“纵隔旁肺脓肿”的 “四大” CT表现,你知道如果鉴别诊断吗?

发布时间:2022-11-26

纵隔旁肺脓肿   

纵隔旁肺脓肿经常表现为包块影,与纵隔型肺癌和部分纵隔肿瘤难以鉴别。

【部位】   

纵隔旁肺脓肿好发上叶前段,靠近前上纵隔,靠近后纵隔的肺脓肿次之,右肺中叶、左肺舌段靠近前下纵隔发生肺脓肿相对较少。

【CT表现】
(1)纵隔旁肺脓肿中心低密度,边缘明显强化:靠近纵隔呈包块影,其内密度不均,中心多为相对较低密度,甚至表现为空洞。周围密度较高,并可有明显强化(图2-19)。
(2)小支气管及肺血管穿过:有时可见小的支气管在包块影中穿过,并有肺血管影在内穿过。
(3)与纵隔胸膜接触面宽:一般纵隔旁肺脓肿与胸膜接触面较宽,有时可见与纵隔胸膜为锐角相接触。也可见包块与相邻纵隔胸膜之间可见脂肪线。
(4)周围模糊:相邻肺内有长条束状影,部分边缘模糊(图2-20,图2-21)。
“纵隔旁肺脓肿”的 “四大”  CT表现,你知道如果鉴别诊断吗?

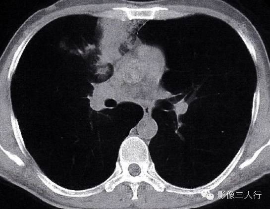
图2-19纵隔旁脓肿 左肺上叶前段纵隔旁脓肿,中心密度低,还有小点空洞形成

“纵隔旁肺脓肿”的 “四大”  CT表现,你知道如果鉴别诊断吗?

图2-20纵隔旁脓肿肺窗表现 病灶与纵隔接触面宽,周围有斑片状模糊影

“纵隔旁肺脓肿”的 “四大”  CT表现,你知道如果鉴别诊断吗?

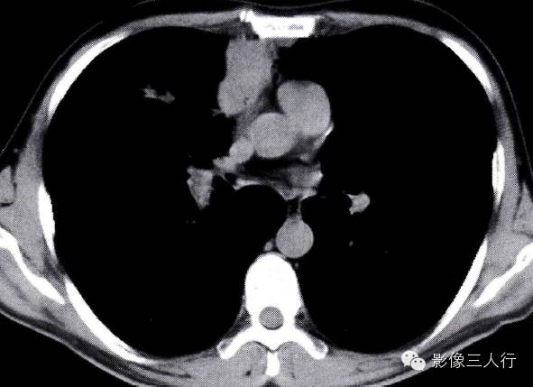
图2-21  纵隔旁脓肿纵隔窗表现

【鉴别诊断】
(1)纵隔型肺癌:纵隔型肺癌密度较均匀,较少见到中心低密度影。增强扫描密度均匀。小的支气管在包块影内中断。与相邻胸膜不会出现局限性增厚。包块轮廓清晰。
(2)纵隔肿瘤:纵隔肿瘤是在纵隔胸膜下,包块与胸膜的夹角为钝角。无小支气管及肺血管在其中。边缘多较光整。

精彩图片

热门精选