肺空洞性病变的鉴别诊断
发布时间:2022-10-24
发布时间:2022-10-24
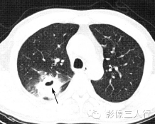
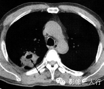
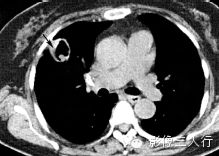
| 肺脓肿(图1) | 肺结核空洞(图2) | 癌性空洞(图3) | |
| 临床表现 | 高热、寒战、咳嗽、胸痛、咳大量脓痰 | 低热、盗汗、乏力、咳嗽、咯血 | 咳嗽、咳痰、咯血、胸痛等 |
|
实验室
检查 |
白细胞计数明显增高 | 结核菌素阳性、痰检结核杆菌阳性,易合并真菌感染 | 痰检癌细胞阳性 |
| 空洞形态 | 洞壁厚、模糊,内壁较光滑,内多见液平面 | 洞壁薄、内壁较光整,周围常有卫星灶 | 洞壁厚,多呈偏心性增厚,内壁常呈结节状 |

(A)平扫肺窗

(B)平扫纵隔窗


(B)平扫肺窗

(B)平扫纵隔窗
上一篇:胸部CT袖珍断层解剖图谱
下一篇:圆锥面包征——膈肌破裂