【病例】起源异常的冠状动脉1例CT影像表现
发布时间:2022-10-22
发布时间:2022-10-22
近期,AuntMinnie 发布了一则病例,让我们一起看一下。
女,46 岁,轻度胸痛,ECG 示 R 波递增不良,ST-T 段改变。
冠状动脉血管造影(CTA)回顾性心电门控扫描结果如下:

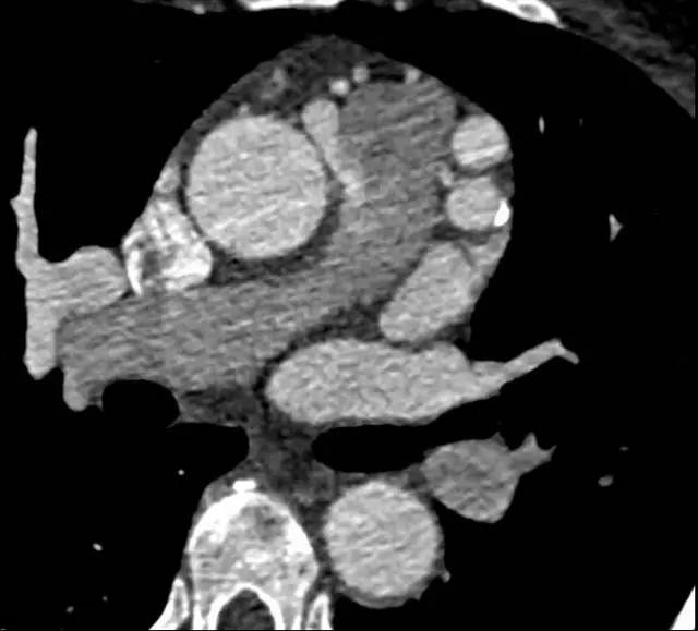
图 1

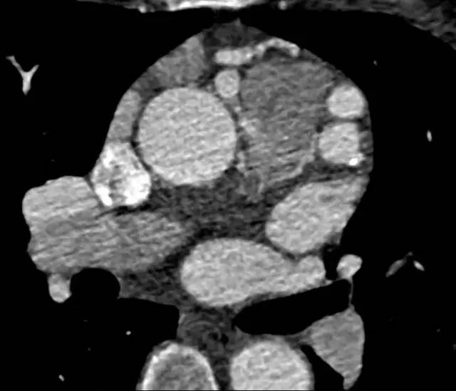
图 2

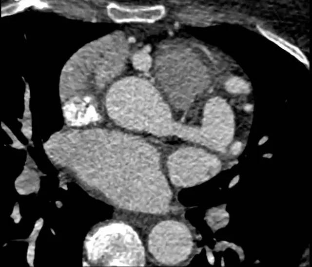
图 3

图 4
您能看出问题在哪里么?
右冠状动脉异常起源于肺动脉
左冠状动脉起源于肺动脉
左右冠状动脉起源于肺动脉
冠状动脉瘘
冠状动脉起源异常依据发病率依次为左冠状动脉起源于肺动脉、右冠状动脉起源于肺动脉、左右冠状动脉起源于肺动脉、副冠状动脉起源于肺动脉。
胎儿时期由于肺血管阻力高,血液经过肺动脉流入异常起源的右冠状动脉。出生后肺血管阻力减低,流入异常起源的右冠状动脉的血流减少。
临床表现因冠状动脉分流量不同而异。分流量大时能够保证心肌正常灌注,分流量小时会产生盗血现象,分流量不足时会导致心肌缺血甚至梗死。
右冠状动脉起源异常患者左冠状动脉优势时临床症状相对较轻,合并其它心血管畸形时临床症状加重。约 25% 到 30% 患者合并法洛氏四联症、主动脉瓣狭窄、室间隔缺损及主动脉缩窄。
该病发病率约 0.002%,一般 2 岁后诊断较明确。
多数病例成人后才出现临床症状,包括胸痛及晕厥,与左冠状动脉起源异常相比,猝死、心衰及心肌缺血发生率较低。
冠状动脉 CTA 是诊断该病理想的检查方法,轴位(图 1,2)及最大密度投影(图 3)CTA 显示右冠状动脉起源于主肺动脉。左冠状动脉主干显著代偿性扩张(图 4)。右冠状动脉未见狭窄及肌桥。左心室肥厚,左室射血分数为 55%。