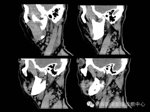
【病例】木村病1例CT影像表现与鉴别

发布时间:2022-10-24

【病例】木村病1例CT影像表现与鉴别

【病例】木村病1例CT影像表现与鉴别

【病例】木村病1例CT影像表现与鉴别

【病例】木村病1例CT影像表现与鉴别

【病例】木村病1例CT影像表现与鉴别

【病例】木村病1例CT影像表现与鉴别

【病例】木村病1例CT影像表现与鉴别

【病例】木村病1例CT影像表现与鉴别

【病例】木村病1例CT影像表现与鉴别

【病例】木村病1例CT影像表现与鉴别

【病例】木村病1例CT影像表现与鉴别

【病例】木村病1例CT影像表现与鉴别

【病例】木村病1例CT影像表现与鉴别

【病例】木村病1例CT影像表现与鉴别

【病例】木村病1例CT影像表现与鉴别

【病例】木村病1例CT影像表现与鉴别

【病例】木村病1例CT影像表现与鉴别

【病例】木村病1例CT影像表现与鉴别

【病例】木村病1例CT影像表现与鉴别

【病例】木村病1例CT影像表现与鉴别

【病例】木村病1例CT影像表现与鉴别

【病例】木村病1例CT影像表现与鉴别

【病例】木村病1例CT影像表现与鉴别

【病例】木村病1例CT影像表现与鉴别

精彩图片

热门精选