【病例】胶质母细胞瘤1例CT及MR影像表现
发布时间:2022-10-24
发布时间:2022-10-24
胶质母细胞瘤是一种生长迅速的恶性星形细胞瘤,属于 WHO IV 级,预后差,易与淋巴瘤等混淆,现结合印第安纳大学的 Kim 医生在 Auntminnie 上的病例来对该病进行介绍。
病史
男性,精神状态改变。
影像学检查

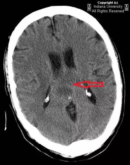
图 1 平扫 CT,病变累及胼胝体压部(红色箭头),密度不均,向两侧扩展,压迫双侧脑室

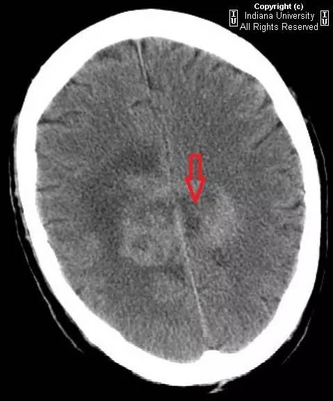
图 2 平扫 CT,病变蔓延进入双侧半卵圆中心(红色箭头),右侧明显

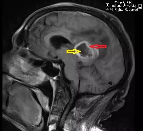
图 3 增强 MR 矢状位,病灶成周边强化(红色箭头),中央低信号表明有坏死性改变(黄色箭头)

图 4 增强 MR 矢状位,病灶成周边强化(红色箭头),中央低信号表明有坏死性改变(黄色箭头)
可见一中心位于胼胝体压部的占位性病变,密度不均,中心为低密度,周围环状水肿。推压双侧脑室。右侧侧脑室室管膜极有可能受累。占位蔓延进入双侧半卵圆中心,右侧明显。MR 上,病灶成周边强化,中央无强化低信号表明有坏死性改变。
诊断
蝴蝶状胶质瘤(Ⅳ级星形细胞瘤)
鉴别诊断
淋巴瘤,多发性硬化。
讨论
胶质母细胞瘤(IV 级星形细胞瘤)
胶质母细胞瘤是一种生长迅速的恶性星形细胞瘤,特点是合并有坏死和新生血管形成。肿瘤位于皮质下,成浸润性生长,常侵犯几个脑叶,并侵犯深部结构,还可经胼胝体波及对侧大脑半球,形成胼胝体「蝴蝶状脑胶质瘤」。还可侵犯前联合和后联合。累积脑膜少见,通常为单发,多发罕见。
幕上白质最为常见,发生部位以额叶最多见,其他依次为颞叶/顶叶,少数可见于枕叶/丘脑和基底节等。胶质母细胞瘤可原发于脑实质内,亦可呈继发性。继发性胶质母细胞瘤多数由间变性星形细胞瘤进一步恶变而来,少部分可由混合性胶质瘤、少枝胶质瘤或室管膜瘤演变而成。
胶质母细胞瘤是星形细胞肿瘤中恶性程度最高的胶质瘤,属 WHO Ⅳ级。
影像学上表现为厚壁、不规则、周边强化的肿瘤组织包绕中央坏死区。可见占位效应和瘤周水肿\肿瘤浸润。出血少见。肿瘤范围远大于 MR 上异常信号范围。
发病高峰为 45~70 岁,但任何年龄均可发病。预后差。存活时间为 9~12 个月。
下一篇:颌下腺腺样囊腺癌1例CT影像