心包积液1例X线及CT影像表现
发布时间:2022-11-28
发布时间:2022-11-28
病例介绍
50岁女性,伴胸痛
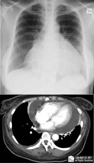
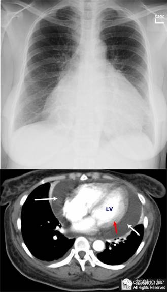
图像

精彩解析——病理诊断
心包积液(Pericardial effusion)
精彩解析——概述
1.定义为心包脏壁层之间腔隙的异常大量积液
2.正常心包腔内含20-50cc液体
3.脂肪覆盖于心脏及心包外,使得这两层间的心包腔呈三明治样
心包正常厚度为2-4mm(壁层心包及心包腔内的液体)
精彩解析——临床表现
1.少量积液常无症状
2.胸痛或不适,典型者坐立位或前倾位可缓解,且仰卧位加重
3.晕厥
4.心悸
5.气短、呼吸急促
6.心音低沉或遥远、心动过速
7.低血压
8.颈静脉扩张
9.奇脉
吸气时收缩压降低超过10mmHg
10.液体积聚率与症状严重程度相一致
液体积聚的速度越快,症状越严重
11.心脏填塞出现以前需约150-250cc液体
(1)约7-10%的心包积液患者都有发展为心脏填塞的风险
(2)心脏填塞压迫心脏,能导致心输出量降低
(3)大多数积液不会导致心脏填塞
(4)心脏轮廓大小常增大
(5)心脏填塞伴肺水肿罕见
精彩解析——病因
1.浆液或渗出液
(1)充血性心力衰竭
(2)低白蛋白血症
(3)射线照射
2.血液(心包积血)
(1)升主动脉或肺动脉干破裂
(2)凝血障碍
3.纤维蛋白(产生渗出物)
(1)化脓性感染,如葡萄球菌
(2)尿毒症
慢性肾脏病比急性者更常见
精彩解析——影像学表现
1.常规X线
(1)常为提示性而非诊断性
(2)“烧瓶样”,心影对称性增大
主要的鉴别诊断为心脏肥大
(3)胸骨后透亮间隙变窄
(4)非特异性,且常无提示意义
(5)“脂肪垫征”(Fat-pad sign)
(6)胸骨后间隙与心外膜脂肪线间距大于2mm
不常见,但具特异性
(7)心影快速增大,而肺血管影正常
2.超声心动图
(1)首选检查方法
(2)脏壁层胸膜间游离液体回声
(3)早期液体首先积聚在后部
(4)游离液体回声厚度>1cm通常被定义为大量积液
3.CT
(1)可显示少量心包积液(50cc)
(2)心肌周围的心包腔内为液体填充
(3)早期液体首先积聚在后部
精彩解析——治疗
1.内科治疗依赖于病因,可包括
(1)非甾体类抗炎药
(2)秋水仙碱
(3)类固醇
(4)抗生素
(5)化疗药
2.心包穿刺术
3.心包硬化治疗反复性心包积液
四环素、多西环素、5-氟尿嘧啶
4.建立心包窗
5.电视辅助胸腔镜外科(VATS)
6.允许心包广泛切除
精彩解析——小结

心包积液(Pericardial effusion):
胸部正位片示心影显著增大,鉴别诊断包括心脏肥大及心包积液。心脏水平胸部轴位CT增强扫描示大量心包积液(白箭头)围绕充填对比剂的心脏(LV=左心室),红箭头示心肌。