【病例】会厌结核1例CT影像表现
发布时间:2022-10-24
发布时间:2022-10-24
【临床资料】
45岁,男,发现咽部肿物1天
【影像图谱】


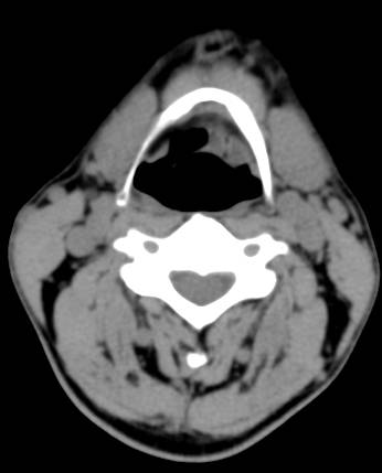
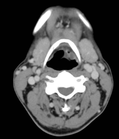
【影像表现】
左侧会厌间隙见少许软组织密度影,增强可见环形强化,壁薄。双侧颈部未见明显肿大淋巴结。
———-♀【病例讲堂】分割线♀———
小编留言:这些患者是别人的,但这些症状你工作中也可能会遇到,学习才是前进的唯一路径,有思考才有进步哦!

【影像诊断】
考虑左侧会厌脓肿
【病理诊断】
会厌结核(会厌肿物,见上皮样结节及多核巨细胞,并可见少许凝固性坏死,符合结核)
【鉴别诊断】
(1)喉癌:喉部不规则软组织肿块增生,肿块可有相对清楚边缘,可向会厌前间隙和喉旁间隙侵润,可破坏软骨,肿瘤组织可向喉腔外侵润生长。
(2)喉淀粉样变性:弥漫侵润型见声门下气道前壁、后壁局部增厚,部分病例可见斑点状钙化。
(3)慢性喉炎:一边表现为喉腔粘膜不均匀增厚,会厌皱襞和勺状软骨增厚,室带、声带不对称肥厚,边缘不平。多无特异性,需活检。
【讨论】
结核病由结核杆菌感染随之,是以受感染组织肉芽肿形成和细胞介素的过敏反应为特征的慢性细菌感染性疾病,今年来随着结核病发病率的上升,候结核作为呼吸道结核中最常见的肺外结核。文献报道喉结核可发生于喉各个部位,声带最多见,其次为室带,其他部位包括会厌、杓会厌壁、后联合和声门下。
有文献报道喉结核依据病变肺范围和病期可有两种主要表现:(1)弥漫型,多见于结核性炎症的急性期,病变表现为渗出性和软组织弥漫性肿胀增厚。(2)局灶性(肿块型),多为结核性炎症的慢性期,病程较长,病变多以结节肿块状存在,本例应为此型。
CT表现
(1)弥漫型,喉粘膜弥漫性、不对称肿胀增厚,以会杓皱襞、会厌、杓状区常见,喉结核关于喉旁间隙或会厌前间隙是否侵润,文献中有不同意见。(2)局灶性(肿块型),可见软组织肿块,密度欠均匀,增强可见环形强化。
上一篇:十大典型的神经影像学征象