软骨类肿瘤主要内容回顾
发布时间:2022-10-20
发布时间:2022-10-20



II.软骨类肿瘤的影像学共性
X线/CT:1.X线透亮的基质
2.扇贝样边缘
3.环状、逗号状或点状、爆米花状钙化
MR:
T2WI高信号的肿瘤软骨被低信号的纤维间隔分隔成不规则的分叶状,其内或边缘夹有更低信号钙化影T1WI:多为不均匀等低混杂信号。增强主要为纤维间隔强化,瘤软骨强化不明显。
III. 各种软骨类肿瘤影像表现
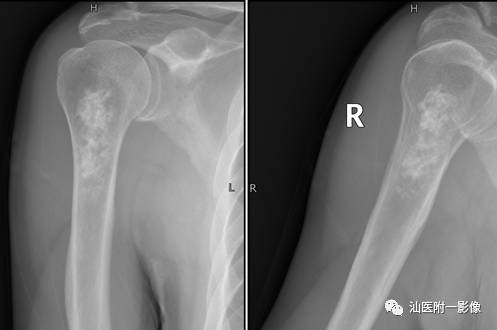
1.骨软骨瘤
•又称骨软骨性外生骨疣,特征为位于骨外表面的有软骨帽的骨性凸起。
•最常见的良性骨肿瘤(20-25%)。10-30岁多见。
•好发于长骨的干骺端(膝关节周围、肱骨近端)。
•病理:骨性基底+软骨帽+纤维包膜。



2.内生软骨瘤
•常见的良性骨肿瘤(10%),手短管状骨最为常见的肿瘤。常见于11-30岁。
•内生软骨瘤(骨中央);骨膜/皮质旁软骨瘤(皮质)
•好发于手短管状骨,长骨干骺端/骨干。
•病理:软骨细胞+软骨基质。




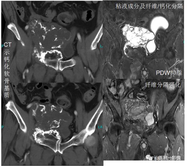
3.骨软骨黏液瘤 (新增)
•是一种罕见的良性肿瘤,有时具有局部侵袭性。
•产生软骨及骨样基质,并伴有明显的黏液样变。
•可发生于任何年龄,部分为先天性。
好发于筛骨、鼻甲及胫骨。

引自:Carney JA, et al Am J SurgPathol,2001,25(2);164-176
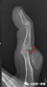
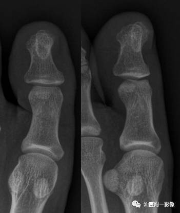
4.甲下外生性骨疣 (新增)
•一种累及远节指(趾)骨末端的骨软骨瘤样增生。
•最常累及踇趾,很少累及其他指(趾)骨。
•发病高峰10~30岁,男性多见。

引自:Redouane O, El Bardouni A. [Nail nodule in athletes: think of subungual exostosis]. Pan Afr Med J. 2015 Apr 23;20:402.

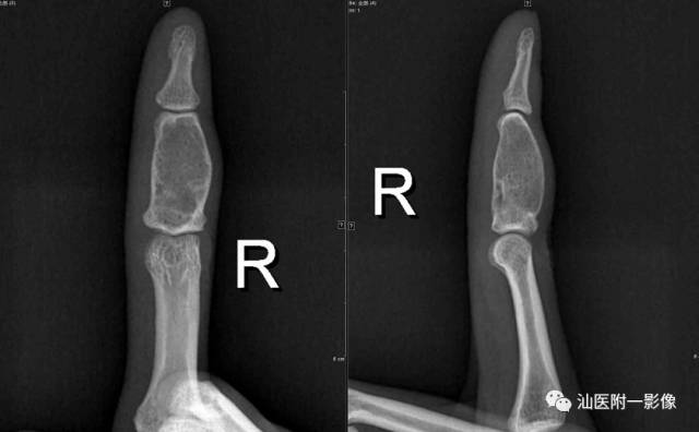
5.奇异性骨旁骨软骨瘤样增生 (新增)
•奇异性骨旁骨软骨瘤样增生(BPOP),又称Nora病(NL),是一种较为少见的良性骨膜外增生性病变。
•最常发生于40岁左右,无性别差异。50%复发。
•主要位于手、足短骨旁(中/近节指/趾骨、掌骨、跖骨居多)。


引自:徐恒天,焦俊,段庆红,等.Nora病的影像与病理对照分析[J].临床放射学杂志,2016,35(10):1608-1611.
中间型软骨肿瘤
1.非典型软骨性肿瘤/软骨肉瘤I级



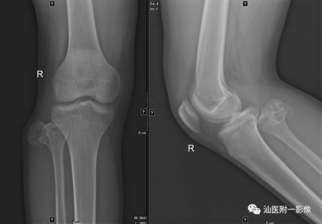
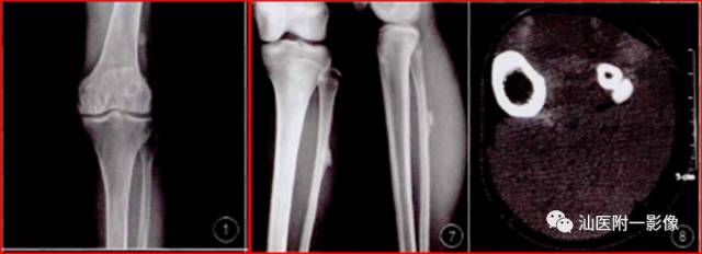
2.软骨母细胞瘤
•软骨母细胞瘤为来源于幼稚软骨细胞(软骨母细胞)。
•常见于青少年,多发生于10~20岁之间。
•多发生于四肢长骨,以胫骨、股骨和肱骨多见。
•软骨母细胞瘤的溶骨区常常开始位于骨骺,倾向于越过骨骺线,向干骺端蔓延。


3.软骨黏液样纤维瘤
•一种少见的以分叶状生长的黏液样和软骨样分化的骨肿瘤,起源于形成软骨的结缔组织,并具有黏液样、软骨样及纤维样特征。
•10-30岁多见,占71%,好发长骨干骺端和骨端
影像学表现(缺乏特异性)

引自:SoniR, Kapoor C, Shah M, Turakhiya J, Golwala P. Chondromyxoid Fibroma: A Rare Case Report and Review of Literature. Cureus. 2016 Sep 23;8(9)

引自:Bagewadi RM, Nerune SM, Hippargi SB. Chondromyxoid Fibroma of Radius: A Case Report. J ClinDiagnRes. 2016 May;10(5):ED01-2
恶性软骨肿瘤




总结


参考文献及资料:
1.Fletcher CD,Bridge JA,Hogendoorn PC,et a1.WHO classiilcation of tumours of soft tissue and bone.Lyon:IARC
2.张景峰,王跃.WHO骨肿瘤分类第四版:解读与比较[J].中华骨科杂志,2015,35(9):975-979.
3.王朝夫,朱雄增.第4版WHO骨肿瘤分类解读[J].中华病理学杂志,2013,42(10):652-654.
方三高,周晓军.解读新版WHO(2013)骨肿瘤分类[J].临床与实验病理学杂志, 2014,30(2):119-122.
4.徐恒天,焦俊,段庆红,等.Nora病的影像与病理对照分析[J].临床放射学杂志, 2016,35(10):1608-1611.
5.宛四海,孟群.甲下外生骨疣1例报告[J].实用放射学杂志,2002,18(2):159-160.
6.刘国清,黄信华,许乙凯.原发性软骨肉瘤的组织病理学与影像学表现的对比研究[J].临床放射学杂志,2007,26(1):80-82.