DWI序列脑干、内囊后肢高信号纤维束解析
发布时间:2022-10-24
发布时间:2022-10-24

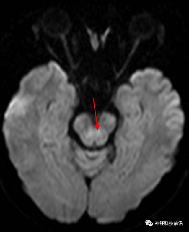
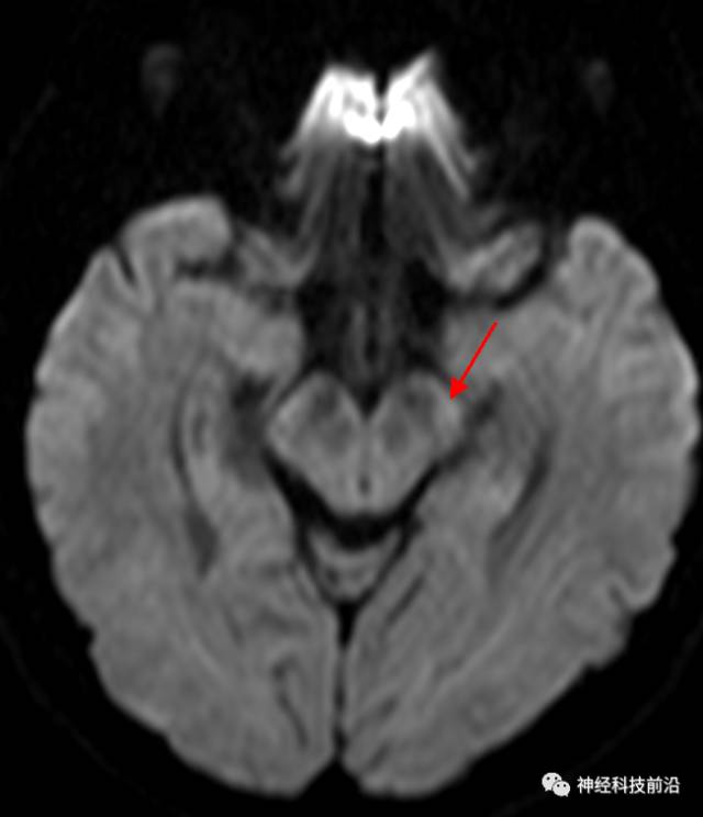
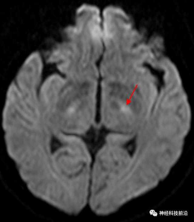
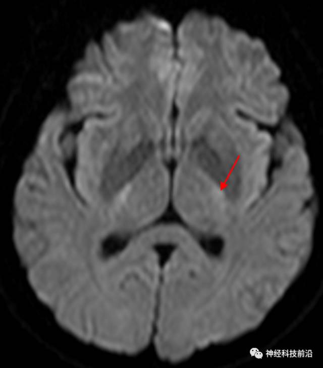
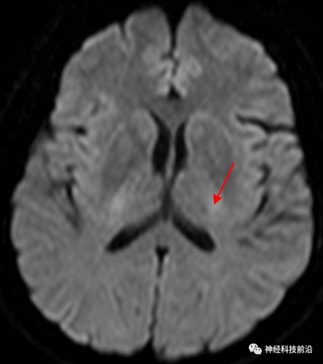
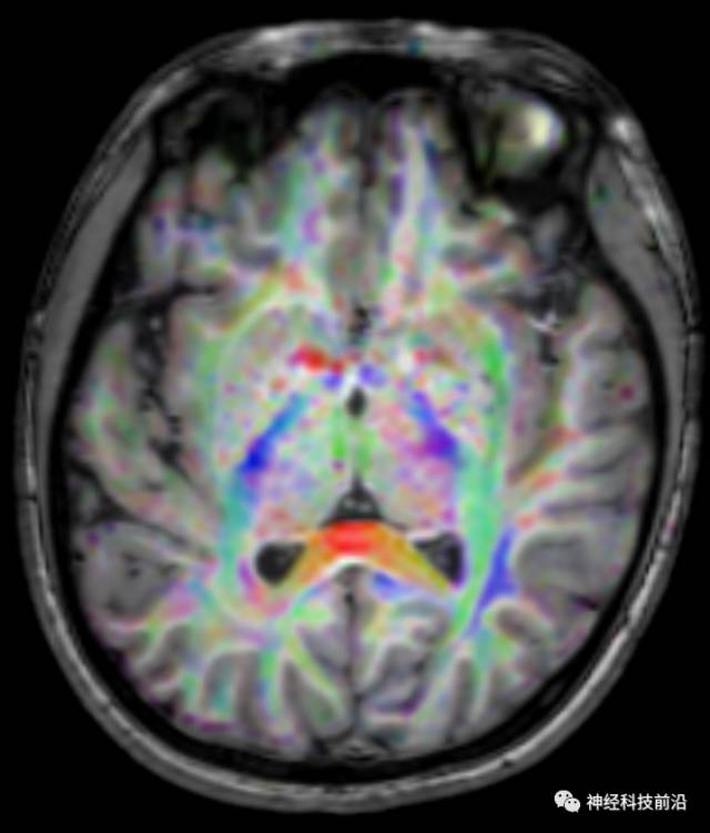
DWI脑干和内囊后肢经常显示为高信号,它是什么纤维束呢?皮质脊髓束?














