨破坏并骨钙化。
1)骨破坏累及椎体及附件,外生性生长,形式为溶骨性骨破坏、骨质侵蚀,明显侵袭性;
2)破坏区伴有钙化,不定型,表现为泥沙样、斑点状、点状或条状等。
3)MRI信号混杂,钙化呈低信号,软骨粘液、软骨小叶呈高信号影。
术后容易复发。
4)伴或不伴椎体水肿。

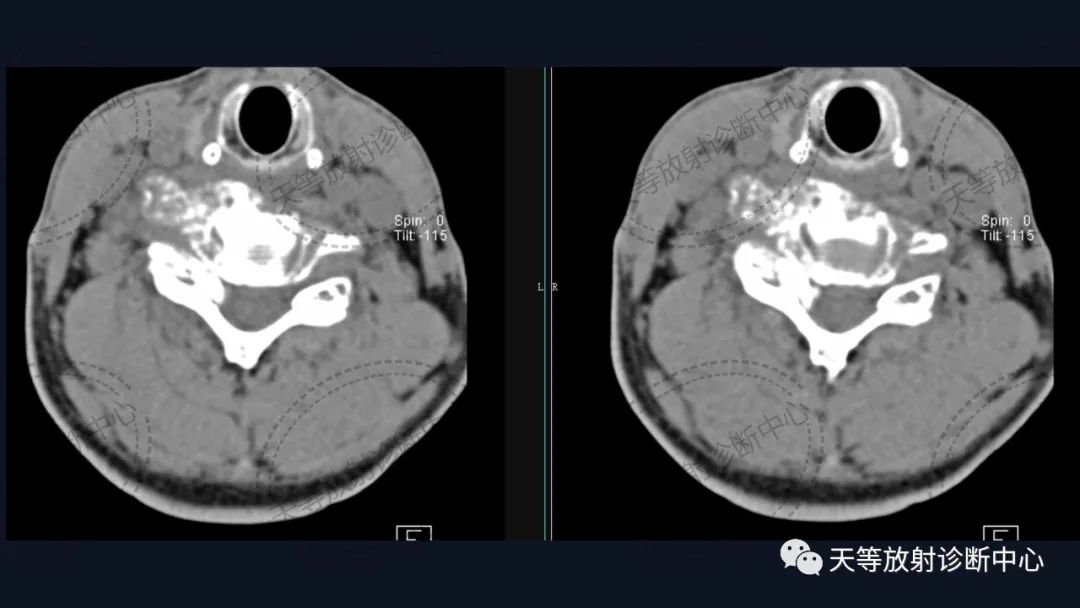
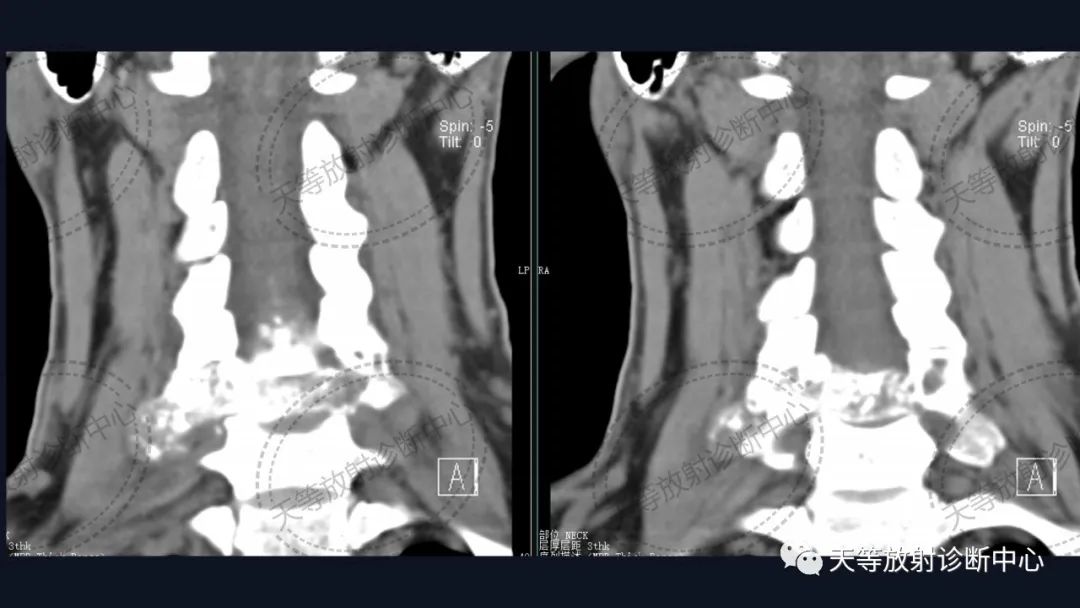
病例1:上图:软骨肉瘤。CT显示椎管及其附件骨质溶骨性破坏,椎体周围软组织肿块并含大量钙化影,钙化呈斑片状、斑点状不定型。整个肿块外生性生长为主,局部突入椎管内。

