【病例】颅内炎性肉芽肿并脓肿形成-成熟性囊性畸胎瘤

发布时间:2022-10-20

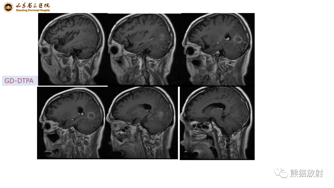
【病例】炎性肉芽肿并脓肿形成 & 成熟性囊性畸胎瘤-1

【病例】炎性肉芽肿并脓肿形成 & 成熟性囊性畸胎瘤-2

【病例】炎性肉芽肿并脓肿形成 & 成熟性囊性畸胎瘤-3

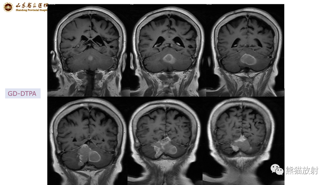
【病例】炎性肉芽肿并脓肿形成 & 成熟性囊性畸胎瘤-4

【病例】炎性肉芽肿并脓肿形成 & 成熟性囊性畸胎瘤-5

【病例】炎性肉芽肿并脓肿形成 & 成熟性囊性畸胎瘤-6

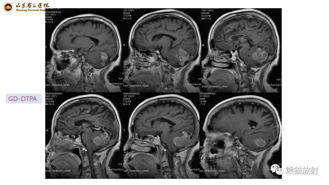
【病例】炎性肉芽肿并脓肿形成 & 成熟性囊性畸胎瘤-7

【病例】炎性肉芽肿并脓肿形成 & 成熟性囊性畸胎瘤-8

【病例】炎性肉芽肿并脓肿形成 & 成熟性囊性畸胎瘤-9

【病例】炎性肉芽肿并脓肿形成 & 成熟性囊性畸胎瘤-5

【病例】炎性肉芽肿并脓肿形成 & 成熟性囊性畸胎瘤-10

【病例】炎性肉芽肿并脓肿形成 & 成熟性囊性畸胎瘤-11

【病例】炎性肉芽肿并脓肿形成 & 成熟性囊性畸胎瘤-12

【病例】炎性肉芽肿并脓肿形成 & 成熟性囊性畸胎瘤-13

【病例】炎性肉芽肿并脓肿形成 & 成熟性囊性畸胎瘤-14

【病例】炎性肉芽肿并脓肿形成 & 成熟性囊性畸胎瘤-15
【病例】炎性肉芽肿并脓肿形成 & 成熟性囊性畸胎瘤-16

【病例】炎性肉芽肿并脓肿形成 & 成熟性囊性畸胎瘤-17

【病例】炎性肉芽肿并脓肿形成 & 成熟性囊性畸胎瘤-18

【病例】炎性肉芽肿并脓肿形成 & 成熟性囊性畸胎瘤-19

精彩图片

热门精选