DTI原始图像





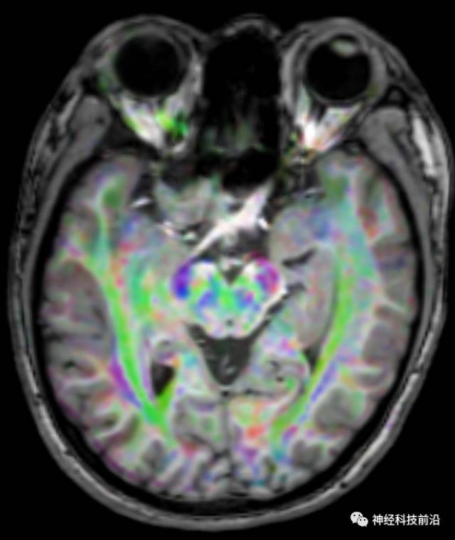
DTI原始图像与T1融合图像




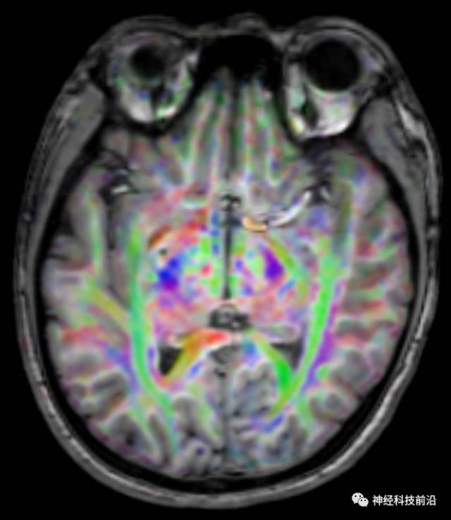
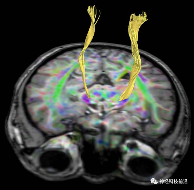
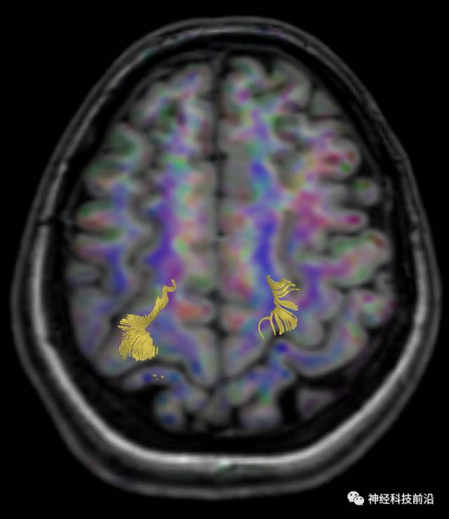
下面为皮质脊髓束的走形及位置







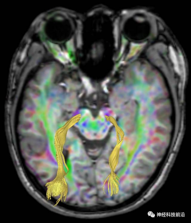
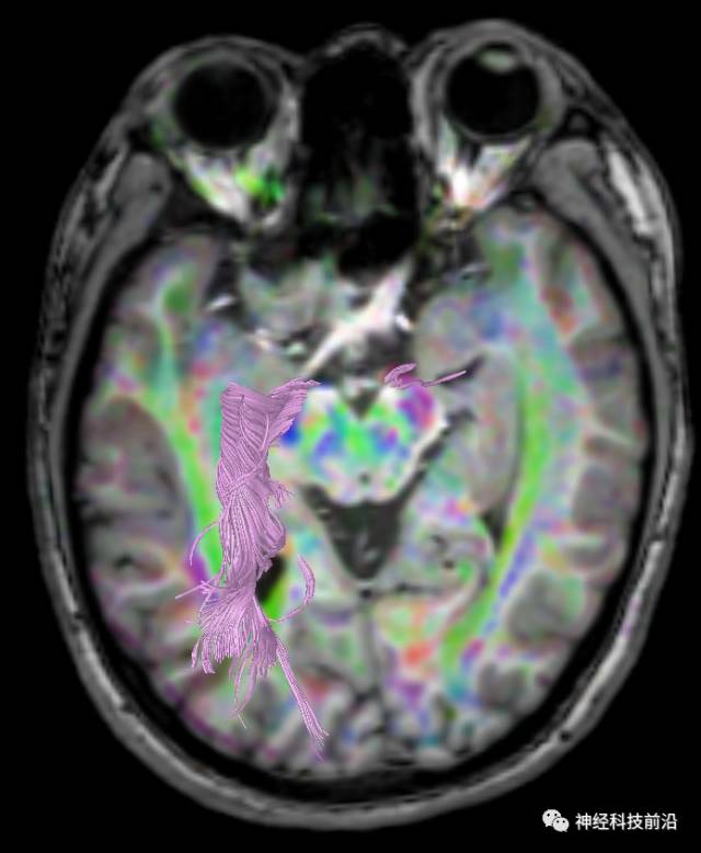
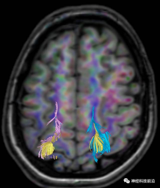
下面为皮质脑桥束的走形方位











