低血糖性脑病1例CT及MR影像
发布时间:2022-10-16
发布时间:2022-10-16
CASE M 9月
该病人表现为急性脑病伴精神运动障碍。检查发现血糖下降-低血糖,伴有有机酸血症、酮症尿症和高氨血症。






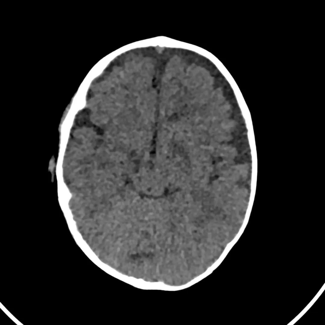
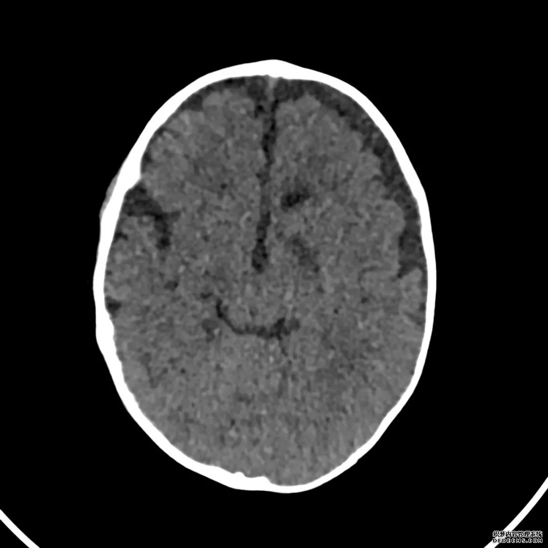
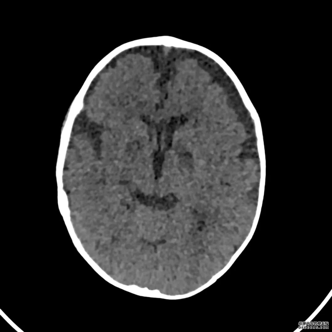
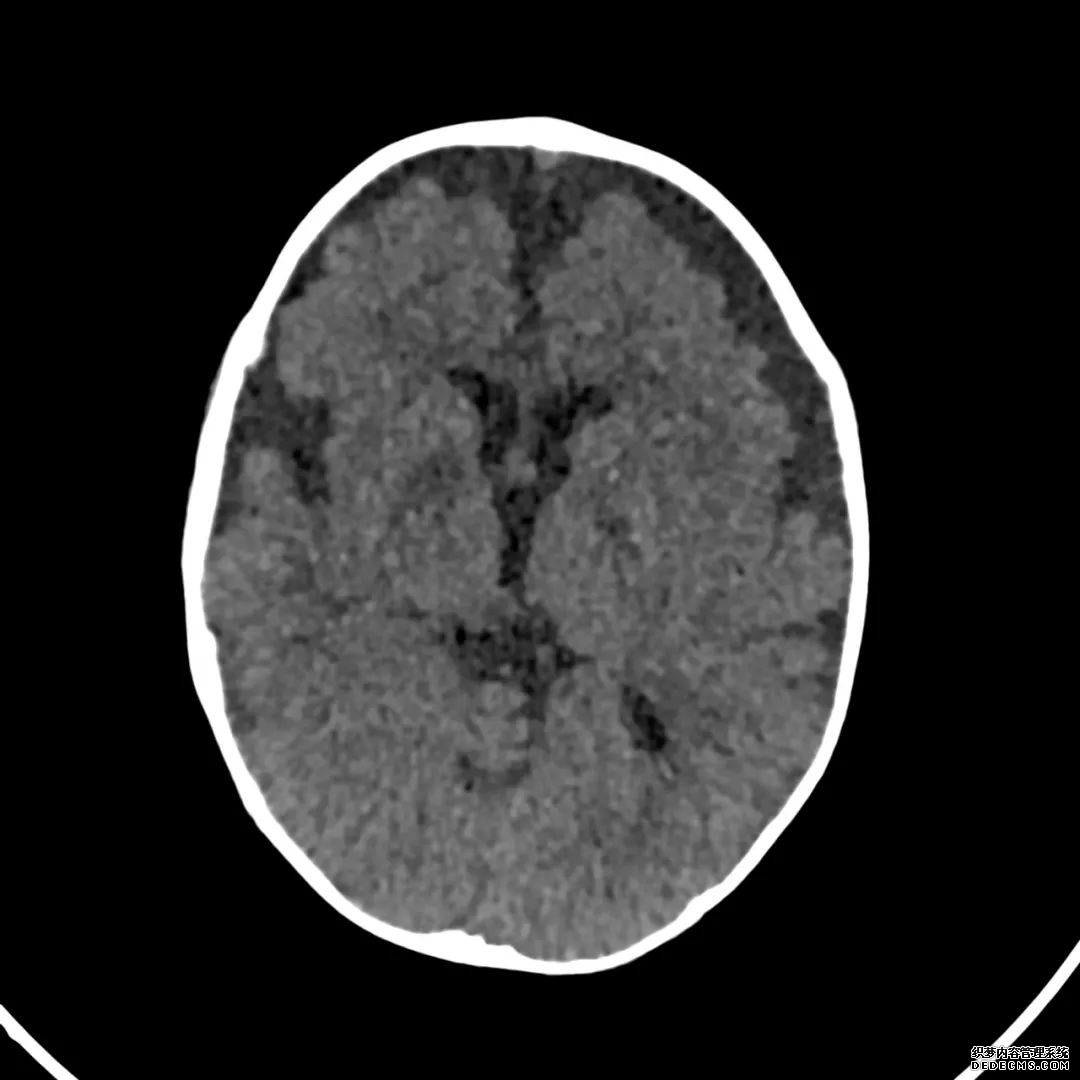
