多图解析:成人特发性肺含铁血黄素沉着症的影像学表现
发布时间:2022-11-28
发布时间:2022-11-28
特发性肺含铁血黄素沉着症 (Idiopathic pulmonary hemosiderosis, IHP)是一种原因不明的罕见疾病,该病的特征为肺毛细血管反复出血和血液溶解,其中珠蛋白部分被吸收,含铁血黄素沉着于肺泡间质而引起的反应,最终多导致肺纤维化,该病以儿童发病多见。
该病典型临床表现为反复发作的咯血、缺铁性贫血和双肺浸润影三联征。IHP 的临床过程无常, 表现为慢性或者反复的急性肺出血,其发病机理可能与自身免疫有关,但具体环节尚不清楚。本病病程长,反复发作,长期预后不良,病情严重时可危及患者生命。
因为 IPH 较为罕见,尤其是成人 IPH,医务人员对此相对缺乏警觉加之疾病本身多变的临床过程, 使得 IPH 的诊断多被耽误。通过以下的病例让我们从影像的角度认识下该病。
病例一(来自北京大学学报在 2008 年个案报道)
基本病史:患者,男,19 岁,间断咯血 5 年,加重 1 年,患者 5 年前因咳嗽,咳痰,痰中带血,于当地医学就诊,以肺炎治疗后症状减轻,但仍间断出血咯血症状。行胸部检查结果如下:

图 1 胸部 CT 示双下肺弥漫性磨玻璃影,呈腺泡结节样分布,最终病理诊断结果为特发性肺含铁血黄色沉着症
病例二(来自北京大学学报在 2008 年个案报道)
基本病史:患者女性,34 岁,间断性咳嗽、咯血伴气短 10 年,加重 2 周。患者 10 年前受凉后出现咳嗽、咳痰,痰中带血,伴有胸闷气短,严重时出血口唇紫绀。行影像学检查结果如下:

图 2 胸部 X 线正位片显示双肺弥漫分布的细小结节影,以双下肺为著,右侧较左侧重,左肋膈角变钝;胸部 CT 结果显示双下肺方腺泡样小结节影,右中叶可有。最终病理诊断结果为特发性肺含铁血黄色沉着症
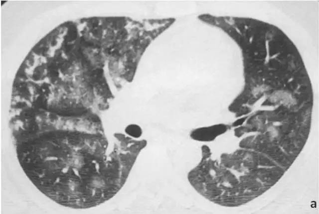
病例三(来自 AJR 杂志 2005 年文献)
基本病史:女性,30 岁,自儿时起反复肺内出血病史,行高分辨率 CT 结果显示:

图 3 胸部高分辨率 CT 显示双肺弥漫性小叶中心型磨玻璃影和小叶中心型肺结节,部分结节边界清,部分边界不清,部分密度较高,但均未发现钙化密度
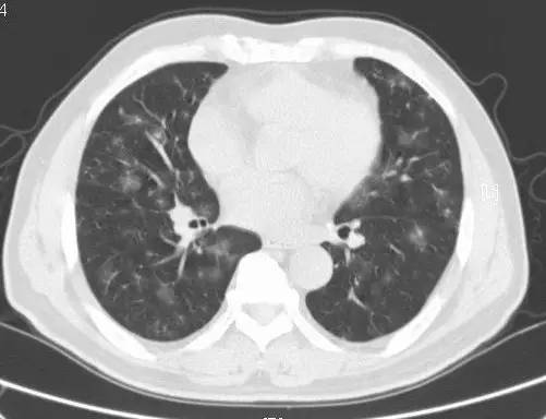
病例四(来自杂志 Case Reports in Medicine2012 年个案报道)
基本病史:男性,27 岁,反复发烧,伴有乏力、身体不适,曾口服抗生素治疗效果不好。行胸部高分辨率 CT 检查结果如下:

图 4 胸部高分辨率 CT 显示双肺弥漫性斑片状、结节状磨玻璃影,多以小叶中心性分布,符合肺泡出血的 CT 学表现
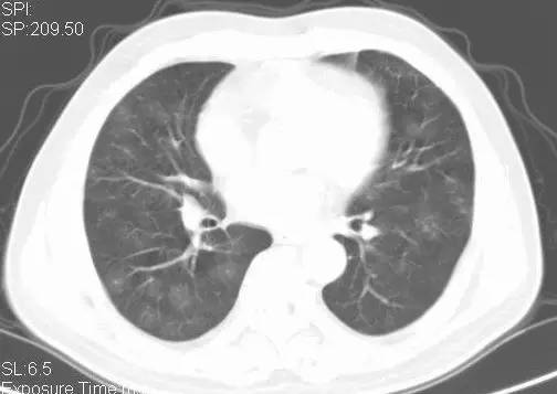
病例五
基本病史:患者男性, 76 岁,咳嗽,痰血 4 月余,加重 1 月伴气短。行胸部 CT 检查结果如下:

图 5 胸部 CT 显示双肺弥漫性小叶中心性磨玻璃影,当地医院误诊为弥漫性泛细支气管炎,病理结果为特发性肺含铁血黄素沉着症,经激素治疗后复查 CT 结果如下。

图 6 复查 CT 显示较治疗前好转
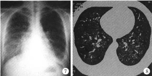
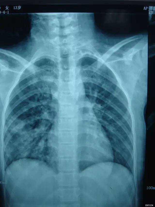
病例六(来自丁香园战友 xbfiuy 发布)
基本病史:女、13 岁,因反复咯血 8 年、再发加重 10 天入院。多次在医院治疗(止血抗炎、支气管动脉栓塞等),症状反复。10 天前再次发作并呼吸困难。既往有百日咳病史,行胸部影像学检查结果如下:

图 7 胸部 X 线显示双肺弥漫性高密度影,以右肺下叶为著

图 8 胸部 CT 显示双肺多发弥漫性小结节影及磨玻璃影,双下肺明显,右下肺融合成大片状阴影
影像学表现
IPH 的影像学表现可因病程长短及发病情况不同而异,对照临床分期及 X 线表现可分为 4 期。
2. 早期静止期:仅表现为肺纹理增多或正常;
3. 慢性静止期:慢性反复多次出现粟粒状、网状、点状影;
4. 慢性期急性发作期:网织状及片絮状阴影或磨玻璃样改变。
胸部 CT 检查可较早发现双侧中下肺为弥漫性小结节状阴影。
肺野内的实变阴影变化较快,可被吸收;对于肺部网状或颗粒状小结节影,如出血停止,随着患儿年龄的增长可有部分吸收、修复或停止发展,而反复肺出血后产生广泛的肺间质纤维化是一种不可逆性病变。最常见的表现主要为弥漫的小结节状影及斑片状、絮状实变影或磨玻璃状影。
在融合的斑片状阴影内可见支气管充气征,部分可见小叶间隔增厚改变。短期随访肺部病变变化明显。两肺间质不同程度的纤维化,表现为两肺广泛分布的小结节影、细小网状影及索条状影。
总结:当患者影像学检查显示双侧弥漫性小叶中心性磨玻璃影,双下肺为著,伴有咯血、贫血的临床表现时要想到特发性肺含铁血黄色沉着症的可能。