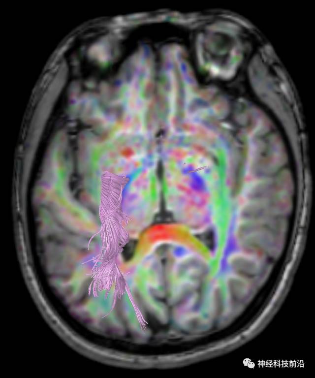
皮质脑桥束与脑干高信号(黄色)纤维束





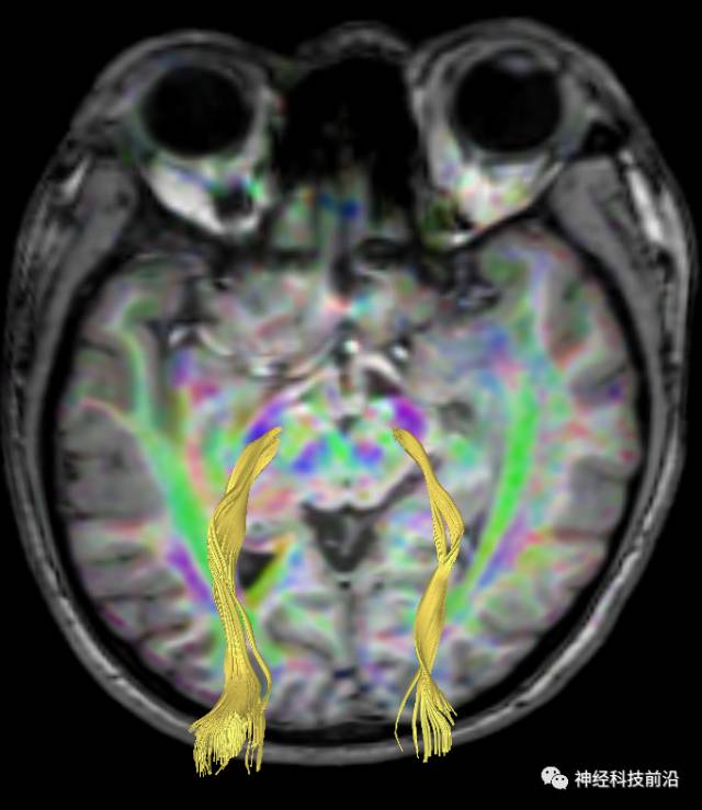
皮质脊髓束与皮质脑桥束的关系毗邻






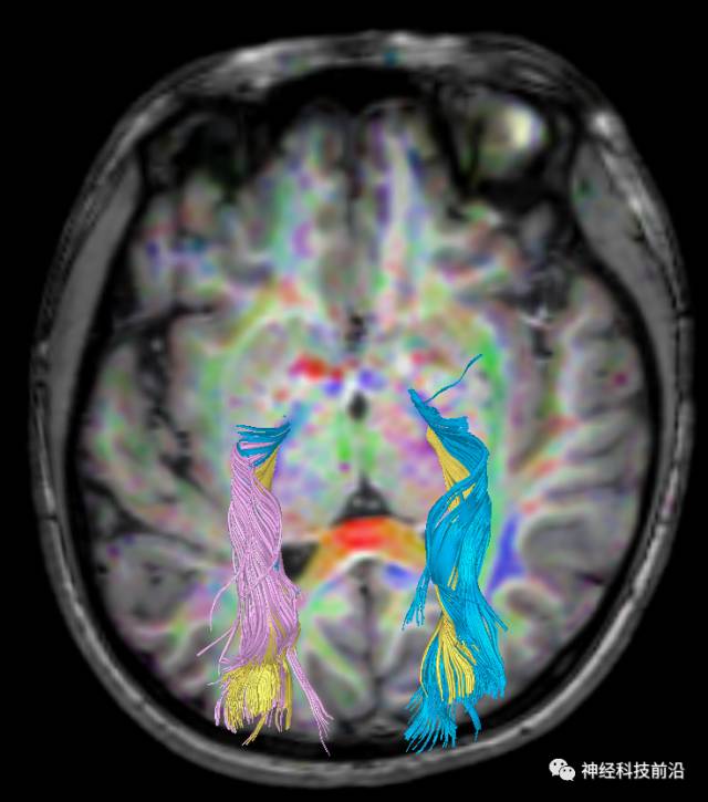
脑干内高信号为一近环形纤维束,其作用尚待研究。












上述纤维束与小脑中脚的位置毗邻












终上所述:脑干高信号为一近环形纤维束,内囊后肢高信号为皮质脑桥束,皮质脊髓束在中脑位置略靠后。高信号位于中脑前缘,是皮质脑桥束的位置所在,另外有部分桥连纤维。
