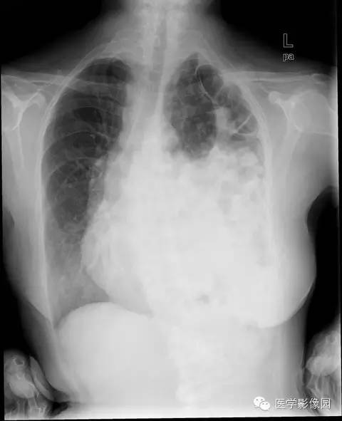
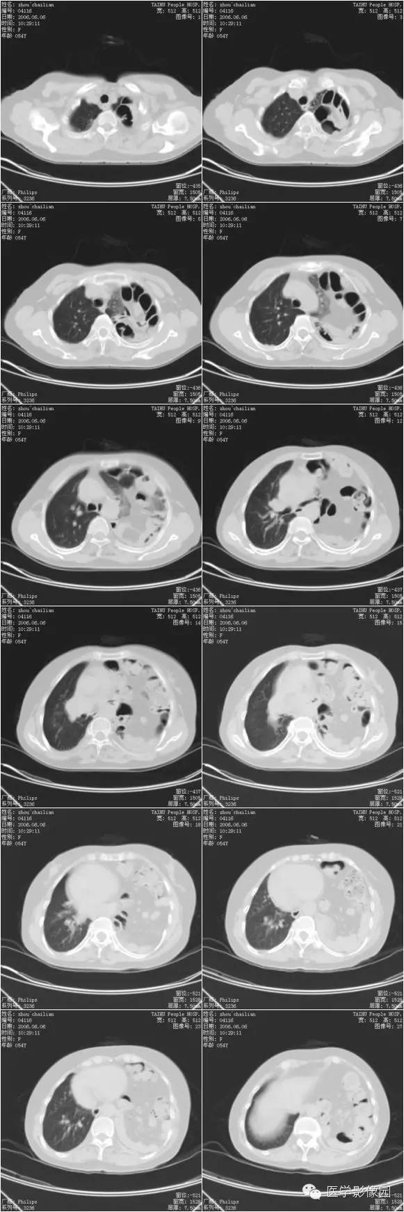
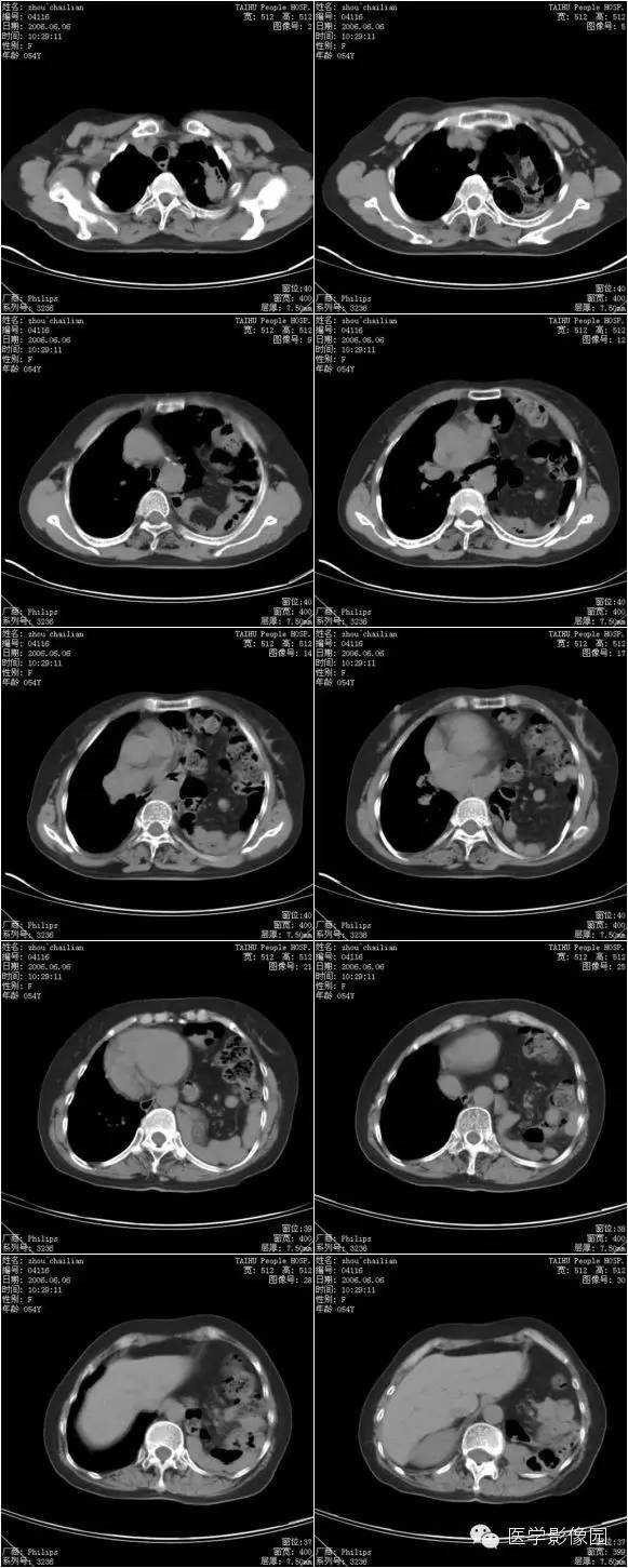
膈疝1例X线及CT影像表现
发布时间:2022-10-23
发布时间:2022-10-23
![]()





膈疝的形成除先天性膈肌融合部缺损和薄弱点外,还与下列因素有关:
①胸腹腔内的压力差异和腹内脏器的活动度;各种引起腹内压力增高的因素如弯腰、排便困难和怀孕等均可促使腹内脏器经膈肌缺损和薄弱部进入胸内。
②随着年龄增长,膈肌肌张力减退和食管韧带松弛,使食管裂孔扩大,贲站或胃体可以经过扩大的食管裂孔突入后纵隔。
③胸部外伤尤其胸腹联合伤引起膈肌破裂。
上一篇:肺结节病1例X线影像表现
下一篇:肺肉瘤样癌1例CT影像表现