【病例】少突胶质细胞瘤1例MR影像表现
发布时间:2022-10-24
发布时间:2022-10-24
[病情描述]
性别:男年龄:48岁 间断性四肢抽搐9月余,头晕伴肢体无力1月余






[请选择答案]
A、少突胶质细胞瘤
B、星形细胞瘤
C、神经节细胞瘤
D、室管膜瘤
正确答案是: A
[影像表现]
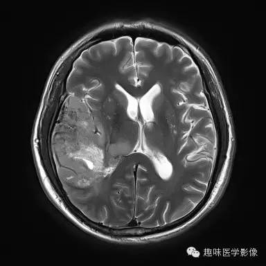
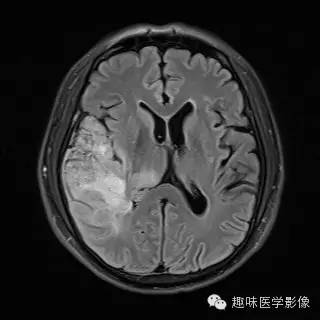
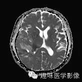
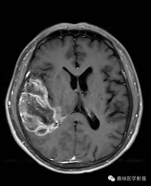
右侧颞顶叶、丘脑可见大片不规则异常信号灶,局部脑回肿胀,大小约45×75mm,T1WI呈混杂低信号,内可见多发条状高信号,中央可见更低信号灶,T2WI/FLAIR呈混杂稍高信号,内可见点状低信号,DWI呈混杂高信号,未见明显占位效应,增强后呈多发不规则花环状明显强化灶,内可见多发点状小血管影。
[诊断思路]
少突胶质细胞瘤,WHOⅡ级。
少突胶质细胞瘤为分化良好、生长缓慢但呈浸润性的肿瘤,典型者累及皮层和皮层下白质,20%-50%有侵袭性(间变性少突胶质瘤)。最佳诊断征象:部分钙化 中年人的皮层肿块,可以侵蚀并使颅骨膨胀。CT平扫为低/等密度,大部分钙化,可有出血和囊变,增强CT表现多样,从无增强到明显增强。MRI常不均匀,T1WI上相对于皮层为低/等信号,T2WI为高信号;除间变外,出血、坏死少见,边界清楚,伴轻微水肿,50%强化。
鉴别诊断:
星形细胞瘤:钙化不常见,通常累及白质,灰质相对保留。
神经节细胞胶质瘤:多见于儿童,通常发生于颞叶,深部白质,边界锐利,常有囊变。钙化常见。
胚胎发育不良性神经上皮肿瘤(DNET)多见于儿童,呈边界清晰锐利的皮层肿瘤,不均匀,呈“泡泡样”表现,通常与异位灰质相关。
下一篇:十大典型的神经影像学征象