最常见的食管良性肿瘤是什么? ——食管平滑肌瘤
发布时间:2022-11-27
发布时间:2022-11-27
食管平滑肌瘤起源于食管固有肌层,以纵行肌为主,绝大部分在食管壁内,即粘膜外壁在型。 个别凸入管腔内呈息肉状,有蒂与食管壁相连,有自口中呕出的报告,这类病人也可能在呕出时堵塞呼吸道引起窒息。肿瘤可发生于食管任何部位,国内报道以中段 最多见,下段次之,上段最少,在颈段的极少,因颈段食管由随意肌构成,在腹段的也不多,不易区别来自食管或贲门肌层。肿瘤绝大部分为单发,多发的仅约2 %~3%,自2个至10多个不等,文献上还提到有弥漫性食管肌瘤病。肿瘤大小不一,2~5cm的最多见,切除标本有小至 0.5cm×0.4cm×0.4cm,大至17cm×10cm×6cm,以重量算最小的0.25g,最重的有5000g。
肿瘤呈圆形、椭圆形,也有不规则形状,如分叶型、螺旋形、生姜形、围绕食管生长呈马蹄形的。 食管平滑肌瘤病有多个肿瘤的可致整个食管壁增厚,诊断有一定困难。肿瘤质坚韧,多有完整的包膜,表面光滑。主要向腔外生长,生长缓慢,切面呈白色或带黄 色。组织切片见为分化良好的平滑肌细胞,长梭形,边界清楚,瘤细胞呈束状或漩涡状排列,其中混有一定数量的纤维组织,偶尔也可见神经组织。食管平滑肌瘤变 为肉瘤的很少,有的文献报告为10.8%,但有的学者认为,肉瘤为另一独立病,没有直接证据说明由平滑骨瘤恶性变所致。
约半数平滑肌瘤患者完全没有症状,是因其它疾病行胸部X线检查或胃肠道造影发现的。有症状的也多轻微,最常见的是轻度下咽不畅,很少影响正常饮食。病程可达数月至十多年,即使肿瘤已相当大,因其发展很慢,梗阻症状也不重, 这点在鉴别诊断上有重要意义,与食管癌所致的短期内进行性吞咽困难不大相同。进食梗噎还可能是间歇性的,其严重程度与肿瘤大小和部位并不完全平行,主要取 决于肿瘤环绕管腔生长的情况,与肿瘤表面粘膜水肿,糜烂及精神因素也有关。一小部分病人诉疼痛,部位不定,可为胸骨后、胸部、背部及上腹部隐痛,很少剧烈 疼痛。可单独发生或与其它症状并发。有1/3左右病人有消化功能紊乱,表现为烧心、反酸、腹胀、饭后不适及消化不良等。个别病人有呕血及黑便等上消化道出 血症状,可能因肿瘤表面粘膜糜烂、溃疡所致。 伴发的疾病有食管癌(二者并无直接关系,因食管癌是多发病)、食管裂孔疝、食管憩室、食管血管瘤及贲门失弛缓症等。
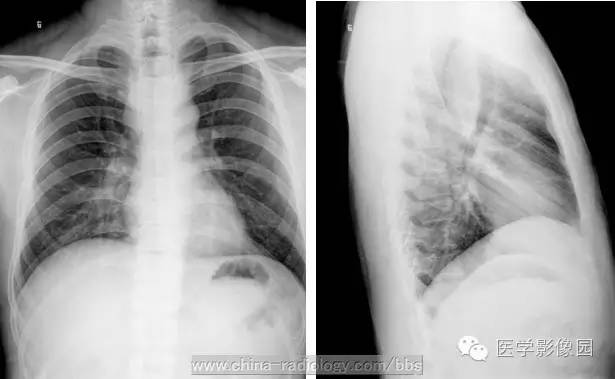
主要靠X线及食管镜检查诊断。






X线食管钡餐检查是本病的主要诊断方法,结合临床表现,往往可以一次造影确诊。
钡餐造曩所见取决于肿瘤的大小形态和生长方式。腔内充盈缺损是主要表现,缺损呈圆形或椭圆形,边缘光滑锐利,与正常食管分界清楚。充盈缺损上下端与正常食管交界角随肿瘤突入管腔多少而呈锐角或轻度钝角。正位时与食管长轴垂直的肿瘤轮廓由于钡餐的对比显示为半圆形阴影,出现“环形征”。肿瘤处粘膜被顶出,皱襞消失,该处钡剂较周围少,成一薄层,形成“瀑布征”或“涂抹征”。肿瘤大的在充盈缺损所在部位可见软组织阴影,透视下观察钡剂通过情况,在肿物上方稍停一下,然后在肿瘤与对侧食管壁间呈带状通过,状如小沟。肿瘤附近的食管壁柔软,收缩良好,近端食管不扩张。
多发性平滑肌瘤或马蹄形肿物环抱食管,使管腔凹凸不平,粘膜显示不清,要注意与食管癌的鉴别。后者管壁僵硬,充盈缺损不规则,有粘膜破坏及龛影等。
食管平滑肌瘤与纵隔肿瘤处压改变的不同在于:后者管壁处充盈缺损较浅,切线位肿物与管壁间的钡影成钝角,食管双侧壁同时向一侧偏移。
食管钡餐检查也可发现其它伴发症,如食管憩室、裂孔疝等。
2、纤维食管镜检查
大部分平滑肌瘤可经过食管钡餐诊断,加上纤维食管镜(实际上常用纤维胃镜)检查,检查准确率可达90%以上,可了解肿瘤的部位、大小、数目及形状等。
镜检能见到突出在食管腔中的肿物,表面粘膜完整光滑平展,皱襞消失,呈淡红色半透明,肌瘤边缘隐约可见,吞咽活动时,可见肿物上下轻度活动,管腔狭窄的不多。如所见粘膜正常,则不应咬取组织检查,因取不到肿瘤组织,又损伤了正常食管粘膜,使粘膜与肿瘤粘连,以后行粘膜外肿瘤摘除时易致破损,甚至被迫行部分食管切除重建术。在粘膜表面有改变,不能除外恶性病变的,则应行活检。
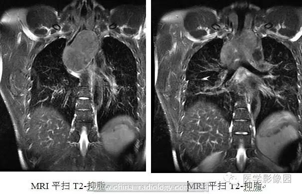
3、CT及磁共振(MRI)检查
上一篇:心包积液1例X线及CT影像表现