圆锥面包征——膈肌破裂

发布时间:2022-10-24

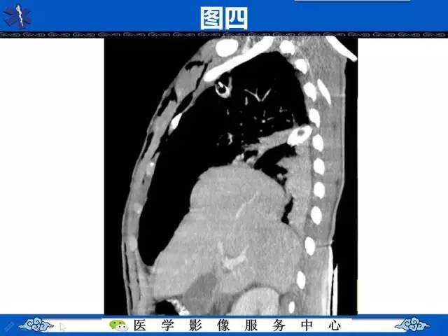
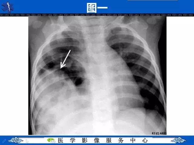
【影像征象】圆锥面包征——膈肌破裂

【影像征象】圆锥面包征——膈肌破裂

【影像征象】圆锥面包征——膈肌破裂

【影像征象】圆锥面包征——膈肌破裂

【影像征象】圆锥面包征——膈肌破裂

【影像征象】圆锥面包征——膈肌破裂

【影像征象】圆锥面包征——膈肌破裂

【影像征象】圆锥面包征——膈肌破裂

【影像征象】圆锥面包征——膈肌破裂

【影像征象】圆锥面包征——膈肌破裂

【影像征象】圆锥面包征——膈肌破裂

【影像征象】圆锥面包征——膈肌破裂

精彩图片

热门精选