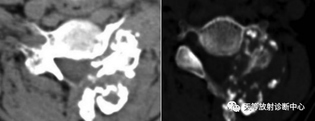
上图:同一病例,MRI显示肿块内信号混杂,T1WI以低信号为主含少量高信号影。增强扫描病灶内呈斑片状强化。

病例2:T11-12右侧椎旁软骨肉瘤。软组织肿块向椎体外生长,累及附件,软骨基质于T2WI序列上呈明显高信号影,内部见软骨小叶分隔,低信号影。病灶侵犯胸膜、竖脊肌,局部侵入椎管内压迫硬膜囊。
注:病例1,2来源:张立华,袁慧书.脊柱软骨源性肿瘤的影像分析及鉴别[J].临床放射学杂志.2020,39(7):1379-1383.
2、来源头颈部软骨肉瘤

病例3:右下颌骨软骨肉瘤。本例 CT表现主要为骨质破坏、斑点状钙化及软组织肿块。
软骨肉瘤CT示病灶主体为软组织肿块,可合并内部钙化及邻近骨质破坏,病灶内钙化是软骨类肿瘤的相对特征性表现。
注:病例3来源:常佩佩,车艺玮,蒋玉涵.等.CT 诊断下颌骨软骨肉瘤1例[1].中国医学影像技术,2019.35(8):1270-1271.
3、四肢骨软骨肉瘤

病例4:软骨肉瘤。左胫骨中上段局限性骨质破坏影,CT 横断平扫(骨窗)显示病变骨皮质的破坏(白箭头)、骨内软骨基质成分(白箭),CT软组织窗能显示骨内软骨成分的钙化(白箭)、以及骨外的软组织肿瘤,MRI显示骨皮质破坏的情况,以及骨外软组织肿瘤。
注:病例4来源:冯 刚,陈 雷,何 晓.等。去分化软骨肉瘤 45 例 DR、CT、MRI 影像特征分析[J].现代医用影像学.2020,29(3):428-430.

病例5:患者男,41岁,左侧肩胛骨软骨肉瘤。左侧肩胛骨骨质破坏伴软组织肿块,轴位T1WI示软组织肿块呈等信号,信号欠均;轴位T2WI及FS示软组织肿块呈明显高信号,其内见低信号间隔,肿块边界清晰;增强扫描小叶间隔明显强化,呈环状、弧状或不规则强化,环状强化主要位于病变外周区域,环状强化完整或不完整,不完整强化环缺口处多位于深面。

病例6:患者男,31岁,右侧肋骨软骨肉瘤。轴位T2WI软组织肿块呈明显高信号,小叶间隔呈低信号,中心钙化成分呈低信号,肿块边界清晰。冠位增强扫描软组织肿块呈环状及不规则强化,强化环多不完整,位于外周区域。
注:病例5、6来源:韩长年.软骨肉瘤的MRI强化特点[J].磁共振成像.2020.11(8):675-677.
小结:
软骨肉瘤表现外生性生长+软组织肿块+骨破坏并骨钙化。CT显示瘤内钙化较MRI有优势,软骨肉瘤的钙化不定型,对诊断有一定的价值,磁共振能够显示软骨肉瘤软骨小叶及其间隔的信号特点,尤其小叶间隔的强化特点,以及软骨基质的压脂高信号影,CT与MRI的联合应用对疾病的诊断与鉴别诊断有重要价值。
参考文献:
[1] MukherjeeD,ChaichanaKL,GokaslanZL,etal.Survivalofpa-tientswithmalignantprimaryosseousspinalneoplasms:resultsfromtheSurveillance,Epidemiology,andEndResults(SEER)databasefrom1973to2003[J].JNeurosurgSpine,2011,14(2): 143-150.
[2]Jo VY,Doyle LA.Refinements in Sarcoma Classification in the Current 2013 World Health Organization Classification of Tumoursof Soft Tissue and Bone[J].Surg Oncol Clin NAm,2016,25(4):621-643.
[3]唐 军. 董江宁.李乃玉.等.CT和MR联合诊断不同级别软骨肉瘤的影像特征对比分析[J].中国医学装备.2019.16(5):43-47.
[4]董军强,李春梅,宦怡,等.原发性软骨肉瘤的影像表现和病理相关性[J].实用放射学杂志,2015(7):1159-1162.
[5]周建功,袁小东,马小龙,等.长骨中心型Ⅰ级软骨肉瘤与内生软骨瘤的影像鉴别诊断[J].中华放射学,2014,48(11):926-929.
[6]冯贻正,郑从宽,王超.长骨内生软骨瘤的影像学分析[J].中国医药导报,2015,12(13):136-139,143.
上一篇:横纹肌溶解症
下一篇:股骨淋巴瘤 VS 股骨转移瘤