结节病的CT诊断
发布时间:2022-10-23
发布时间:2022-10-23
结节病为原因不明的多系统肉芽肿性疾病,一般为良性经过,可累及淋巴结、肺、胸膜、皮肤、骨骼、眼、脾脏、肝脏等器官。
可发生于任何年龄,以青中年女性多见。进展缓慢,轻者可无症状。常见症状为咳嗽、乏力、低热等。
实验室检查Kveim实验阳性、血管紧张素转化酶升高、血尿钙值升高。
病理特征:非干酪性肉芽肿。
影像表现:
1 肺门、纵隔淋巴结肿大为最常见的表现,两侧肺门肿大如土豆状,基本对称。
2 Garland三联征(即1,2,3淋巴结):右侧气管旁、右侧肺门、左侧肺门淋巴结肿大。也可见到主肺动脉窗淋巴结肿大,表现为1,2,3,4淋巴结。
3 病变淋巴结一般不融合、不坏死、不侵犯邻近结构,增强扫描呈均匀强化,少数出现蛋壳样钙化。
4发生于胸外,而胸内无受累者仅占10%。肺门淋巴结肿大是最重要的征象,只有纵隔淋巴结肿大而无肺门淋巴结肿大很少见。不出现肺门淋巴结肿大者诊断结节病一定要谨慎。也就是说诊断结节病重点是观察胸部,而胸部的观察重点又在肺门淋巴结。
5 肺部改变:弥漫性网状结节影、小片影、胸膜小结节影、支气管血管束增粗、蜂窝影等。
6 可伴少量胸腔积液。
7胸部影像表现明显而临床症状轻微是本病的特点之一。
8有自愈倾向,复查时可发现自愈或较长时间无明显变化。
9其它器官改变。
以笔者工作中收集到的数例结节病中的3例举例,临床症状均轻微或无。
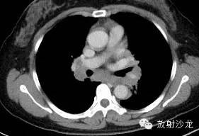
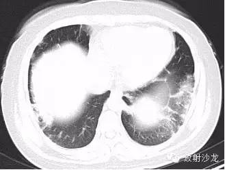
第一例:
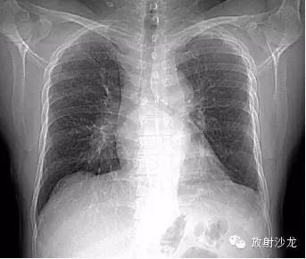
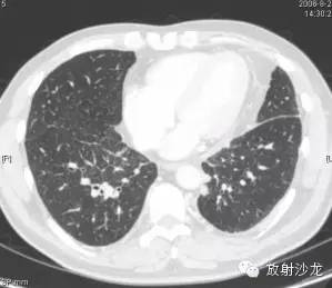
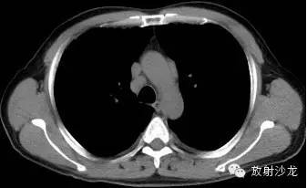
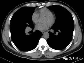
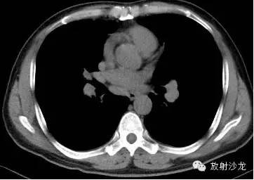
44岁女性,因左乳腺结节行胸部CT检查发现胸部病变。



三幅图为典型的胸部结节病表现,肺门纵隔多发淋巴结肿大,各淋巴结不融合、不坏死、不侵犯邻近结构。右侧气管旁、右侧肺门、左侧肺门、主肺动脉窗淋巴结肿大,为1,2,3,4淋巴结。

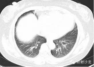
双肺底见间质性病变。


CT拟诊结节病,呼吸内科建议定期观察。未经任何治疗11个月后复查示肺门纵隔淋巴结正常,双肺底间质性病变消失。左乳腺结节无变化(图略)
第二例:
男性47岁,因咳嗽来诊。经纵隔镜取病理及其他相关检查确诊结节病。口服激素治疗后好转(图略)。

肺门淋巴结肿大

胸膜多发小结节

右下肺小叶间隔增厚
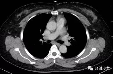
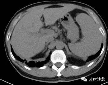
第三例:
51岁男性,体检发现肺门、纵隔、腹腔淋巴结肿大,CT拟诊结节病,后于北京协和医院确诊。




第1—3图显示Garland三联征。第4图显示腹腔淋巴结肿大。
鉴别诊断:
1结核:多为单侧肺门或纵隔淋巴结肿大;淋巴结的中心低密度和外周边缘强化;钙化;结核中毒症状及相关实验室检查。
2 淋巴瘤:非对称的淋巴结肿大,可融合、可坏死,放疗后易出现钙化。
3 转移:原发癌;肺门淋巴结肿大而纵隔淋巴结不受累少见,这和结节病是相反的。
4肺癌:肺门肿块及“三阻”征象,伴肺门纵隔淋巴结肿大。
5慢性心衰:一般为淋巴结轻度对称性肿大;心脏病史。
6 肺部感染所致淋巴结肿大:成人肺部感染很少造成肺门纵隔淋巴结肿大,儿童者常见。
7 尘肺:职业史最重要。
8 巨淋巴结增生症:局限性肿块;显著强化。
9其它。
下一篇:肺隔离症的CT报告书写技巧与提示