【病例】右侧基底节区海绵状血管瘤1例MR影像表现
发布时间:2022-10-24
发布时间:2022-10-24
[病情描述]
女,68岁,主因左下肢麻木、无力1月余





[请选择答案]
A、动静脉畸形
B、海绵状血管瘤
C、少突胶质细胞瘤
正确答案是:B、海绵状血管瘤;
[影像表现]
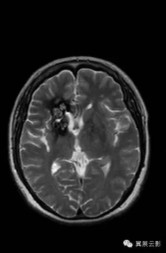
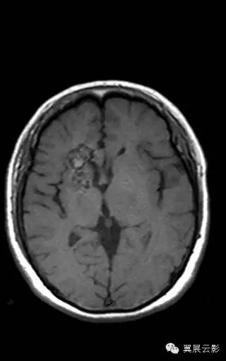
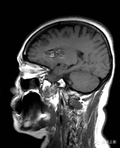
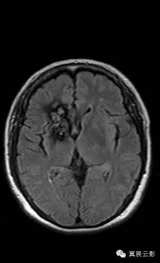
右侧基底节区可见不规则团片状混杂信号灶,累及右侧侧脑室前角,大小约15×34mm,边界尚清,呈爆米花样改变,T1WI等高信号,T2WI/FLAIR呈混杂稍高信号,边缘可见低信号环,无明显占位效应,DWI低信号。
[诊断思路]
海绵状血管瘤
海绵状血管瘤由扩张、衬有内皮的窦样间隙构成,窦样间隙排列紧密,无正常脑组织间隔,病变呈圆形或分叶状,几乎百分之百有瘤内出血。约80%发生于幕上,最常见于额、颞叶深部髓质区、皮髓质交界区和基底节区,也可发生于小脑、脑干和脊髓,约50%病例多发。CT平扫表现为一边缘清楚的圆形或类圆形高密度病灶,密度可均匀不一,常无灶周水肿,无或仅轻度占位征象。合并出血时,病灶可短时间内增大,出现明显占位征象,常伴钙化,增强扫描可有轻度至明显强化。MRI表现不一,取决于出血和时期,急性较大的出血可能掩盖海绵状血管瘤的典型特征,网状的“爆米花”样病变是最特征性的表现,中心呈混杂信号,周边有完整的含铁血黄素环。病灶内含有不同阶段的出血是信号不均匀的原因,在SWI中显示尤为清楚,常有多发低信号灶。
上一篇:【病例】脑静脉窦血栓一例影像表现