这些片子里的结构,你都认识吗?
发布时间:2022-10-24
发布时间:2022-10-24
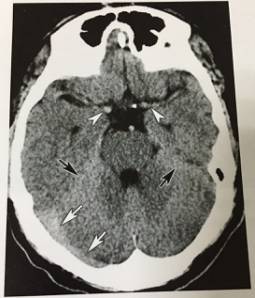
1、正常横窦、小脑幕、大脑中动脉

CT平扫示正常正常横窦(白箭)、小脑幕(黑箭)和大脑中动脉(无尾白箭头),正常人或高血红蛋白血症患者密度可以增高,易误诊为蛛网膜下腔出血或横窦血栓。
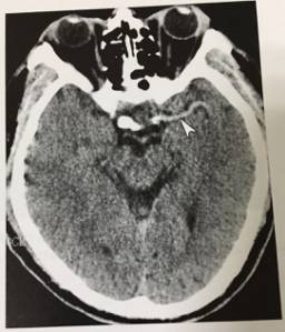
2、大脑中动脉“高密度”征

患者右侧偏瘫3小时,CT平扫示左侧大脑中动脉密度增高(无尾白箭头)脑实质未见异常,MRI证实为左侧大脑中动脉血栓形成。
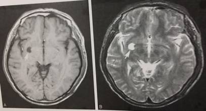
3、血管周围间隙扩大,VR

T1WI显示右侧基底节外下部类圆形低信号灶,T2WI呈高信号。
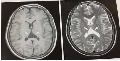
4、第五脑室(透明隔间腔)

T1WI及T2WI显示双侧侧脑室体部间槽状脑脊液信号影,边界清晰。
5、第六脑室

T1WI及T2WI显示透明隔后方不规则囊状灶,与脑脊液信号一致,边界清楚。
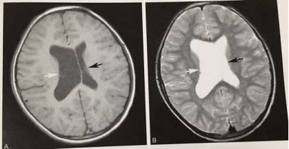
6、双侧侧脑室发育不对称

T1WI及T2WI显示双侧侧脑室发育不对称,右侧侧脑室发育相对较大,左侧侧脑室发育正常,脑组织信号正常。
7、小儿胸腺

双侧胸腺增大使纵膈影增宽,表现为自上而下逐渐增大,向肺野突出,呈三角形,称帆样征。
8、乳内淋巴结

患者,女,74岁。左乳外上象限环状结节影,边缘光滑(箭),手术病理证实为左乳外上象限乳内淋巴结。
9、静脉内对比剂逆流

经上腔静脉属支高压对比剂,注射速度过快,导致对比剂逆流进入其他属支,显示胸壁及纵膈内多发线样明显强化的血管影,易误认为上腔静脉梗阻的侧支循环,增强连续层面显示上腔静脉通畅。
10、肝多发副裂

肝膈面多发伸入肝实质的裂痕。
11、小肠Cole分组

1、第一组,十二指肠;2、第二组,上部空肠,范围自十二指肠空肠曲自左至胃大弯的下方或后方的左上腹小肠。3、第三组,下部空肠,位于左侧髂窝的小肠,在第二组的下面,二者无明显界线。4、第四组,上部回肠,由3-4个垂直的肠曲所组成,位于腹部中央,稍偏脐部右下方。5、第五组,中部回肠,位于右腹部,见于升结肠右方,其方向与第四组相似,多为垂直的肠曲。6、第六组,下部回肠,位于盆腔,长在正中线右方,其方向不变。
12、齿状突终末小骨

终末小骨位于齿状突尖部“V”形裂隙内,易误认为是碎骨片。
13、寰椎后弓旁正中央裂

寰椎后弓旁中央裂为正常变异,易误为骨折。
14、寰椎同化

寰椎前弓(2)与枕骨斜坡(4)、后弓与枕骨大孔后缘(5)、侧块(8)与枕骨髁融合。1、齿状突。6、枢椎椎体。7、枢椎棘突。10、寰椎横突。
15、L5永存骨骺

男,32岁。L5前上角见孤立骨块,边缘光整,致密,对应区边缘亦致密。
16、“丘比特弓”征

男,28岁。L5下终板向上突,呈“丘比特弓”样改变,为正常变异,需与许莫结节鉴别,后者范围小,呈局限性上突,且弧度不光整。
17椎间盘钙化

男,11岁,骶椎间连结尚未完全闭合,可见钙化的椎间盘。这是发育过程的正常表现,切勿认为是异常表现。
上一篇:耳部—胆脂瘤