纵隔精原细胞瘤、非精原细胞恶性生殖细胞肿瘤影像表现
发布时间:2022-10-20
发布时间:2022-10-20
纵隔精原细胞瘤
Mediastinal Seminoma
概述
影像表现:
X线:
CT:
MRI:
PET/CT:前纵隔肿块,FDG明显摄取
鉴别诊断
临床表现

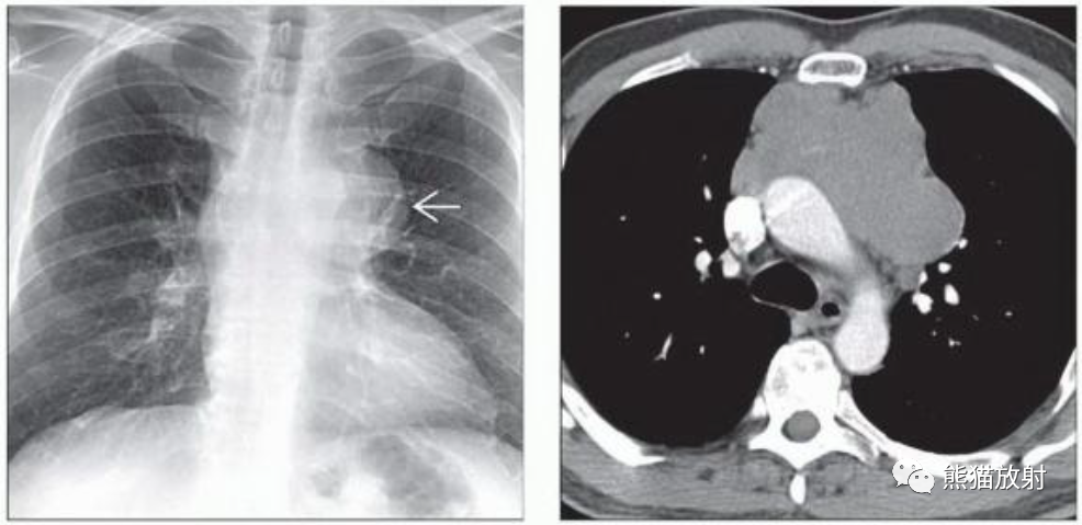
(左)中年男性,胸痛。PA胸片显示左前纵隔分叶状肿块。主动脉弓边缘可见。
(右)同一患者,轴位CECT显示前纵隔分叶状肿块延伸至中线两侧,病变轻微强化。纵隔精原细胞瘤可能类似于纵隔HL和NHL的淋巴结融合。

(左)39岁男性,偶然发现的前纵隔肿块轴位融合PET/CT显示FDG明显摄取。活检诊断为胸腺内精原细胞瘤。
(右)42岁男性,6cm大小的纵隔精原细胞瘤化疗4年后,CECT显示稳定的无强化的纵隔软组织密度灶。随访PET/CT未显示其有代谢活动。纵隔精原细胞瘤化疗或放疗后经常出现残留的软组织肿块。
非精原细胞恶性生殖细胞肿瘤
Nonseminomatous Malignant Germ Cell Neoplasm
概述
X线:
CT:
MRI:大的不均匀强化的前纵隔肿块
鉴别诊断:
临床表现

(左)30岁男性,混合型纵隔恶性生殖细胞肿瘤。PA胸片显示左前纵隔分叶状肿块,另见数个肺结节,符合转移灶。
(右)同一患者,轴位CECT显示左前纵隔不均匀强化的软组织肿块和左后胸膜转移。原发性纵隔恶性生殖细胞瘤是高度侵袭性病变,通常在诊断时已转移。

(左)41岁男性,纵隔卵黄囊瘤。冠状CECT显示前纵隔巨大不均质肿块,心脏移位,心包增厚,心包积液和右肺转移。
(右)31岁男性,轴位CECT显示大的不均匀的纵隔肿块,对肺动脉干有占位效应或侵犯。虽然活检证实为胚胎癌,但脂肪的存在提示混合型恶性生殖细胞瘤。
↓ 内容摘译自:

下一篇:【PPT】先天性支气管闭锁