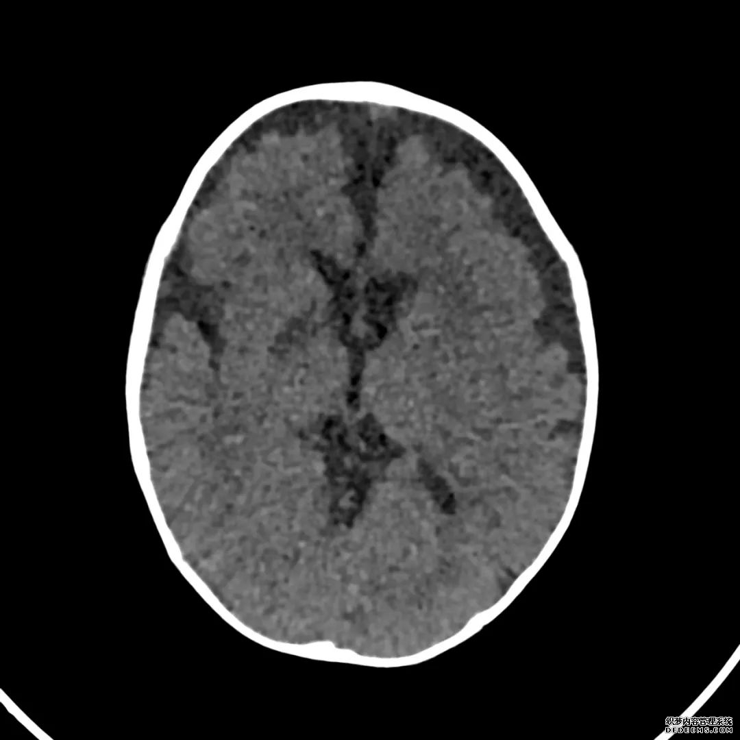
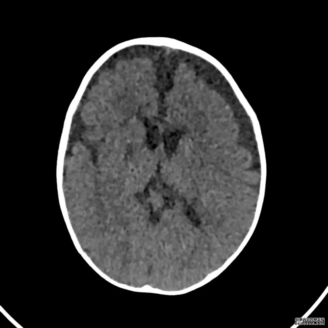
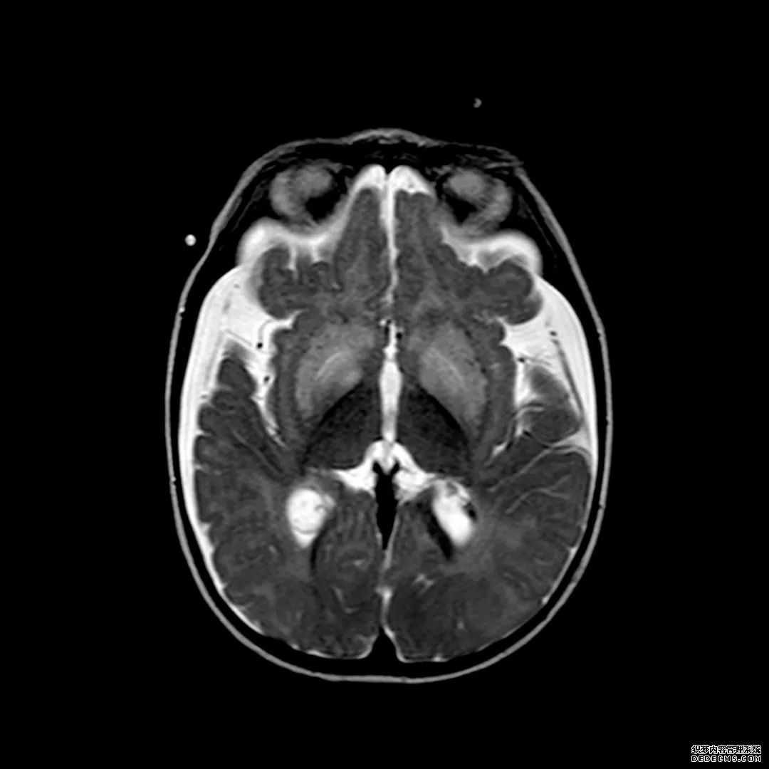
脑部CT检查显示扁豆状核内有略对称的低密度区。









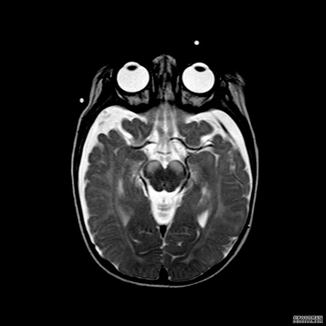
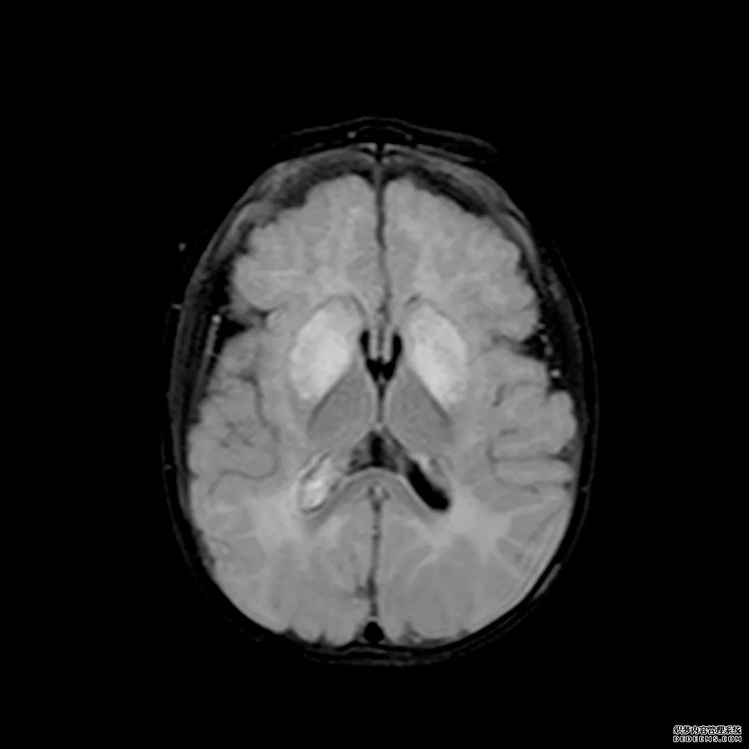
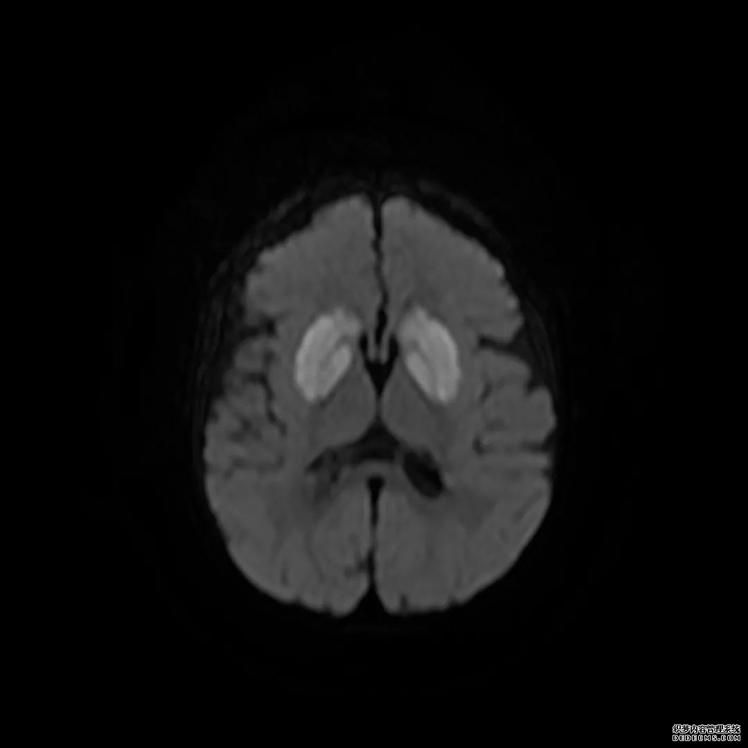
