大叶性肺炎的X线报告书写技巧与提示
发布时间:2022-10-24
发布时间:2022-10-24
冬春两季常见病,多见于青壮年,多数发病前有受凉、过度劳累或上呼吸道感染。起病急,寒战高热、胸痛、咳较黏稠痰或为典型铁锈色痰。下叶肺炎可刺激膈胸膜,疼痛放射至腹部。血白细胞总数及中性粒细胞明显增高。
胸部正位片、侧位片。
①充血期可无阳性发现,或仅肺纹理增多,透明度略低。
②实变期(红色肝样变及灰色肝样变期)表现为密度均匀的致密影,炎症累及肺段表现为片状或三角形致密影;累及整个肺叶,呈以叶间裂为界的大片致密阴影,有时致密阴影内,可见透亮支气管影,即支气管充气征。
③消散期时实变区密度逐渐减低,由于病变的消散不均,表现为大小不等、分布不规则的斑片状阴影。炎症最终可完全吸收,或只留少量索条状阴影,偶可机化,演变为机化性肺炎。
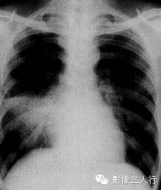
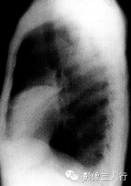
报告示范:右肺中下肺野可见大片密度增高影,上缘清晰,右心缘模糊。侧位片示病变位于右中叶。胸廓对称,气管纵隔居中。心脏大小、形态、位置正常。双侧膈肌光滑,肋膈角锐利(图1)。
图1右中叶大叶性肺炎

(A)正位

(B)侧位
大叶性肺炎是细菌性肺炎中最常见的一种。多为肺炎双球菌致病。炎症累及整个肺叶或多个肺叶,也可呈肺段分布。典型的病理变化分为四期,即充血期、红色肝样变期、灰色肝样变期及消散期。
下一篇:结节病的CT诊断