结核肉芽肿性病变—结核瘤及纤维干酪结节
发布时间:2022-10-20
发布时间:2022-10-20
结核肉芽肿性病变-结核瘤及纤维干酪结节
概念:直径≥2.0cm的圆形纤维干酪灶称为结核球或结核瘤,把直径≤2.0cm的病称为结核结节。
肉眼:,结核球多为圆形或卵圆形,周围有清楚的纤维包膜,厚度1.0mm左右,直径在2.0-4.0cm者居多,单发多见。结核球内容物多为凝固状干酪坏死,色黄白,软硬不一,呈均质状、结节状或
同心层状分布,有时见钙化沉积。周围常有散在纤维干酪灶,引流支气管常有结核性支气管内膜炎或溃疡性支气管结核。
镜下:结核球包膜内层为结核性肉芽组织,外层为透明性变的纤维结组织。
一、结核球可分4种类型:
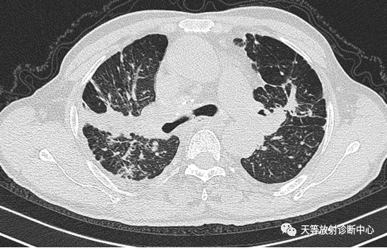
①肺炎型,浸润性肺结核或局限性干酪性肺炎,周围围绕薄层结核性肉芽组织及纤维组织包膜;

▲右肺大片状实变影,肺炎型肉芽肿组织,肺内播散病灶。

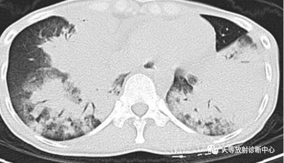
▲两肺大片状实变影,肺炎型结核;
②肉芽肿型,数个结核性肉芽肿干酪坏死后融合或单个纤维干酪反复多次扩大而成,切面呈同心圆形;

▲结核球型:具有尖角及刀切改变。
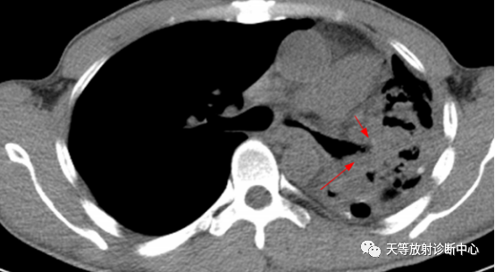
③阻塞空洞型,由阻塞空洞充满干酪性物质形成;

▲阻塞空洞型,由阻塞空洞充满干酪性物质形成,近端见支气管狭窄;
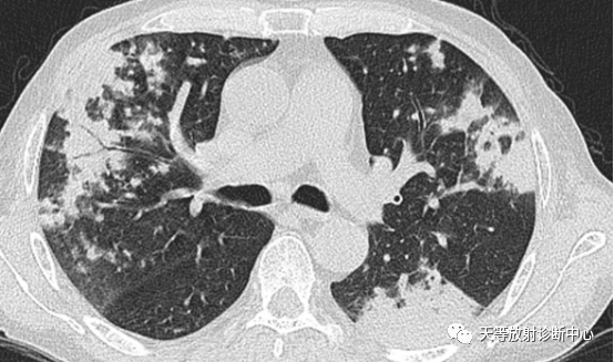
④支气管型,由较大支气管结核病变向周围扩展而成。

▲支气管型,沿支气管血管束向肺内弥漫性分布,呈斑片状、片状及小结节状分布,可见树芽征。
结核结节是指局限性干酪化的结核病灶,直径为0.2cm至2.0cm,大多数都有包膜,少数病灶包膜不完整,包膜缺少部分与肺组织分界不清楚,它们有的是纤维样结核,有的是纤维干酪样结核。结核球和结核结节的病理结构无本质区别,仅是大小不同而已。
二、影像学表现:
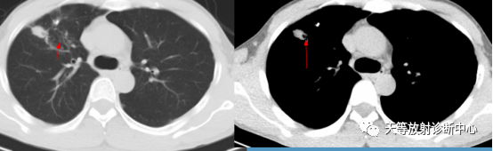
CT平扫:结核瘤通常为直径≥2cm的单发或多发球形高密度影,多呈圆形、类圆形;亦圆有呈轻度分叶状者,边缘多清楚规整,少数模糊,密度多不均匀,多数可见钙化;有空洞者不少见,空洞为边缘性,呈裂状或新月状,结核瘤周围,一般在外缘可见毛状或胸膜粘连带,大多数病例可见卫星灶,有的病例可见引流支气管。增强扫描显示结核瘤或结节具有特征性表现。

▲结核结节的近端空洞及支气管引流方向。
▲结核结节钙化灶。
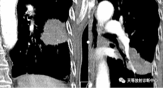
CT增强扫描:有几种强化类型:
①无任何强化型,其病理基础为干酪样坏死处周围的包膜无肉芽组织,为薄的胶原纤维包裹干酪灶;

▲结核结节无强化型,偏心侧空洞。

▲结核结节无强化型。
②厚包膜强化型:病变显示包膜有较厚的新鲜肉芽组织,与病灶中心的干酪坏死灶交界不规则;
③菲薄的包膜强化型:病灶包膜的肉芽组织较薄,与病中心的干坏死灶交界线清楚。
三、鉴别诊断:
结核瘤的鉴诊断主要是周围型小肺癌。肺癌结节形态不规则,边缘毛糙,有分叶且较深,多有毛刺征或棘状突起或锯齿状改变;常有支气管充气征与空泡征,钙化少见;常伴有胸膜凹陷征。而结核瘤边缘多光整,病灶内有边缘性空洞和小圆形液化坏死所致的低密度,常见钙化,周围多有卫星灶。两者鉴别一般无困难。如鉴别有困难,可做增强动扫描,结核显示无强化或包膜型强化,肺癌则显示均匀强化,强化幅度大。

▲周围型肺癌:肿块类圆形,生长较快,具有向肺门方向生长趋势(与支气管匍匐征类似)
明显强化,局部包绕侵犯血管。
文献参考:潘纪戍 张国桢 蔡祖龙 《胸部CT鉴别诊断学》