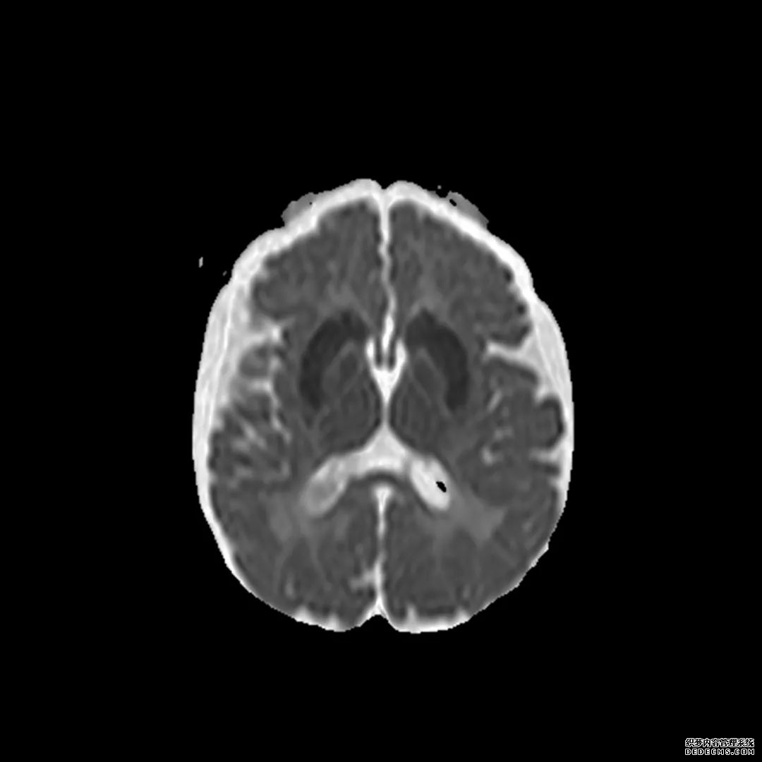
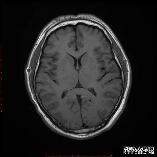
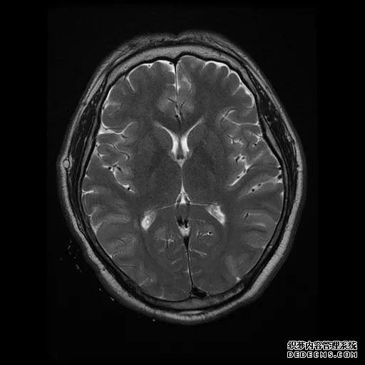
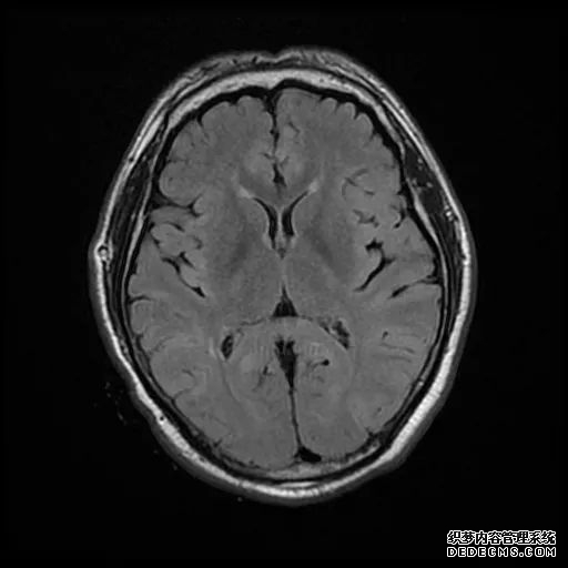
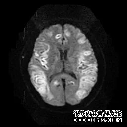
脑MRI显示尾状核、扁豆状核和脑梗头部T2/FLAIR呈双侧对称异常高信号。扩散限制涉及这些区域,其特征是扩散加权DWI(B-1000)上的高强度,ADC图上相应的减弱强度。
印象:通过将这些成像模式与临床和实验室检查结果相结合,就有可能得出低血糖性脑病。
案例讨论
低血糖性脑病是一种代谢性脑病,它是由脑细胞对葡萄糖的供应和使用之间的不平衡引起的。脑MRI,尤其是DWI是诊断和预测该病预后的重要工具。
这个病例说明了低血糖脑病,有典型的病史和血液指标,结合MRI表现,DWI为诊断提供了最好的线索。
影像影响内囊后肢、大脑皮层(特别是枕叶和岛叶)、海马和基底节区,常是双边对称性的。
CASE 2 M45








